Phone:
+1 877 302 8632
Fax:
+1 888 205 9894 (Toll-free)
E-Mail:
orders@antibodies-online.com

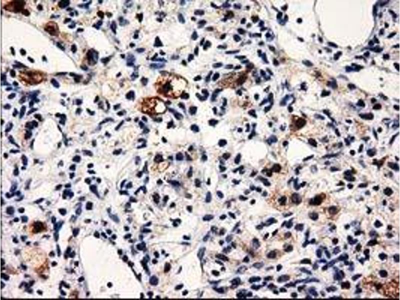
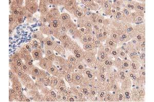
PRPSAP2 antibody

The Mouse Monoclonal anti-PRPSAP2 antibody is suitable to detect PRPSAP2 in samples from Human. It has been validated for WB, IHC, IF and FACS.
Catalog No. ABIN2729837
$608.40
Plus shipping costs $50.00
0.1 mL
Shipping to: United States
Delivery in 6 to 9 Business Days

Quick Overview for PRPSAP2 antibody (ABIN2729837)

Target

See all PRPSAP2 Antibodies
PRPSAP2 (phosphoribosyl Pyrophosphate Synthetase-Associated Protein 2 (PRPSAP2))

Reactivity

  • 33
  • 21
  • 20
  • 3
  • 3
  • 3
  • 3
  • 3
  • 2
  • 2
  • 2
  • 2
  • 1
Human

Host

  • 31
  • 2
Mouse

Clonality

  • 33
Monoclonal

Conjugate

  • 14
  • 2
  • 2
  • 1
  • 1
  • 1
  • 1
  • 1
  • 1
  • 1
  • 1
  • 1
  • 1
  • 1
  • 1
  • 1
  • 1
  • 1
This PRPSAP2 antibody is un-conjugated

Application

  • 27
  • 13
  • 13
  • 7
  • 6
  • 6
  • 5
  • 4
  • 3
  • 3
  • 2
  • 2
  • 1
  • 1
Western Blotting (WB), Immunohistochemistry (IHC), Immunofluorescence (IF), Flow Cytometry (FACS)

Clone

1E3
You are here:
Chat with us!