GBE1 antibody
Quick Overview for GBE1 antibody (ABIN2721750)
Target
See all GBE1 AntibodiesReactivity
Host
Clonality
Conjugate
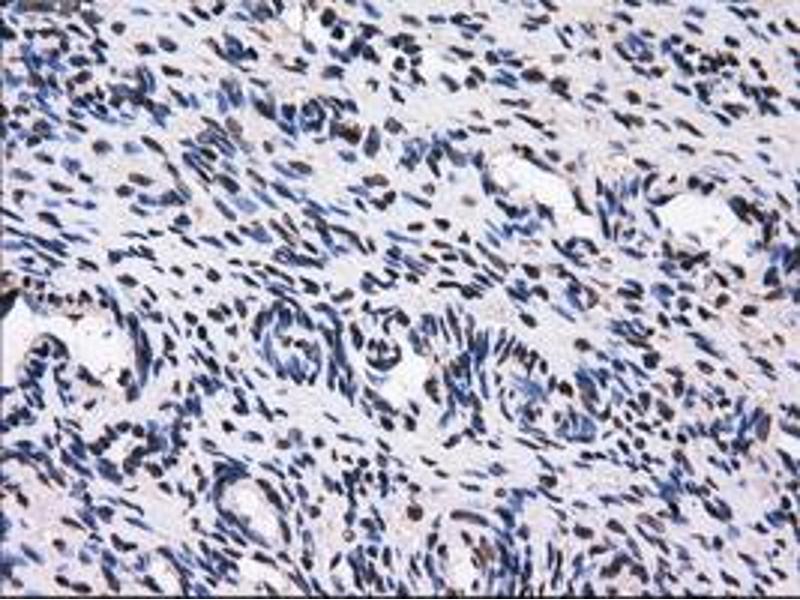
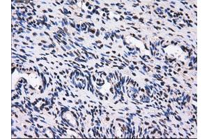
Application
Clone
-
-
Purification
- Purified from mouse ascites fluids by affinity chromatography
-
Immunogen
- Full length human recombinant protein of human GBE1 (NP_000149) produced in HEK293T cell.
-
Isotype
- IgG1
-
-
-
-
Application Notes
- WB 1:500~2000, IHC 1:50, IF 1:50~100, FLOW 1:100, IP 2 μg/500 μL
-
Comment
-
The concentration of the product may vary between diferrent lots.
-
Restrictions
- For Research Use only
-
-
-
Format
- Liquid
-
Concentration
- 0.5-1.0 mg/mL
-
Buffer
- PBS ( pH 7.3) containing 1 % BSA, 50 % glycerol and 0.02 % sodium azide.
-
Preservative
- Sodium azide
-
Precaution of Use
- This product contains sodium azide: a POISONOUS AND HAZARDOUS SUBSTANCE which should be handled by trained staff only.
-
-
-
: "A novel mouse model that recapitulates adult-onset glycogenosis type 4." in: Human molecular genetics, Vol. 24, Issue 23, pp. 6801-10, (2015) (PubMed).
: "Generation of a novel mouse model that recapitulates early and adult onset glycogenosis type IV." in: Human molecular genetics, Vol. 20, Issue 22, pp. 4430-9, (2011) (PubMed).
-
-
- GBE1 (Glucan (1,4-alpha-), Branching Enzyme 1 (GBE1))
-
Alternative Name
- GBE1
-
Molecular Weight
- 80.3 kDa
-
Gene ID
- 2632
-
NCBI Accession
- NM_000158
-
HGNC
- 2632
-
Pathways
- Cellular Glucan Metabolic Process
Target
-