Phone:
+1 877 302 8632
Fax:
+1 888 205 9894 (Toll-free)
E-Mail:
orders@antibodies-online.com

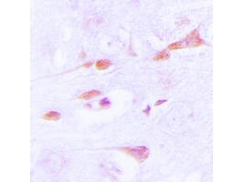
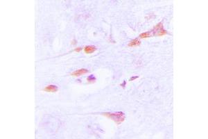
CaMK2 alpha/delta antibody (Center)

The Rabbit Polyclonal anti-CaMK2 alpha/delta antibody is suitable to detect CaMK2 alpha/delta in samples from Human, Mouse, Rat, Chicken, Cow, Pig and Sheep. It has been validated for IF, IHC and WB.
Catalog No. ABIN7299808
$330.77
Plus shipping costs $50.00
Shipping to: United States
Delivery in 13 to 15 Business Days

Quick Overview for CaMK2 alpha/delta antibody (Center) (ABIN7299808)

Target

CaMK2 alpha/delta

Reactivity

  • 3
  • 3
  • 3
  • 1
  • 1
  • 1
  • 1
  • 1
Human, Mouse, Rat, Chicken, Cow, Pig, Sheep

Host

  • 3
Rabbit

Clonality

  • 3
Polyclonal

Conjugate

  • 3
This CaMK2 alpha/delta antibody is un-conjugated

Application

  • 3
  • 3
  • 3
  • 2
  • 1
Immunofluorescence (IF), Immunohistochemistry (IHC), Western Blotting (WB)
  • Binding Specificity

    • 1
    • 1
    Center

    Purpose

    Rabbit polyclonal antibody to CaMK2 alpha/delta

    Specificity

    Recognizes endogenous levels of CaMK2 alpha/delta protein.

    Characteristics

    Rabbit polyclonal antibody to CaMK2 alpha/delta

    Purification

    The antibody was purified by immunogen affinity chromatography.

    Immunogen

    KLH-conjugated synthetic peptide encompassing a sequence within the center region of human CaMK2 alpha/delta. The exact sequence is proprietary.
  • Application Notes

    WB (1/500 - 1/1000), IH (1/100 - 1/200), IF/IC (1/100 - 1/500)

    Restrictions

    For Research Use only
  • Format

    Liquid

    Buffer

    Liquid in 0.42 % Potassium phosphate, 0.87 % Sodium chloride, pH 7.3, 30 % glycerol, and 0.01 % sodium azide.

    Preservative

    Sodium azide

    Precaution of Use

    This product contains Sodium azide: a POISONOUS AND HAZARDOUS SUBSTANCE which should be handled by trained staff only.

    Storage

    -20 °C

    Storage Comment

    Shipped at 4°C. Upon delivery aliquot and store at -20°C for one year. Avoid freeze/thaw cycles.

    Expiry Date

    12 months
  • Target

    CaMK2 alpha/delta

    Background

    CAMK2A, CAMKA, KIAA0968, Calcium/calmodulin-dependent protein kinase type II subunit alpha, CaM kinase II subunit alpha, CaMK-II subunit alpha, CAMK2D, CAMKD, Calcium/calmodulin-dependent protein kinase type II subunit delta, CaM kinase II subunit delta, CaMK-II subunit delta

    Gene ID

    815, 12322, 25400

    UniProt

    Q9UQM7
You are here:
Chat with us!