Phone:
+1 877 302 8632
Fax:
+1 888 205 9894 (Toll-free)
E-Mail:
orders@antibodies-online.com

MIF4GD antibody (C-Term)

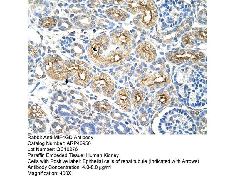
Cited in 1 publication. The Rabbit Polyclonal anti-MIF4GD antibody (ABIN2776538) specifically detects MIF4GD in WB and IHC. The antibody is reactive with Human, Mouse, Dog, Rat, Guinea Pig, Cow, Horse, Rabbit and Zebrafish (Danio rerio) samples.
Catalog No. ABIN2776538
$429.69
Plus shipping costs $50.00
Shipping to: United States
Delivery in 2 to 4 Business Days

Quick Overview for MIF4GD antibody (C-Term) (ABIN2776538)

Target

See all MIF4GD Antibodies
MIF4GD (MIF4G Domain Containing (MIF4GD))

Reactivity

  • 23
  • 7
  • 5
  • 4
  • 3
  • 2
  • 2
  • 2
  • 2
  • 2
  • 2
  • 2
  • 1
Human, Mouse, Dog, Rat, Guinea Pig, Cow, Horse, Rabbit, Zebrafish (Danio rerio)

Host

  • 20
  • 3
Rabbit

Clonality

  • 21
  • 2
Polyclonal

Conjugate

  • 13
  • 2
  • 1
  • 1
  • 1
  • 1
  • 1
  • 1
  • 1
  • 1
This MIF4GD antibody is un-conjugated

Application

  • 12
  • 5
  • 4
  • 4
  • 3
  • 1
Western Blotting (WB), Immunohistochemistry (IHC)
  • Binding Specificity

    • 5
    • 4
    • 2
    • 1
    • 1
    • 1
    C-Term

    Sequence

    LFVLIRDGFL LPTGLSSLAQ LLLLEIIEFR AAGWKTTPAA HKYYYSEVSD

    Predicted Reactivity

    Cow: 100%, Dog: 100%, Guinea Pig: 100%, Horse: 100%, Human: 100%, Mouse: 100%, Rabbit: 100%, Rat: 100%, Zebrafish: 100%

    Characteristics

    This is a rabbit polyclonal antibody against MIF4GD. It was validated on Western Blot and immunohistochemistry.

    Purification

    Protein A purified

    Immunogen

    The immunogen is a synthetic peptide directed towards the C terminal region of human MIF4GD
  • Application Notes

    Optimal working dilutions should be determined experimentally by the investigator.

    Comment

    Antigen size: 256 AA

    Restrictions

    For Research Use only
  • Format

    Liquid

    Concentration

    Lot specific

    Buffer

    Liquid. Purified antibody supplied in 1x PBS buffer with 0.09 % (w/v) sodium azide and 2 % sucrose.

    Preservative

    Sodium azide

    Precaution of Use

    This product contains Sodium azide: a POISONOUS AND HAZARDOUS SUBSTANCE which should be handled by trained staff only.

    Handling Advice

    Avoid repeated freeze-thaw cycles.

    Storage

    -20 °C

    Storage Comment

    For short term use, store at 2-8°C up to 1 week. For long term storage, store at -20°C in small aliquots to prevent freeze-thaw cycles.
  • Okada, Kimura, Moriyama, Nakai, Kikuchi, Kaneko, Kunieda, Baba, Noguchi: "Expression analysis of MIF4GD in the rat testis." in: The Journal of reproduction and development, Vol. 57, Issue 2, pp. 256-61, (2011) (PubMed).

  • Target

    MIF4GD (MIF4G Domain Containing (MIF4GD))

    Alternative Name

    MIF4GD

    Background

    MIF4GD is a protein which contains an MIF4G domain.This gene encodes a protein which contains an MIF4G domain.
    Alias Symbols: MIFD, AD023, SLIP1
    Protein Interaction Partner: DDX19A, DDX19B, PDE4DIP, HGS, EXOSC6, HDAC4, PPARG, LSM5, PDXDC1, PPIP5K1, DHX16, ILF2, HINFP, UBQLN4, SVIL,
    Protein Size: 256

    Molecular Weight

    28 kDa

    Gene ID

    57409

    NCBI Accession

    NM_020679, NP_065730

    UniProt

    Q8N4Q5
You are here:
Chat with us!