Phone:
+1 877 302 8632
Fax:
+1 888 205 9894 (Toll-free)
E-Mail:
orders@antibodies-online.com

TBPL1 antibody (Middle Region)

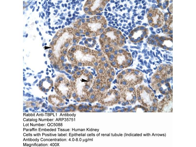
The Rabbit Polyclonal anti-TBPL1 antibody (ABIN2776432) specifically detects TBPL1 in WB and IHC. The antibody is reactive with Human, Mouse, Rat, Dog, Cow, Guinea Pig, Horse, Rabbit and Zebrafish (Danio rerio) samples.
Catalog No. ABIN2776432
$429.69
Plus shipping costs $50.00
Shipping to: United States
Delivery in 2 to 4 Business Days

Quick Overview for TBPL1 antibody (Middle Region) (ABIN2776432)

Target

See all TBPL1 Antibodies
TBPL1 (TBP-Like 1 (TBPL1))

Reactivity

  • 76
  • 41
  • 31
  • 10
  • 2
  • 1
  • 1
  • 1
  • 1
  • 1
  • 1
  • 1
  • 1
Human, Mouse, Rat, Dog, Cow, Guinea Pig, Horse, Rabbit, Zebrafish (Danio rerio)

Host

  • 78
  • 3
  • 1
Rabbit

Clonality

  • 59
  • 23
Polyclonal

Conjugate

  • 22
  • 11
  • 6
  • 4
  • 4
  • 4
  • 4
  • 4
  • 4
  • 4
  • 2
  • 2
  • 1
  • 1
  • 1
  • 1
  • 1
  • 1
  • 1
  • 1
  • 1
  • 1
  • 1
This TBPL1 antibody is un-conjugated

Application

  • 62
  • 30
  • 23
  • 22
  • 21
  • 19
  • 13
  • 13
  • 13
  • 4
  • 3
  • 2
Western Blotting (WB), Immunohistochemistry (IHC)
  • Binding Specificity

    • 15
    • 7
    • 7
    • 5
    • 4
    • 3
    • 3
    • 3
    • 3
    • 2
    • 2
    • 2
    • 1
    • 1
    • 1
    • 1
    • 1
    Middle Region

    Sequence

    LQKLGFQVIF TDFKVVNVLA VCNMPFEIRL PEFTKNNRPH ASYEPELHPA

    Predicted Reactivity

    Cow: 100%, Dog: 100%, Guinea Pig: 100%, Horse: 100%, Human: 100%, Mouse: 100%, Rabbit: 100%, Rat: 100%, Zebrafish: 92%

    Characteristics

    This is a rabbit polyclonal antibody against TBPL1. It was validated on Western Blot and immunohistochemistry.

    Purification

    Protein A purified

    Immunogen

    The immunogen is a synthetic peptide directed towards the middle region of human TBPL1
  • Application Notes

    Optimal working dilutions should be determined experimentally by the investigator.

    Comment

    Antigen size: 186 AA

    Restrictions

    For Research Use only
  • Format

    Liquid

    Concentration

    Lot specific

    Buffer

    Liquid. Purified antibody supplied in 1x PBS buffer with 0.09 % (w/v) sodium azide and 2 % sucrose.

    Preservative

    Sodium azide

    Precaution of Use

    This product contains Sodium azide: a POISONOUS AND HAZARDOUS SUBSTANCE which should be handled by trained staff only.

    Handling Advice

    Avoid repeated freeze-thaw cycles.

    Storage

    -20 °C

    Storage Comment

    For short term use, store at 2-8°C up to 1 week. For long term storage, store at -20°C in small aliquots to prevent freeze-thaw cycles.
  • Target

    TBPL1 (TBP-Like 1 (TBPL1))

    Alternative Name

    TBPL1

    Background

    Initiation of transcription by RNA polymerase II requires the activities of more than 70 polypeptides. The protein that coordinates these activities is transcription factor IID (TFIID), which binds to the core promoter to position the polymerase properly, serves as the scaffold for assembly of the remainder of the transcription complex, and acts as a channel for regulatory signals. TFIID is composed of the TATA-binding protein (TBP) and a group of evolutionarily conserved proteins known as TBP-associated factors or TAFs. TBPL1 encodes a protein that serves the same function as TBP and substitutes for TBP at some promoters that are not recognized by TFIID. It is essential for spermiogenesis and believed to be important in expression of developmentally regulated genes.
    Alias Symbols: TLF, TLP, STUD, TRF2, MGC:8389, MGC:9620
    Protein Interaction Partner: TNNT1, FUS, APP, PRNP, ELAVL1, UBC, TERF2, TERF1, TBPL2, TAF1L, TBP, TAF6, TAF5, TAF4, TAF1, HSPA9, GTF2A2, GTF2A1, SLC35F6, ABCF3, NDUFA6, GTF2B, PTCD3, IRAK4, RAB35, PLIN3, RPL10, NF1, PMVK,
    Protein Size: 186

    Molecular Weight

    21 kDa

    Gene ID

    9519

    NCBI Accession

    NM_004865, NP_004856

    UniProt

    P62380
You are here:
Chat with us!