Phone:
+1 877 302 8632
Fax:
+1 888 205 9894 (Toll-free)
E-Mail:
orders@antibodies-online.com

MLX antibody (C-Term)

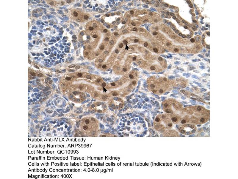
There is 1 publication for this product available. The Rabbit Polyclonal anti-MLX antibody is suitable to detect MLX in samples from Human, Mouse, Rat, Cow, Dog, Pig, Goat, Horse, Rabbit and Zebrafish (Danio rerio). It has been validated for WB and IHC.
Catalog No. ABIN2778546
$483.54
Plus shipping costs $50.00
Shipping to: United States
Delivery in 2 to 4 Business Days

Quick Overview for MLX antibody (C-Term) (ABIN2778546)

Target

See all MLX Antibodies
MLX (MAX-Like Protein X (MLX))

Reactivity

  • 60
  • 23
  • 22
  • 10
  • 8
  • 8
  • 7
  • 7
  • 7
  • 5
  • 5
  • 4
  • 4
  • 2
  • 2
  • 1
Human, Mouse, Rat, Cow, Dog, Pig, Goat, Horse, Rabbit, Zebrafish (Danio rerio)

Host

  • 52
  • 5
  • 3
Rabbit

Clonality

  • 57
  • 3
Polyclonal

Conjugate

  • 30
  • 4
  • 4
  • 3
  • 1
  • 1
  • 1
  • 1
  • 1
  • 1
  • 1
  • 1
  • 1
  • 1
  • 1
  • 1
  • 1
  • 1
  • 1
  • 1
  • 1
  • 1
  • 1
This MLX antibody is un-conjugated

Application

  • 45
  • 22
  • 13
  • 13
  • 10
  • 7
  • 7
  • 4
  • 3
  • 3
  • 1
  • 1
Western Blotting (WB), Immunohistochemistry (IHC)
  • Binding Specificity

    • 15
    • 6
    • 6
    • 4
    • 3
    • 2
    • 2
    • 2
    • 2
    • 1
    • 1
    • 1
    • 1
    • 1
    • 1
    • 1
    • 1
    • 1
    • 1
    C-Term

    Sequence

    LRKDVTALKI MKVNYEQIVK AHQDNPHEGE DQVSDQVKFN VFQGIMDSLF

    Predicted Reactivity

    Cow: 100%, Dog: 100%, Goat: 100%, Horse: 100%, Human: 100%, Mouse: 100%, Pig: 100%, Rabbit: 100%, Rat: 100%, Zebrafish: 85%

    Characteristics

    This is a rabbit polyclonal antibody against MLX. It was validated on Western Blot and immunohistochemistry.

    Purification

    Affinity Purified

    Immunogen

    The immunogen is a synthetic peptide directed towards the C terminal region of human MLX
  • Application Notes

    Optimal working dilutions should be determined experimentally by the investigator.

    Comment

    Antigen size: 298 AA

    Restrictions

    For Research Use only
  • Format

    Liquid

    Concentration

    Lot specific

    Buffer

    Liquid. Purified antibody supplied in 1x PBS buffer with 0.09 % (w/v) sodium azide and 2 % sucrose.

    Preservative

    Sodium azide

    Precaution of Use

    This product contains Sodium azide: a POISONOUS AND HAZARDOUS SUBSTANCE which should be handled by trained staff only.

    Handling Advice

    Avoid repeated freeze-thaw cycles.

    Storage

    -20 °C

    Storage Comment

    For short term use, store at 2-8°C up to 1 week. For long term storage, store at -20°C in small aliquots to prevent freeze-thaw cycles.
  • Stoltzman, Peterson, Breen, Muoio, Billin, Ayer: "Glucose sensing by MondoA:Mlx complexes: a role for hexokinases and direct regulation of thioredoxin-interacting protein expression." in: Proceedings of the National Academy of Sciences of the United States of America, Vol. 105, Issue 19, pp. 6912-7, (2008) (PubMed).

  • Target

    MLX (MAX-Like Protein X (MLX))

    Alternative Name

    MLX

    Background

    MLX belongs to the family of basic helix-loop-helix leucine zipper (bHLH-Zip) transcription factors. These factors form heterodimers with Mad proteins and play a role in proliferation, determination and differentiation. MLX may act to diversify Mad family function by its restricted association with a subset of the Mad family of transcriptional repressors, namely, Mad1 and Mad4.The product of this gene belongs to the family of basic helix-loop-helix leucine zipper (bHLH-Zip) transcription factors. These factors form heterodimers with Mad proteins and play a role in proliferation, determination and differentiation. This gene product may act to diversify Mad family function by its restricted association with a subset of the Mad family of transcriptional repressors, namely, Mad1 and Mad4. Alternatively spliced transcript variants encoding different isoforms have been identified for this gene.
    Alias Symbols: MAD7, MXD7, TCFL4, bHLHd13
    Protein Interaction Partner: ZBTB32, GABARAPL2, RBM39, AES, UBC, SAP30BP, ID3, APP, SUMO1, MLXIPL, MLXIP, MXD4, MNT, MAD1L1, MLX, MXD1,
    Protein Size: 298

    Molecular Weight

    33 kDa

    Gene ID

    6945

    NCBI Accession

    NM_170607, NP_733752

    UniProt

    Q9UH92
You are here:
Chat with us!