Phone:
+1 877 302 8632
Fax:
+1 888 205 9894 (Toll-free)
E-Mail:
orders@antibodies-online.com

FABP3 antibody (N-Term)

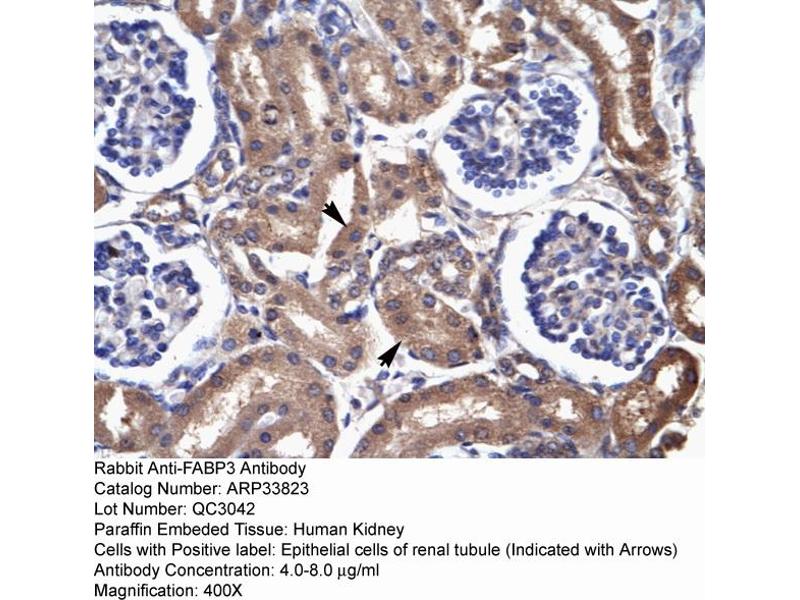
There is 1 publication for this product available. The Rabbit Polyclonal anti-FABP3 antibody is suitable to detect FABP3 in samples from Human, Rat, Horse and Rabbit. It has been validated for WB and IHC.
Catalog No. ABIN2778143
$429.69
Plus shipping costs $50.00
Shipping to: United States
Delivery in 2 to 4 Business Days

Quick Overview for FABP3 antibody (N-Term) (ABIN2778143)

Target

See all FABP3 Antibodies
FABP3 (Fatty Acid Binding Protein 3, Muscle and Heart (FABP3))

Reactivity

  • 121
  • 75
  • 50
  • 6
  • 4
  • 3
  • 3
  • 2
  • 2
  • 2
  • 1
  • 1
  • 1
Human, Rat, Horse, Rabbit

Host

  • 103
  • 56
  • 1
  • 1
Rabbit

Clonality

  • 94
  • 67
Polyclonal

Conjugate

  • 78
  • 21
  • 12
  • 4
  • 4
  • 4
  • 4
  • 4
  • 4
  • 4
  • 2
  • 2
  • 2
  • 2
  • 1
  • 1
  • 1
  • 1
  • 1
  • 1
  • 1
  • 1
  • 1
  • 1
  • 1
  • 1
  • 1
  • 1
  • 1
This FABP3 antibody is un-conjugated

Application

  • 105
  • 59
  • 41
  • 26
  • 24
  • 13
  • 13
  • 13
  • 11
  • 7
  • 6
  • 5
  • 4
  • 4
  • 2
  • 2
  • 1
  • 1
  • 1
  • 1
  • 1
  • 1
  • 1
  • 1
  • 1
Western Blotting (WB), Immunohistochemistry (IHC)
  • Binding Specificity

    • 32
    • 15
    • 9
    • 4
    • 4
    • 3
    • 2
    • 2
    • 1
    • 1
    • 1
    • 1
    • 1
    • 1
    N-Term

    Sequence

    NGDILTLKTH STFKNTEISF KLGVEFDETT ADDRKVKSIV TLDGGKLVHL

    Predicted Reactivity

    Horse: 77%, Human: 100%, Rabbit: 92%, Rat: 77%

    Characteristics

    This is a rabbit polyclonal antibody against FABP3. It was validated on Western Blot and immunohistochemistry.

    Purification

    Protein A purified

    Immunogen

    The immunogen is a synthetic peptide directed towards the N terminal region of human FABP3
  • Application Notes

    Optimal working dilutions should be determined experimentally by the investigator.

    Comment

    Antigen size: 133 AA

    Restrictions

    For Research Use only
  • Format

    Liquid

    Concentration

    Lot specific

    Buffer

    Liquid. Purified antibody supplied in 1x PBS buffer with 0.09 % (w/v) sodium azide and 2 % sucrose.

    Preservative

    Sodium azide

    Precaution of Use

    This product contains Sodium azide: a POISONOUS AND HAZARDOUS SUBSTANCE which should be handled by trained staff only.

    Handling Advice

    Avoid repeated freeze-thaw cycles.

    Storage

    -20 °C

    Storage Comment

    For short term use, store at 2-8°C up to 1 week. For long term storage, store at -20°C in small aliquots to prevent freeze-thaw cycles.
  • Chen, Zheng, Gao, Ge, Liu: "Heart-type fatty acid binding protein is associated with proteinuria in obesity." in: PLoS ONE, Vol. 7, Issue 9, pp. e45691, (2012) (PubMed).

  • Target

    FABP3 (Fatty Acid Binding Protein 3, Muscle and Heart (FABP3))

    Alternative Name

    FABP3

    Background

    Fatty acid-binding protein 3 (FABP3) gene contains four exons and its function is to arrest growth of mammary epithelial cells. This gene is a candidate tumor suppressor gene for human breast cancer.
    Alias Symbols: MDGI, FABP11, H-FABP, M-FABP, O-FABP
    Protein Interaction Partner: NUP62, KIAA1598, UBC, Xpo1, PLK1, TNNI3K, VPS28,
    Protein Size: 133

    Molecular Weight

    15 kDa

    Gene ID

    2170

    NCBI Accession

    NM_004102, NP_004093

    UniProt

    Q6IBD7

    Pathways

    Monocarboxylic Acid Catabolic Process
You are here:
Chat with us!