Phone:
+1 877 302 8632
Fax:
+1 888 205 9894 (Toll-free)
E-Mail:
orders@antibodies-online.com

FHL1 antibody (C-Term)

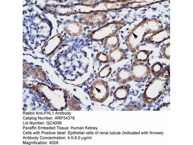
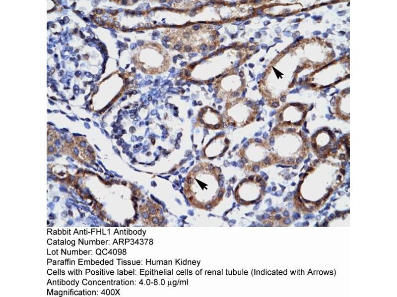
Cited in 12+ publications. The Rabbit Polyclonal anti-FHL1 antibody (ABIN2775759) specifically detects FHL1 in WB and IHC. The antibody is reactive with Human, Mouse, Rat, Dog, Cow, Guinea Pig, Sheep, Horse and Rabbit samples.
Catalog No. ABIN2775759
$429.69
Plus shipping costs $50.00
Shipping to: United States
Delivery in 2 to 4 Business Days

Quick Overview for FHL1 antibody (C-Term) (ABIN2775759)

Target

See all FHL1 Antibodies
FHL1 (Four and A Half LIM Domains 1 (FHL1))

Reactivity

  • 57
  • 26
  • 25
  • 5
  • 3
  • 3
  • 3
  • 2
  • 2
  • 2
  • 2
  • 1
  • 1
Human, Mouse, Rat, Dog, Cow, Guinea Pig, Sheep, Horse, Rabbit

Host

  • 49
  • 7
  • 3
Rabbit

Clonality

  • 40
  • 19
Polyclonal

Conjugate

  • 40
  • 2
  • 2
  • 2
  • 2
  • 2
  • 2
  • 2
  • 2
  • 1
  • 1
  • 1
This FHL1 antibody is un-conjugated

Application

  • 48
  • 21
  • 20
  • 12
  • 9
  • 8
  • 6
  • 2
  • 1
  • 1
Western Blotting (WB), Immunohistochemistry (IHC)
  • Binding Specificity

    • 6
    • 4
    • 4
    • 3
    • 2
    • 1
    • 1
    • 1
    • 1
    • 1
    • 1
    • 1
    • 1
    • 1
    • 1
    C-Term

    Sequence

    YYCVDCYKNF VAKKCAGCKN PITGFGKGSS VVAYEGQSWH DYCFHCKKCS

    Predicted Reactivity

    Cow: 100%, Dog: 100%, Guinea Pig: 100%, Horse: 100%, Human: 100%, Mouse: 100%, Rabbit: 93%, Rat: 100%, Sheep: 100%

    Characteristics

    This is a rabbit polyclonal antibody against FHL1. It was validated on Western Blot and immunohistochemistry.

    Purification

    Protein A purified

    Immunogen

    The immunogen is a synthetic peptide directed towards the C terminal region of human FHL1
  • Application Notes

    Optimal working dilutions should be determined experimentally by the investigator.

    Comment

    Antigen size: 280 AA

    Restrictions

    For Research Use only
  • Format

    Liquid

    Concentration

    Lot specific

    Buffer

    Liquid. Purified antibody supplied in 1x PBS buffer with 0.09 % (w/v) sodium azide and 2 % sucrose.

    Preservative

    Sodium azide

    Precaution of Use

    This product contains Sodium azide: a POISONOUS AND HAZARDOUS SUBSTANCE which should be handled by trained staff only.

    Handling Advice

    Avoid repeated freeze-thaw cycles.

    Storage

    -20 °C

    Storage Comment

    For short term use, store at 2-8°C up to 1 week. For long term storage, store at -20°C in small aliquots to prevent freeze-thaw cycles.
  • Le Thanh, Meinke, Korfali, Srsen, Robson, Wehnert, Schoser, Sewry, Schirmer: "Immunohistochemistry on a panel of Emery-Dreifuss muscular dystrophy samples reveals nuclear envelope proteins as inconsistent markers for pathology." in: Neuromuscular disorders : NMD, Vol. 27, Issue 4, pp. 338-351, (2017) (PubMed).

    Xue, Schoser, Rao, Quadrelli, Vaglio, Rupp, Beichler, Nelson, Schapacher-Tilp, Windpassinger, Wilcox: "Exome Sequencing Identified a Splice Site Mutation in FHL1 that Causes Uruguay Syndrome, an X-Linked Disorder With Skeletal Muscle Hypertrophy and Premature Cardiac Death." in: Circulation. Cardiovascular genetics, Vol. 9, Issue 2, pp. 130-5, (2016) (PubMed).

    Ma, Mao, Shen, Zheng, Li, Liu, Ni: "Atractylenolide I-mediated Notch pathway inhibition attenuates gastric cancer stem cell traits." in: Biochemical and biophysical research communications, Vol. 450, Issue 1, pp. 353-9, (2014) (PubMed).

    Fujii, Hayashi, Kawamura, Higuchi, Tsugawa, Ohyagi, Hayashi, Nishino, Kira: "A case of adult-onset reducing body myopathy presenting a novel clinical feature, asymmetrical involvement of the sternocleidomastoid and trapezius muscles." in: Journal of the neurological sciences, Vol. 343, Issue 1-2, pp. 206-10, (2014) (PubMed).

    Koike, Kasamatsu, Iyoda, Saito, Kouzu, Koike, Sakamoto, Ogawara, Tanzawa, Uzawa: "High prevalence of epigenetic inactivation of the human four and a half LIM domains 1 gene in human oral cancer." in: International journal of oncology, Vol. 42, Issue 1, pp. 141-50, (2012) (PubMed).

    Sharma, Shathasivam, Ignatchenko, Kislinger, Gramolini: "Identification of an FHL1 protein complex containing ACTN1, ACTN4, and PDLIM1 using affinity purifications and MS-based protein-protein interaction analysis." in: Molecular bioSystems, Vol. 7, Issue 4, pp. 1185-96, (2011) (PubMed).

    Poparic, Schreibmayer, Schoser, Desoye, Gorischek, Miedl, Hochmeister, Binder, Quasthoff, Wagner, Windpassinger, Malle: "Four and a half LIM protein 1C (FHL1C): a binding partner for voltage-gated potassium channel K(v1.5)." in: PLoS ONE, Vol. 6, Issue 10, pp. e26524, (2011) (PubMed).

    Schoser, Goebel, Janisch, Quasthoff, Rother, Bergmann, Müller-Felber, Windpassinger: "Consequences of mutations within the C terminus of the FHL1 gene." in: Neurology, Vol. 73, Issue 7, pp. 543-51, (2009) (PubMed).

    Gueneau, Bertrand, Jais, Salih, Stojkovic, Wehnert, Hoeltzenbein, Spuler, Saitoh, Verschueren, Tranchant, Beuvin, Lacene, Romero, Heath, Zelenika, Voit, Eymard, Ben Yaou, Bonne: "Mutations of the FHL1 gene cause Emery-Dreifuss muscular dystrophy." in: American journal of human genetics, Vol. 85, Issue 3, pp. 338-53, (2009) (PubMed).

    Windpassinger, Schoser, Straub, Hochmeister, Noor, Lohberger, Farra, Petek, Schwarzbraun, Ofner, Löscher, Wagner, Lochmüller, Vincent, Quasthoff: "An X-linked myopathy with postural muscle atrophy and generalized hypertrophy, termed XMPMA, is caused by mutations in FHL1." in: American journal of human genetics, Vol. 82, Issue 1, pp. 88-99, (2008) (PubMed).

    Quinzii, Vu, Min, Tanji, Barral, Grewal, Kattah, Camaño, Otaegui, Kunimatsu, Blake, Wilhelmsen, Rowland, Hays, Bonilla, Hirano: "X-linked dominant scapuloperoneal myopathy is due to a mutation in the gene encoding four-and-a-half-LIM protein 1." in: American journal of human genetics, Vol. 82, Issue 1, pp. 208-13, (2008) (PubMed).

    McGrath, Mitchell, Coghill, Robinson, Brown: "Skeletal muscle LIM protein 1 (SLIM1/FHL1) induces alpha 5 beta 1-integrin-dependent myocyte elongation." in: American journal of physiology. Cell physiology, Vol. 285, Issue 6, pp. C1513-26, (2003) (PubMed).

  • Target

    FHL1 (Four and A Half LIM Domains 1 (FHL1))

    Alternative Name

    FHL1

    Background

    LIM proteins, named for 'LIN11, ISL1, and MEC3,' are defined by the possession of a highly conserved double zinc finger motif called the LIM domain. FHL1 may play an important role during the early stages of skeletal muscle differentiation, specifically in alpha5beta1-integrin-mediated signaling pathways.
    Alias Symbols: KYOT, SLIM, FHL-1, FHL1A, FHL1B, FLH1A, SLIM1, XMPMA, SLIM-1, SLIMMER
    Protein Interaction Partner: SUMO2, UBC, SRPK1, SMAD4, SMAD3, SMAD2, LMNA, CSNK1D, NRIP1, ESR1, HIVEP3, SMURF1, UBE2E2, STAT4, RING1, RBPJ, FHL1, KCNA5, PRNP, USP15, HHV8GK18_gp81, SP1, TXNIP, DEAF1, PDE4DIP, AKAP12, EED, HES1, DBN1, CBX4, FHL2, SRF, MYBPC1,
    Protein Size: 280

    Molecular Weight

    32 kDa

    Gene ID

    2273

    NCBI Accession

    NM_001449, NP_001440

    UniProt

    Q6IB30
You are here:
Chat with us!