Phone:
+1 877 302 8632
Fax:
+1 888 205 9894 (Toll-free)
E-Mail:
orders@antibodies-online.com

BAIAP2L2 antibody (Center)

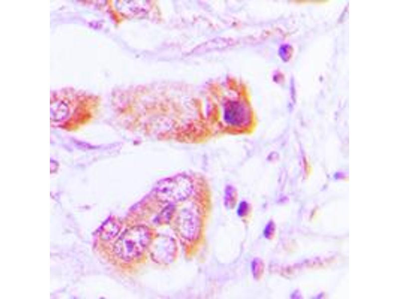
This Rabbit Polyclonal antibody specifically detects BAIAP2L2 in WB and IHC. It exhibits reactivity toward Human, Mouse, Cow and Rat.
Catalog No. ABIN7299694
$330.77
Plus shipping costs $50.00
Shipping to: United States
Delivery in 13 to 15 Business Days

Quick Overview for BAIAP2L2 antibody (Center) (ABIN7299694)

Target

See all BAIAP2L2 Antibodies
BAIAP2L2 (BAI1-Associated Protein 2-Like 2 (BAIAP2L2))

Reactivity

Human, Mouse, Cow, Rat

Host

  • 36
Rabbit

Clonality

  • 36
Polyclonal

Conjugate

  • 10
  • 3
  • 2
  • 2
  • 1
  • 1
  • 1
  • 1
  • 1
  • 1
  • 1
  • 1
  • 1
  • 1
  • 1
  • 1
  • 1
  • 1
  • 1
  • 1
  • 1
  • 1
  • 1
This BAIAP2L2 antibody is un-conjugated

Application

  • 29
  • 15
  • 13
  • 13
  • 4
  • 3
  • 2
  • 1
  • 1
Western Blotting (WB), Immunohistochemistry (IHC)
You are here:
Chat with us!