ST6GALNAC1 antibody (Middle Region)
Quick Overview for ST6GALNAC1 antibody (Middle Region) (ABIN2773898)
Target
See all ST6GALNAC1 AntibodiesReactivity
Host
Clonality
Conjugate
Application
-
-
Binding Specificity
- Middle Region
-
Sequence
- LIKGYEQDVG TRTSFYGFTA FSLTQSLLIL GNRGFKNVPL GKDVRYLHFL
-
Predicted Reactivity
- Cow: 93%, Dog: 100%, Guinea Pig: 100%, Horse: 100%, Human: 100%, Mouse: 100%, Rabbit: 100%, Rat: 100%, Zebrafish: 79%
-
Characteristics
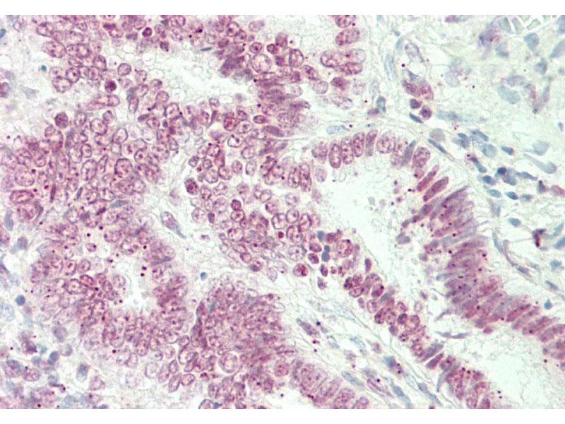
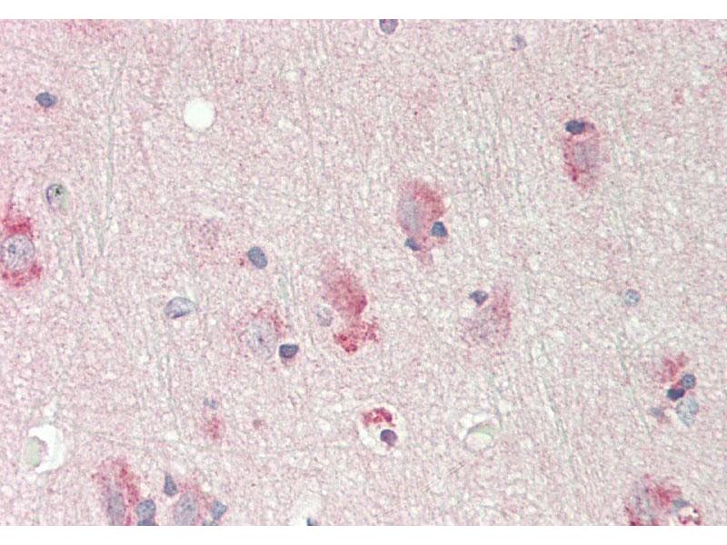
- This is a rabbit polyclonal antibody against ST6GALNAC1. It was validated on Western Blot using a cell lysate as a positive control.
-
Purification
- Affinity Purified
-
Immunogen
- The immunogen is a synthetic peptide directed towards the middle region of human ST6GALNAC1
-
-
-
-
Application Notes
- Optimal working dilutions should be determined experimentally by the investigator.
-
Comment
-
Antigen size: 600 AA
-
Restrictions
- For Research Use only
-
-
-
Format
- Liquid
-
Concentration
- Lot specific
-
Buffer
- Liquid. Purified antibody supplied in 1x PBS buffer with 0.09 % (w/v) sodium azide and 2 % sucrose.
-
Preservative
- Sodium azide
-
Precaution of Use
- This product contains Sodium azide: a POISONOUS AND HAZARDOUS SUBSTANCE which should be handled by trained staff only.
-
Handling Advice
- Avoid repeated freeze-thaw cycles.
-
Storage
- -20 °C
-
Storage Comment
- For short term use, store at 2-8°C up to 1 week. For long term storage, store at -20°C in small aliquots to prevent freeze-thaw cycles.
-
-
- ST6GALNAC1 (ST6 (Alpha-N-Acetyl-Neuraminyl-2,3-beta-Galactosyl-1,3)-N-Acetylgalactosaminide alpha-2,6-Sialyltransferase 1 (ST6GALNAC1))
-
Alternative Name
- ST6GALNAC1
-
Background
-
Glycosylation of proteins affects cell-cell interaction, interactions with the matrix, and the functions of intracellular molecules. ST6GALNAC1 transfers a sialic acid, N-acetylneuraminic acid (NeuAc), in an alpha-2,6 linkage to O-linked GalNAc residues. The cancer-associated sialyl-Tn (sTn) antigen is formed by ST6GALNAC1-catalyzed sialylation of GalNAc residues on mucins.Glycosylation of proteins affects cell-cell interaction, interactions with the matrix, and the functions of intracellular molecules. ST6GALNAC1 transfers a sialic acid, N-acetylneuraminic acid (NeuAc), in an alpha-2,6 linkage to O-linked GalNAc residues. The cancer-associated sialyl-Tn (sTn) antigen is formed by ST6GALNAC1-catalyzed sialylation of GalNAc residues on mucins (Ikehara et al., 1999 [PubMed 10536037], Sewell et al., 2006 [PubMed 16319059]).[supplied by OMIM]. PRIMARYREFSEQ_SPAN PRIMARY_IDENTIFIER PRIMARY_SPAN COMP 1-162 DA594489.1 27-188 163-2334 Y11339.2 49-2220 2335-2530 AK000113.1 1515-1710 2531-2550 Y11339.2 2418-2437
Alias Symbols: HSY11339, SIAT7A, ST6GalNAcI, STYI
Protein Interaction Partner: EXOSC2, UBC,
Protein Size: 600 -
Molecular Weight
- 68 kDa
-
Gene ID
- 55808
-
NCBI Accession
- NM_018414, NP_060884
-
UniProt
- Q9NSC7
Target
-