Phone:
+1 877 302 8632
Fax:
+1 888 205 9894 (Toll-free)
E-Mail:
orders@antibodies-online.com

DDX47 antibody (C-Term)

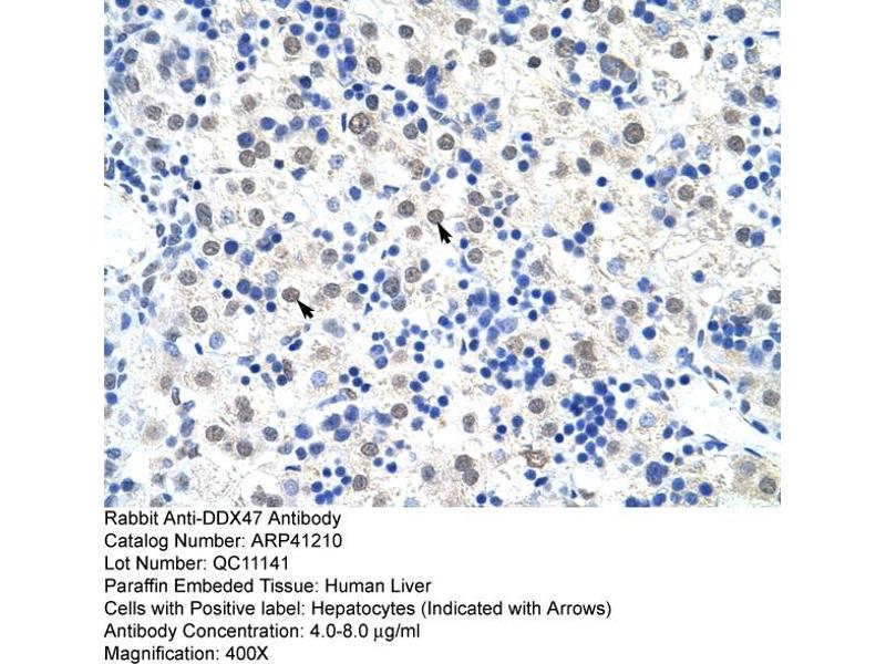
This Rabbit Polyclonal antibody specifically detects DDX47 in WB and IHC. It exhibits reactivity toward Human, Mouse, Rat, Dog, Rabbit, Horse, Guinea Pig, Cow and Saccharomyces cerevisiae.It has been mentioned in 1 publication
Catalog No. ABIN2776687
$429.69
Plus shipping costs $50.00
Shipping to: United States
Delivery in 2 to 4 Business Days

Quick Overview for DDX47 antibody (C-Term) (ABIN2776687)

Target

See all DDX47 Antibodies
DDX47 (DEAD (Asp-Glu-Ala-Asp) Box Polypeptide 47 (DDX47))

Reactivity

  • 27
  • 16
  • 6
  • 6
  • 6
  • 6
  • 5
  • 3
  • 3
  • 2
  • 2
  • 2
  • 1
  • 1
  • 1
Human, Mouse, Rat, Dog, Rabbit, Horse, Guinea Pig, Cow, Saccharomyces cerevisiae

Host

  • 24
  • 3
Rabbit

Clonality

  • 26
  • 1
Polyclonal

Conjugate

  • 19
  • 2
  • 2
  • 2
  • 1
  • 1
This DDX47 antibody is un-conjugated

Application

  • 24
  • 11
  • 8
  • 3
  • 2
  • 2
  • 1
Western Blotting (WB), Immunohistochemistry (IHC)
  • Binding Specificity

    • 7
    • 4
    • 4
    • 3
    • 2
    • 1
    • 1
    • 1
    • 1
    • 1
    C-Term

    Sequence

    AQRFARMELR EHGEKKKRSR EDAGDNDDTE GAIGVRNKVA GGKMKKRKGR

    Predicted Reactivity

    Cow: 93%, Dog: 93%, Guinea Pig: 100%, Horse: 86%, Human: 100%, Mouse: 79%, Rabbit: 86%, Rat: 93%, Yeast: 75%

    Characteristics

    This is a rabbit polyclonal antibody against DDX47. It was validated on Western Blot and immunohistochemistry.

    Purification

    Protein A purified

    Immunogen

    The immunogen is a synthetic peptide directed towards the C terminal region of human DDX47
  • Application Notes

    Optimal working dilutions should be determined experimentally by the investigator.

    Comment

    Antigen size: 455 AA

    Restrictions

    For Research Use only
  • Format

    Liquid

    Concentration

    Lot specific

    Buffer

    Liquid. Purified antibody supplied in 1x PBS buffer with 0.09 % (w/v) sodium azide and 2 % sucrose.

    Preservative

    Sodium azide

    Precaution of Use

    This product contains Sodium azide: a POISONOUS AND HAZARDOUS SUBSTANCE which should be handled by trained staff only.

    Handling Advice

    Avoid repeated freeze-thaw cycles.

    Storage

    -20 °C

    Storage Comment

    For short term use, store at 2-8°C up to 1 week. For long term storage, store at -20°C in small aliquots to prevent freeze-thaw cycles.
  • Huang, Chien, Huang, Ni, Chang, Ho, Lee, Hwu: "Viral infections and prolonged fever after liver transplantation in young children with inborn errors of metabolism." in: Journal of the Formosan Medical Association = Taiwan yi zhi, Vol. 104, Issue 9, pp. 623-9, (2005) (PubMed).

  • Target

    DDX47 (DEAD (Asp-Glu-Ala-Asp) Box Polypeptide 47 (DDX47))

    Alternative Name

    DDX47

    Background

    DDX47 encodes a member of the DEAD box protein family. DEAD box proteins, characterized by the conserved motif Asp-Glu-Ala-Asp (DEAD), are putative RNA helicases. They are implicated in a number of cellular processes involving alteration of RNA secondary structure, such as translation initiation, nuclear and mitochondrial splicing, and ribosome and spliceosome assembly. Based on their distribution patterns, some members of this family are believed to be involved in embryogenesis, spermatogenesis, and cellular growth and division. The protein encoded by this gene can shuttle between the nucleus and the cytoplasm, and has an RNA-independent ATPase activity. Two alternatively spliced transcript variants encoding distinct isoforms have been found for this gene.This gene encodes a member of the DEAD box protein family. DEAD box proteins, characterized by the conserved motif Asp-Glu-Ala-Asp (DEAD), are putative RNA helicases. They are implicated in a number of cellular processes involving alteration of RNA secondary structure, such as translation initiation, nuclear and mitochondrial splicing, and ribosome and spliceosome assembly. Based on their distribution patterns, some members of this family are believed to be involved in embryogenesis, spermatogenesis, and cellular growth and division. The protein encoded by this gene can shuttle between the nucleus and the cytoplasm, and has an RNA-independent ATPase activity. Two alternatively spliced transcript variants encoding distinct isoforms have been found for this gene.
    Alias Symbols: RRP3, E4-DBP, HQ0256, MSTP162
    Protein Interaction Partner: UBC, EED, rev, PARK2, SRPK1, MLH1, KRAS, FN1, APP, EXOSC4, CAND1, PRNP, SUMO1, HDGF, SUMO2, HDAC5, SART3, Rrp1b,
    Protein Size: 455

    Molecular Weight

    50 kDa

    Gene ID

    51202

    NCBI Accession

    NM_016355, NP_057439

    UniProt

    Q9H0S4
You are here:
Chat with us!