FAM164A antibody (C-Term)
Quick Overview for FAM164A antibody (C-Term) (ABIN2777564)
Target
Reactivity
Host
Clonality
Conjugate
Application
-
-
Binding Specificity
- C-Term
-
Sequence
- AAPHAGANVK PRNSTPPSLA RNPAPGVLTN KRKTYTESYI ARPDGDCASS
-
Predicted Reactivity
- Cow: 83%, Horse: 77%, Human: 100%, Rabbit: 83%, Rat: 91%
-
Characteristics
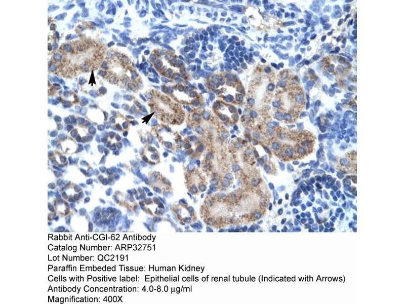
- This is a rabbit polyclonal antibody against CGI-62. It was validated on Western Blot and immunohistochemistry.
-
Purification
- Protein A purified
-
Immunogen
- The immunogen is a synthetic peptide directed towards the C terminal region of human CGI-62
-
-
-
-
Application Notes
- Optimal working dilutions should be determined experimentally by the investigator.
-
Comment
-
Antigen size: 325 AA
-
Restrictions
- For Research Use only
-
-
-
Format
- Liquid
-
Concentration
- Lot specific
-
Buffer
- Liquid. Purified antibody supplied in 1x PBS buffer with 0.09 % (w/v) sodium azide and 2 % sucrose.
-
Preservative
- Sodium azide
-
Precaution of Use
- This product contains Sodium azide: a POISONOUS AND HAZARDOUS SUBSTANCE which should be handled by trained staff only.
-
Handling Advice
- Avoid repeated freeze-thaw cycles.
-
Storage
- -20 °C
-
Storage Comment
- For short term use, store at 2-8°C up to 1 week. For long term storage, store at -20°C in small aliquots to prevent freeze-thaw cycles.
-
-
- FAM164A (Family with Sequence Similarity 164, Member A (FAM164A))
-
Alternative Name
- CGI-62
-
Background
-
The CGI-62 gene encodes a hypothetical protein located on chromosome 8.
Alias Symbols: CGI-62, C8orf70, FAM164A
Protein Interaction Partner: GATSL3, SP100, LASP1, UBC, APP, ELAVL1,
Protein Size: 325 -
Molecular Weight
- 35 kDa
-
Gene ID
- 51101
-
NCBI Accession
- NM_016010, NP_057094
-
UniProt
- Q9Y372
Target
-