Phone:
+1 877 302 8632
Fax:
+1 888 205 9894 (Toll-free)
E-Mail:
orders@antibodies-online.com

ZNF551 antibody (N-Term)

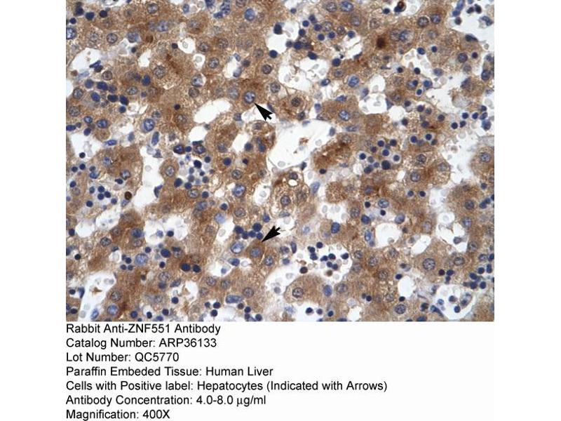
The Rabbit Polyclonal anti-ZNF551 antibody (ABIN2775059) specifically detects ZNF551 in WB and IHC. The antibody is reactive with Human samples.
Catalog No. ABIN2775059
$429.69
Plus shipping costs $50.00
Shipping to: United States
Delivery in 2 to 4 Business Days

Quick Overview for ZNF551 antibody (N-Term) (ABIN2775059)

Target

See all ZNF551 Antibodies
ZNF551 (Zinc Finger Protein 551 (ZNF551))

Reactivity

  • 14
  • 2
  • 2
  • 2
  • 2
  • 2
  • 1
  • 1
  • 1
  • 1
Human

Host

  • 14
Rabbit

Clonality

  • 14
Polyclonal

Conjugate

  • 9
  • 1
  • 1
  • 1
  • 1
  • 1
This ZNF551 antibody is un-conjugated

Application

  • 14
  • 8
  • 3
  • 1
Western Blotting (WB), Immunohistochemistry (IHC)
  • Binding Specificity

    • 7
    • 2
    • 1
    • 1
    • 1
    • 1
    • 1
    N-Term

    Sequence

    FVTGCRFHVL NYFTCGEAFP APTDLLQHEA TPSGEEPHSS SSKHIQAFFN

    Predicted Reactivity

    Human: 100%

    Characteristics

    This is a rabbit polyclonal antibody against ZNF551. It was validated on Western Blot and immunohistochemistry.

    Purification

    Protein A purified

    Immunogen

    The immunogen is a synthetic peptide directed towards the N terminal region of human ZNF551
  • Application Notes

    Optimal working dilutions should be determined experimentally by the investigator.

    Comment

    Antigen size: 362 AA

    Restrictions

    For Research Use only
  • Format

    Liquid

    Concentration

    Lot specific

    Buffer

    Liquid. Purified antibody supplied in 1x PBS buffer with 0.09 % (w/v) sodium azide and 2 % sucrose.

    Preservative

    Sodium azide

    Precaution of Use

    This product contains Sodium azide: a POISONOUS AND HAZARDOUS SUBSTANCE which should be handled by trained staff only.

    Handling Advice

    Avoid repeated freeze-thaw cycles.

    Storage

    -20 °C

    Storage Comment

    For short term use, store at 2-8°C up to 1 week. For long term storage, store at -20°C in small aliquots to prevent freeze-thaw cycles.
  • Target

    ZNF551 (Zinc Finger Protein 551 (ZNF551))

    Alternative Name

    ZNF551

    Background

    Located on chromosome 19, ZNF551 encodes a protein that is part of the zinc finger protein family.
    Protein Interaction Partner: UBC,
    Protein Size: 362

    Molecular Weight

    40 kDa

    Gene ID

    90233

    NCBI Accession

    NM_138347
You are here:
Chat with us!