Phone:
+1 877 302 8632
Fax:
+1 888 205 9894 (Toll-free)
E-Mail:
orders@antibodies-online.com

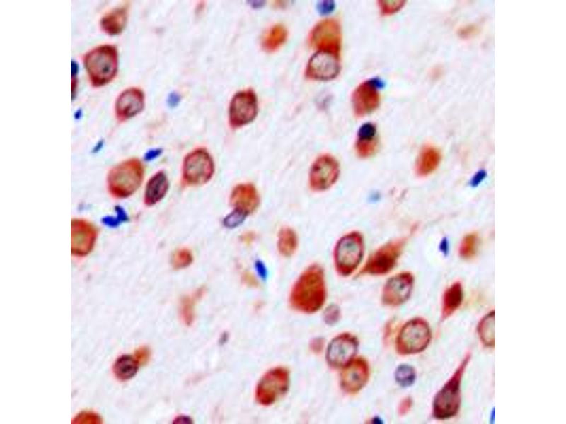
Neurotrimin antibody (C-Term)

The Rabbit Polyclonal anti-Neurotrimin antibody (ABIN7298128) specifically detects Neurotrimin in WB and IHC. The antibody is reactive with Human, Mouse and Rat samples.
Catalog No. ABIN7298128
$330.77
Plus shipping costs $50.00
Shipping to: United States
Delivery in 13 to 15 Business Days

Quick Overview for Neurotrimin antibody (C-Term) (ABIN7298128)

Target

See all Neurotrimin (NTM) Antibodies
Neurotrimin (NTM)

Reactivity

  • 28
  • 18
  • 2
  • 2
  • 2
  • 2
  • 2
  • 2
  • 1
  • 1
  • 1
  • 1
  • 1
Human, Mouse, Rat

Host

  • 25
  • 4
Rabbit

Clonality

  • 28
  • 1
Polyclonal

Conjugate

  • 15
  • 1
  • 1
  • 1
  • 1
  • 1
  • 1
  • 1
  • 1
  • 1
  • 1
  • 1
  • 1
  • 1
  • 1
This Neurotrimin antibody is un-conjugated

Application

  • 28
  • 13
  • 13
  • 10
  • 8
  • 5
  • 3
  • 2
  • 2
Western Blotting (WB), Immunohistochemistry (IHC)
  • Binding Specificity

    • 15
    • 3
    • 2
    • 2
    • 1
    • 1
    • 1
    • 1
    • 1
    • 1
    C-Term

    Purpose

    Rabbit polyclonal antibody to Neurotrimin

    Specificity

    Recognizes endogenous levels of Neurotrimin protein.

    Characteristics

    Rabbit polyclonal antibody to Neurotrimin

    Purification

    The antibody was purified by immunogen affinity chromatography.

    Immunogen

    KLH-conjugated synthetic peptide encompassing a sequence within the C-term region of human Neurotrimin. The exact sequence is proprietary.
  • Application Notes

    WB (1/500 - 1/1000), IH (1/50 - 1/100)

    Restrictions

    For Research Use only
  • Format

    Liquid

    Buffer

    Liquid in 0.42 % Potassium phosphate, 0.87 % Sodium chloride, pH 7.3, 30 % glycerol, and 0.01 % sodium azide.

    Preservative

    Sodium azide

    Precaution of Use

    This product contains Sodium azide: a POISONOUS AND HAZARDOUS SUBSTANCE which should be handled by trained staff only.

    Storage

    -20 °C

    Storage Comment

    Shipped at 4°C. Upon delivery aliquot and store at -20°C for one year. Avoid freeze/thaw cycles.

    Expiry Date

    12 months
  • Target

    Neurotrimin (NTM)

    Alternative Name

    Neurotrimin

    Background

    IGLON2, NT, Neurotrimin, hNT, IgLON family member 2

    Gene ID

    50863

    UniProt

    Q9P121
You are here:
Chat with us!