×
For best experience we recommend to activate Javascript in your browser.
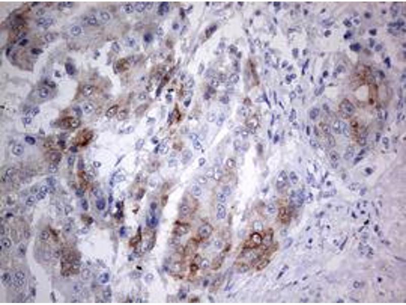
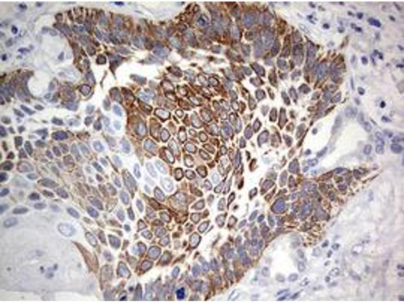
C3orf15 antibody (AA 1-313)
The Mouse Monoclonal anti-C3orf15 antibody (Clone OTI6G1) (ABIN2715591) specifically detects C3orf15 in WB and IHC.
The antibody is reactive with Human samples.
Catalog No. ABIN2715591
$608.40
Plus shipping costs $50.00
Delivery in 6 to 9 Business Days
Quick Overview for C3orf15 antibody (AA 1-313) (ABIN2715591)
Target
See all C3orf15 Antibodies
C3orf15
(Chromosome 3 Open Reading Frame 15 (C3orf15))
Reactivity
All reactivities for C3orf15 antibodies
Human
Host
All hosts for C3orf15 antibodies
Mouse
Clonality
All clonalities for C3orf15 antibodies
Monoclonal
Conjugate
All conjugates for C3orf15 antibodies
This C3orf15 antibody is un-conjugated
Application
All applications for C3orf15 antibodies
Western Blotting (WB), Immunohistochemistry (IHC)
Clone
OTI6G1
Product Details anti-C3orf15 Antibody
(hide)
Binding Specificity
All epitopes for C3orf15 antibodies
AA 1-313
Purification
Purified from mouse ascites fluids by affinity chromatography
Immunogen
Human recombinant protein fragment corresponding to amino acids 1-313 of human C3orf15 (NP_203528) produced in E.coli.
Isotype
IgG1
Alternatives
(show)
Application Details
(hide)
Application Notes
WB 1:500, IHC 1:150,
Restrictions
For Research Use only
Handling
(hide)
Format
Liquid
Concentration
1 mg/mL
Target Details for C3orf15
(hide)
Target
C3orf15
(Chromosome 3 Open Reading Frame 15 (C3orf15))
Alternative Name
C3orf15
Molecular Weight
89.8 kDa
NCBI Accession
NM_033364
HGNC
89876
Recently viewed
(hide)
Chat with us , powered by LiveChat