Phone:
+1 877 302 8632
Fax:
+1 888 205 9894 (Toll-free)
E-Mail:
orders@antibodies-online.com

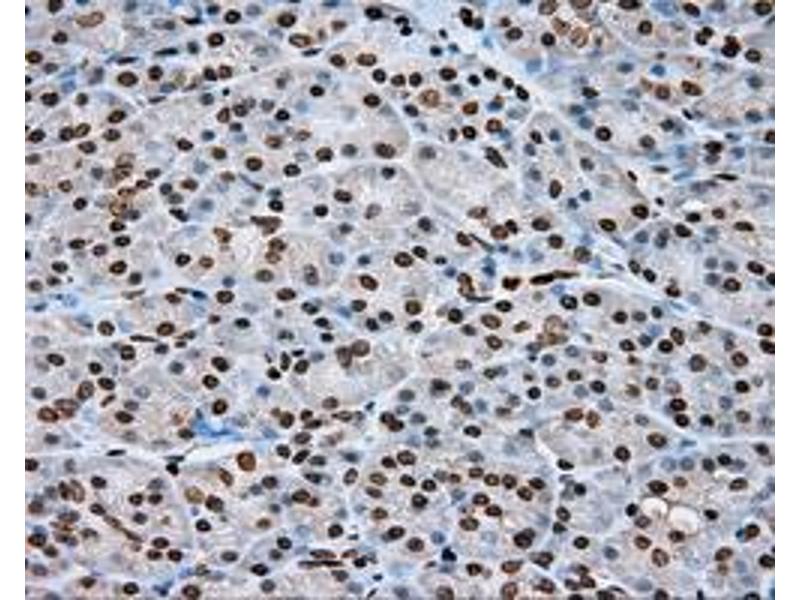
DAPK2 antibody

The Mouse Monoclonal anti-DAPK2 antibody (Clone 1F7) (ABIN2719217) specifically detects DAPK2 in WB, IHC, IF and IP. The antibody is reactive with Human samples.
Catalog No. ABIN2719217
$608.40
Plus shipping costs $50.00
0.1 mL
Shipping to: United States
Delivery in 6 to 9 Business Days

Quick Overview for DAPK2 antibody (ABIN2719217)

Target

See all DAPK2 Antibodies
DAPK2 (Death-Associated Protein Kinase 2 (DAPK2))

Reactivity

  • 64
  • 33
  • 14
  • 1
  • 1
Human

Host

  • 57
  • 6
  • 1
Mouse

Clonality

  • 57
  • 7
Monoclonal

Conjugate

  • 36
  • 5
  • 4
  • 4
  • 2
  • 2
  • 1
  • 1
  • 1
  • 1
  • 1
  • 1
  • 1
  • 1
  • 1
  • 1
  • 1
This DAPK2 antibody is un-conjugated

Application

  • 51
  • 34
  • 23
  • 13
  • 13
  • 12
  • 12
  • 7
  • 3
  • 3
  • 2
  • 2
  • 1
Western Blotting (WB), Immunohistochemistry (IHC), Immunofluorescence (IF), Immunoprecipitation (IP)

Clone

1F7
You are here:
Chat with us!