IRF3 antibody
Quick Overview for IRF3 antibody (ABIN2723791)
Target
See all IRF3 AntibodiesReactivity
Host
Clonality
Conjugate
Application
Clone
-
-
Purification
- Purified from mouse ascites fluids by affinity chromatography
-
Immunogen
- Full length human recombinant protein of human IRF3 (NP_001562) produced in HEK293T cell.
-
Isotype
- IgG2a
-
-
-
-
Application Notes
- WB 1:1000~2000, IHC 1:50, IF 1:100, FLOW 1:100,
-
Comment
-
The concentration of the product may vary between diferrent lots.
-
Restrictions
- For Research Use only
-
-
-
Format
- Liquid
-
Concentration
- 0.5-1.0 mg/mL
-
Buffer
- PBS ( pH 7.3) containing 1 % BSA, 50 % glycerol and 0.02 % sodium azide.
-
Preservative
- Sodium azide
-
Precaution of Use
- This product contains sodium azide: a POISONOUS AND HAZARDOUS SUBSTANCE which should be handled by trained staff only.
-
-
- IRF3 (Interferon Regulatory Factor 3 (IRF3))
-
Alternative Name
- IRF3
-
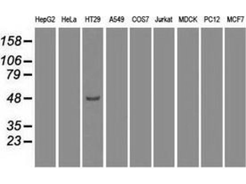
Molecular Weight
- 47 kDa
-
Gene ID
- 3661
-
NCBI Accession
- NM_001571
-
HGNC
- 3661
-
Pathways
- TLR Signaling, Activation of Innate immune Response, Cellular Response to Molecule of Bacterial Origin, Hepatitis C, Toll-Like Receptors Cascades
Target
-