Phone:
+1 877 302 8632
Fax:
+1 888 205 9894 (Toll-free)
E-Mail:
orders@antibodies-online.com

DDX17 antibody (N-Term)

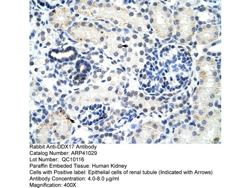
The Rabbit Polyclonal anti-DDX17 antibody (ABIN2776581) specifically detects DDX17 in WB and IHC. The antibody is reactive with Human, Mouse, Rat, Dog, Guinea Pig, Cow, Horse and Rabbit samples.
Catalog No. ABIN2776581
$429.69
Plus shipping costs $50.00
Shipping to: United States
Delivery in 2 to 4 Business Days

Quick Overview for DDX17 antibody (N-Term) (ABIN2776581)

Target

See all DDX17 Antibodies
DDX17 (DEAD (Asp-Glu-Ala-Asp) Box Polypeptide 17 (DDX17))

Reactivity

  • 45
  • 19
  • 9
  • 6
  • 3
  • 2
  • 2
  • 2
  • 2
  • 2
  • 1
  • 1
Human, Mouse, Rat, Dog, Guinea Pig, Cow, Horse, Rabbit

Host

  • 41
  • 4
Rabbit

Clonality

  • 28
  • 17
Polyclonal

Conjugate

  • 27
  • 3
  • 3
  • 2
  • 1
  • 1
  • 1
  • 1
  • 1
  • 1
  • 1
  • 1
  • 1
  • 1
This DDX17 antibody is un-conjugated

Application

  • 39
  • 28
  • 22
  • 16
  • 14
  • 13
  • 5
  • 3
  • 2
  • 1
  • 1
Western Blotting (WB), Immunohistochemistry (IHC)
  • Binding Specificity

    • 8
    • 6
    • 5
    • 5
    • 2
    • 1
    • 1
    • 1
    N-Term

    Sequence

    TSSANNPNLM YQDECDRRLR GVKDGGRRDS ASYRDRSETD RAGYANGSGY

    Predicted Reactivity

    Cow: 93%, Dog: 100%, Guinea Pig: 100%, Horse: 93%, Human: 100%, Mouse: 93%, Rabbit: 93%, Rat: 100%

    Characteristics

    This is a rabbit polyclonal antibody against DDX17. It was validated on Western Blot and immunohistochemistry.

    Purification

    Protein A purified

    Immunogen

    The immunogen is a synthetic peptide directed towards the N terminal region of human DDX17
  • Application Notes

    Optimal working dilutions should be determined experimentally by the investigator.

    Comment

    Antigen size: 547 AA

    Restrictions

    For Research Use only
  • Format

    Liquid

    Concentration

    Lot specific

    Buffer

    Liquid. Purified antibody supplied in 1x PBS buffer with 0.09 % (w/v) sodium azide and 2 % sucrose.

    Preservative

    Sodium azide

    Precaution of Use

    This product contains Sodium azide: a POISONOUS AND HAZARDOUS SUBSTANCE which should be handled by trained staff only.

    Handling Advice

    Avoid repeated freeze-thaw cycles.

    Storage

    -20 °C

    Storage Comment

    For short term use, store at 2-8°C up to 1 week. For long term storage, store at -20°C in small aliquots to prevent freeze-thaw cycles.
  • Target

    DDX17 (DEAD (Asp-Glu-Ala-Asp) Box Polypeptide 17 (DDX17))

    Alternative Name

    DDX17

    Background

    DEAD box proteins, characterized by the conserved motif Asp-Glu-Ala-Asp (DEAD), are putative RNA helicases. They are implicated in a number of cellular processes involving alteration of RNA secondary structure such as translation initiation, nuclear and mitochondrial splicing, and ribosome and splicesosome assembly. Based on their distribution patterns, some members of this family are believed to be involved in embryogenesis, spermatogenesis, and cellular growth and division. The DEAD box protein is an ATPase activated by a variety of RNA species but not by dsDNA. This protein and that encoded by DDX5 gene are more closely related to each other than to any other member of the DEAD box family.
    Alias Symbols: P72, RH70
    Protein Interaction Partner: BYSL, GRB2, RBM15, CEP250, UBC, SUMO2, SUMO3, SPRTN, STAU1, CDC37, IVNS1ABP, SUMO1, LGR4, MDM2, NEDD8, RPA3, RPA2, RPA1, WWOX, EED, rev, P3H1, LSM1, PRPSAP1, PIN1, DDX5, APBB1, PARK2, FBXO6, TARDBP, WBP11, SF1, UBD, IGSF8, ICAM1, CD81, SF3B4, WHSC1, VCAM1
    Protein Size: 547

    Molecular Weight

    60 kDa

    Gene ID

    10521

    NCBI Accession

    NM_001098504

    UniProt

    Q92841

    Pathways

    Intracellular Steroid Hormone Receptor Signaling Pathway, Regulation of Intracellular Steroid Hormone Receptor Signaling, Regulation of Muscle Cell Differentiation
You are here:
Chat with us!