Phone:
+1 877 302 8632
Fax:
+1 888 205 9894 (Toll-free)
E-Mail:
orders@antibodies-online.com

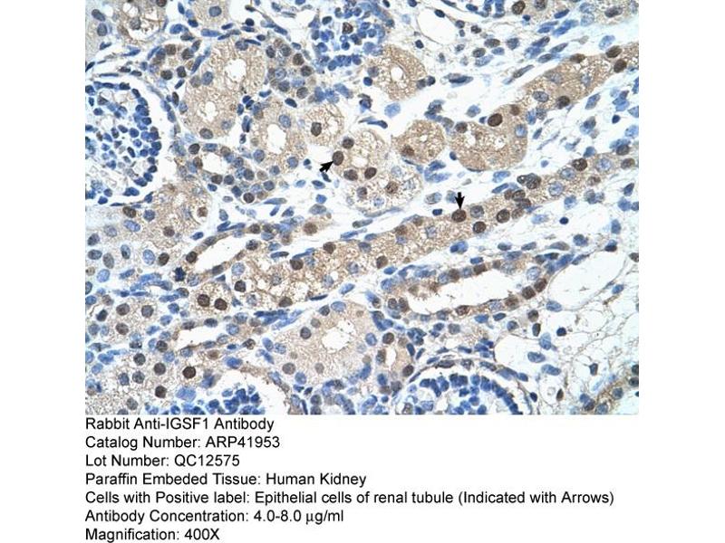
IGSF1 antibody (N-Term)

The Rabbit Polyclonal anti-IGSF1 antibody is suitable to detect IGSF1 in samples from Human, Mouse, Rat, Rabbit, Dog, Guinea Pig, Horse, Cow and Sheep. It has been validated for WB and IHC.
Catalog No. ABIN2777082
$429.69
Plus shipping costs $50.00
Shipping to: United States
Delivery in 2 to 4 Business Days

Quick Overview for IGSF1 antibody (N-Term) (ABIN2777082)

Target

See all IGSF1 (INHBP) Antibodies
IGSF1 (INHBP) (Inhibin Binding Protein (INHBP))

Reactivity

  • 45
  • 33
  • 27
  • 7
  • 6
  • 5
  • 4
  • 4
  • 4
  • 2
  • 1
Human, Mouse, Rat, Rabbit, Dog, Guinea Pig, Horse, Cow, Sheep

Host

  • 41
  • 4
Rabbit

Clonality

  • 41
  • 4
Polyclonal

Conjugate

  • 22
  • 2
  • 2
  • 2
  • 2
  • 1
  • 1
  • 1
  • 1
  • 1
  • 1
  • 1
  • 1
  • 1
  • 1
  • 1
  • 1
  • 1
  • 1
  • 1
This IGSF1 antibody is un-conjugated

Application

  • 42
  • 13
  • 13
  • 11
  • 7
  • 3
  • 2
  • 1
  • 1
Western Blotting (WB), Immunohistochemistry (IHC)
  • Binding Specificity

    • 8
    • 5
    • 2
    • 2
    • 2
    • 2
    • 1
    • 1
    • 1
    • 1
    • 1
    N-Term

    Sequence

    LCHGWLQDLV FMLFKEGYAE PVDYQVPTGT MAIFSIDNLT PEDEGVYICR

    Predicted Reactivity

    Cow: 100%, Dog: 93%, Guinea Pig: 100%, Horse: 100%, Human: 100%, Mouse: 93%, Rabbit: 100%, Rat: 86%, Sheep: 93%

    Characteristics

    This is a rabbit polyclonal antibody against IGSF1. It was validated on Western Blot and immunohistochemistry.

    Purification

    Protein A purified

    Immunogen

    The immunogen is a synthetic peptide directed towards the N terminal region of human IGSF1
  • Application Notes

    Optimal working dilutions should be determined experimentally by the investigator.

    Comment

    Antigen size: 242 AA

    Restrictions

    For Research Use only
  • Format

    Liquid

    Concentration

    Lot specific

    Buffer

    Liquid. Purified antibody supplied in 1x PBS buffer with 0.09 % (w/v) sodium azide and 2 % sucrose.

    Preservative

    Sodium azide

    Precaution of Use

    This product contains Sodium azide: a POISONOUS AND HAZARDOUS SUBSTANCE which should be handled by trained staff only.

    Handling Advice

    Avoid repeated freeze-thaw cycles.

    Storage

    -20 °C

    Storage Comment

    For short term use, store at 2-8°C up to 1 week. For long term storage, store at -20°C in small aliquots to prevent freeze-thaw cycles.
  • Target

    IGSF1 (INHBP) (Inhibin Binding Protein (INHBP))

    Alternative Name

    IGSF1

    Background

    Members of the immunoglobulin (Ig) superfamily, which includes IGSF1, have a variety of functions, but all appear to play a role in cell recognition and the regulation of cell behavior.Members of the immunoglobulin (Ig) superfamily (see MIM 147100), which includes IGSF1, have a variety of functions, but all appear to play a role in cell recognition and the regulation of cell behavior.[supplied by OMIM].
    Alias Symbols: IGCD1, IGDC1, INHBP, KIAA0364, MGC75490, PGSF2, p120
    Protein Interaction Partner: RANBP10, HECTD1, INHBB, INHBA, IGSF1, BMPR1B, BMPR1A, ACVRL1, ACVR2B, ACVR2A, ACVR1B, ACVR1, IGF1,
    Protein Size: 242

    Molecular Weight

    27 kDa

    Gene ID

    3547

    NCBI Accession

    NM_205833, NP_991402

    UniProt

    Q8N6C5
You are here:
Chat with us!