Phone:
+1 877 302 8632
Fax:
+1 888 205 9894 (Toll-free)
E-Mail:
orders@antibodies-online.com

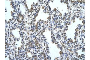
PANX1 antibody (Middle Region)

This Rabbit Polyclonal antibody specifically detects PANX1 in WB and IHC. It exhibits reactivity toward Human, Rat, Mouse, Cow, Dog, Guinea Pig, Horse and Rabbit.
Catalog No. ABIN2775573
$483.54
Plus shipping costs $50.00
Shipping to: United States
Delivery in 2 to 4 Business Days

Quick Overview for PANX1 antibody (Middle Region) (ABIN2775573)

Target

See all PANX1 Antibodies
PANX1 (Pannexin 1 (PANX1))

Reactivity

Human, Rat, Mouse, Cow, Dog, Guinea Pig, Horse, Rabbit

Host

  • 51
  • 3
  • 1
Rabbit

Clonality

  • 39
  • 16
Polyclonal

Conjugate

  • 29
  • 4
  • 4
  • 2
  • 2
  • 2
  • 2
  • 2
  • 2
  • 2
  • 1
  • 1
  • 1
  • 1
This PANX1 antibody is un-conjugated

Application

  • 42
  • 22
  • 12
  • 12
  • 8
  • 5
  • 5
  • 1
  • 1
  • 1
Western Blotting (WB), Immunohistochemistry (IHC)
  • Binding Specificity

    • 7
    • 5
    • 2
    • 2
    • 2
    • 2
    • 2
    • 1
    • 1
    • 1
    • 1
    • 1
    • 1
    • 1
    • 1
    • 1
    • 1
    • 1
    • 1
    Middle Region

    Sequence

    LGYYFSLSSL SDEFVCSIKS GILRNDSTVP DQFQCKLIAV GIFQLLSVIN

    Predicted Reactivity

    Cow: 92%, Dog: 83%, Guinea Pig: 86%, Horse: 100%, Human: 100%, Mouse: 77%, Rabbit: 93%, Rat: 93%

    Characteristics

    This is a rabbit polyclonal antibody against PANX1. It was validated on Western Blot and immunohistochemistry.

    Purification

    Affinity Purified

    Immunogen

    The immunogen is a synthetic peptide directed towards the middle region of human PANX1
  • Application Notes

    Optimal working dilutions should be determined experimentally by the investigator.

    Comment

    Antigen size: 426 AA

    Restrictions

    For Research Use only
  • Format

    Liquid

    Concentration

    Lot specific

    Buffer

    Liquid. Purified antibody supplied in 1x PBS buffer with 0.09 % (w/v) sodium azide and 2 % sucrose.

    Preservative

    Sodium azide

    Precaution of Use

    This product contains Sodium azide: a POISONOUS AND HAZARDOUS SUBSTANCE which should be handled by trained staff only.

    Handling Advice

    Avoid repeated freeze-thaw cycles.

    Storage

    -20 °C

    Storage Comment

    For short term use, store at 2-8°C up to 1 week. For long term storage, store at -20°C in small aliquots to prevent freeze-thaw cycles.
  • Target

    PANX1 (Pannexin 1 (PANX1))

    Alternative Name

    PANX1

    Background

    PANX1 belongs to the innexin family. Innexin family members are the structural components of gap junctions. This protein and pannexin 2 are abundantly expressed in central nerve system (CNS) and are coexpressed in various neuronal populations. Studies in Xenopus oocytes suggest that this protein alone and in combination with pannexin 2 may form cell type-specific gap junctions with distinct properties.The protein encoded by this gene belongs to the innexin family. Innexin family members are the structural components of gap junctions. This protein and pannexin 2 are abundantly expressed in central nerve system (CNS) and are coexpressed in various neuronal populations. Studies in Xenopus oocytes suggest that this protein alone and in combination with pannexin 2 may form cell type-specific gap junctions with distinct properties.
    Alias Symbols: MGC21309, MRS1, UNQ2529, PX1
    Protein Interaction Partner: GNAS, UBC, P2RX7,
    Protein Size: 426

    Molecular Weight

    47 kDa

    Gene ID

    24145

    NCBI Accession

    NM_015368, NP_056183

    UniProt

    Q96RD7
You are here:
Chat with us!