Phone:
+1 877 302 8632
Fax:
+1 888 205 9894 (Toll-free)
E-Mail:
orders@antibodies-online.com

Claudin 17 antibody (Middle Region)

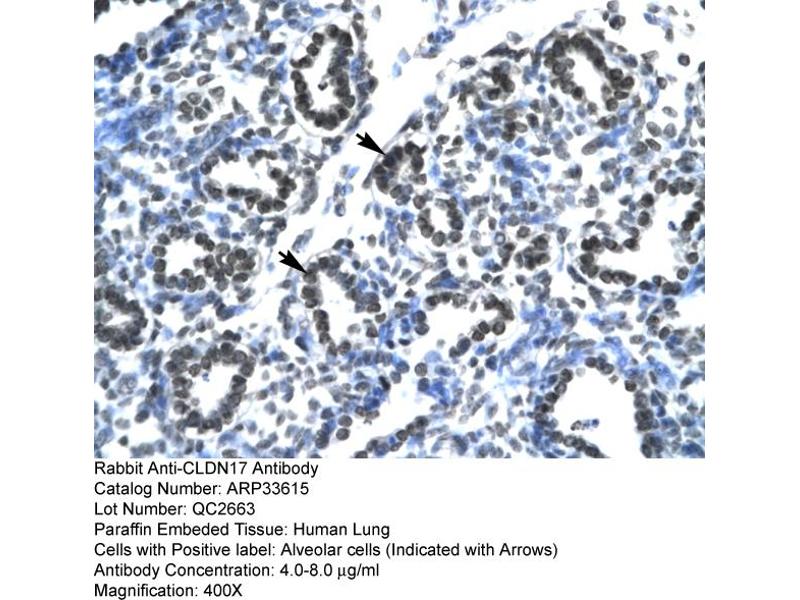
There is 1 publication for this product available. The Rabbit Polyclonal anti-Claudin 17 antibody is suitable to detect Claudin 17 in samples from Human, Mouse, Rat, Dog, Cow, Pig, Horse, Sheep, Guinea Pig and Rabbit. It has been validated for WB and IHC.
Catalog No. ABIN2778040
$429.69
Plus shipping costs $50.00
Shipping to: United States
Delivery in 2 to 4 Business Days

Quick Overview for Claudin 17 antibody (Middle Region) (ABIN2778040)

Target

See all Claudin 17 (CLDN17) Antibodies
Claudin 17 (CLDN17)

Reactivity

Human, Mouse, Rat, Dog, Cow, Pig, Horse, Sheep, Guinea Pig, Rabbit

Host

  • 30
Rabbit

Clonality

  • 30
Polyclonal

Conjugate

  • 9
  • 2
  • 1
  • 1
  • 1
  • 1
  • 1
  • 1
  • 1
  • 1
  • 1
  • 1
  • 1
  • 1
  • 1
  • 1
  • 1
  • 1
  • 1
  • 1
  • 1
This Claudin 17 antibody is un-conjugated

Application

  • 23
  • 13
  • 13
  • 7
  • 5
  • 4
  • 3
  • 1
  • 1
Western Blotting (WB), Immunohistochemistry (IHC)
  • Binding Specificity

    • 15
    • 3
    • 1
    • 1
    • 1
    Middle Region

    Sequence

    KQVQCTGSNE RAKAYLLGTS GVLFILTGIF VLIPVSWTAN IIIRDFYNPA

    Predicted Reactivity

    Cow: 85%, Dog: 100%, Guinea Pig: 92%, Horse: 100%, Human: 100%, Mouse: 100%, Pig: 100%, Rabbit: 92%, Rat: 100%, Sheep: 85%

    Characteristics

    This is a rabbit polyclonal antibody against CLDN17. It was validated on Western Blot and immunohistochemistry.

    Purification

    Protein A purified

    Immunogen

    The immunogen is a synthetic peptide directed towards the middle region of human CLDN17
  • Application Notes

    Optimal working dilutions should be determined experimentally by the investigator.

    Comment

    Antigen size: 224 AA

    Restrictions

    For Research Use only
  • Format

    Liquid

    Concentration

    Lot specific

    Buffer

    Liquid. Purified antibody supplied in 1x PBS buffer with 0.09 % (w/v) sodium azide and 2 % sucrose.

    Preservative

    Sodium azide

    Precaution of Use

    This product contains Sodium azide: a POISONOUS AND HAZARDOUS SUBSTANCE which should be handled by trained staff only.

    Handling Advice

    Avoid repeated freeze-thaw cycles.

    Storage

    -20 °C

    Storage Comment

    For short term use, store at 2-8°C up to 1 week. For long term storage, store at -20°C in small aliquots to prevent freeze-thaw cycles.
  • Michlig, Damak, Le Coutre: "Claudin-based permeability barriers in taste buds." in: The Journal of comparative neurology, Vol. 502, Issue 6, pp. 1003-11, (2007) (PubMed).

  • Target

    Claudin 17 (CLDN17)

    Alternative Name

    CLDN17

    Background

    CLDN17, clustered with CLDN8 at human chromosome 21q22.11, is a four-transmembrane protein with WWCC motif, defined by W-X(17-22)-W-X(2)-C-X(8-10)-C.
    Protein Interaction Partner: LNX1,
    Protein Size: 224

    Molecular Weight

    25 kDa

    Gene ID

    26285

    NCBI Accession

    NM_012131, NP_036263

    UniProt

    P56750

    Pathways

    Cell-Cell Junction Organization, Hepatitis C
You are here:
Chat with us!