Phone:
+1 877 302 8632
Fax:
+1 888 205 9894 (Toll-free)
E-Mail:
orders@antibodies-online.com

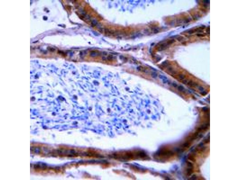
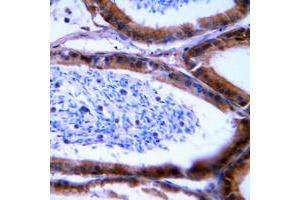
Granzyme B/H (N-Term) antibody

The Rabbit Polyclonal anti-Granzyme B/H antibody (ABIN7295860) specifically detects Granzyme B/H in WB and IHC. The antibody is reactive with Human, Mouse, Rat, Cow, Dog and Pig samples.
Catalog No. ABIN7295860
$330.77
Plus shipping costs $50.00
Shipping to: United States
Delivery in 13 to 15 Business Days

Quick Overview for Granzyme B/H (N-Term) antibody (ABIN7295860)

Target

Granzyme B/H

Reactivity

Human, Mouse, Rat, Cow, Dog, Pig

Host

  • 2
Rabbit

Clonality

  • 2
Polyclonal

Conjugate

  • 2
Un-conjugated

Application

  • 2
  • 2
  • 1
  • 1
Western Blotting (WB), Immunohistochemistry (IHC)
  • Binding Specificity

    • 1
    • 1
    N-Term

    Purpose

    Rabbit polyclonal antibody to Granzyme B/H

    Specificity

    Recognizes endogenous levels of Granzyme B/H protein.

    Characteristics

    Rabbit polyclonal antibody to Granzyme B/H

    Purification

    The antibody was purified by immunogen affinity chromatography.

    Immunogen

    KLH-conjugated synthetic peptide encompassing a sequence within the N-term region of human Granzyme B/H. The exact sequence is proprietary.
  • Application Notes

    WB (1/500 - 1/1000), IH (1/100 - 1/200)

    Restrictions

    For Research Use only
  • Format

    Liquid

    Buffer

    Liquid in 0.42 % Potassium phosphate, 0.87 % Sodium chloride, pH 7.3, 30 % glycerol, and 0.01 % sodium azide.

    Preservative

    Sodium azide

    Precaution of Use

    This product contains Sodium azide: a POISONOUS AND HAZARDOUS SUBSTANCE which should be handled by trained staff only.

    Storage

    -20 °C

    Storage Comment

    Shipped at 4°C. Upon delivery aliquot and store at -20°C for one year. Avoid freeze/thaw cycles.

    Expiry Date

    12 months
  • Target

    Granzyme B/H

    Background

    GZMB, CGL1, CSPB, CTLA1, GRB, Granzyme B, C11, CTLA-1, Cathepsin G-like 1, CTSGL1, Cytotoxic T-lymphocyte proteinase 2, Lymphocyte protease, Fragmentin-2, Granzyme-2, Human lymphocyte protein, HLP, SECT, T-cell serine protease 1-3E, GZMH, CGL2, CTSGL2, Granzyme H, CCP-X, Cathepsin G-like 2, CTSGL2, Cytotoxic T-lymphocyte proteinase, Cytotoxic serine protease C, CSP-C

    Gene ID

    2999, 14939, 100361468

    UniProt

    P10144
You are here:
Chat with us!