Phone:
+1 877 302 8632
Fax:
+1 888 205 9894 (Toll-free)
E-Mail:
orders@antibodies-online.com

HKR1 antibody (C-Term)

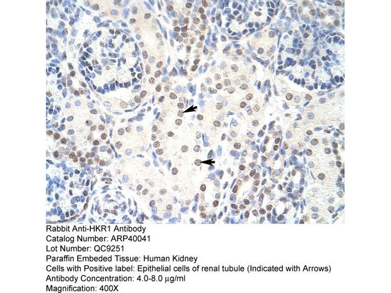
Cited in 1 publication. The Rabbit Polyclonal anti-HKR1 antibody (ABIN2778582) specifically detects HKR1 in WB and IHC. The antibody is reactive with Human, Cow, Horse, Mouse, Rat, Dog, Pig, Rabbit and Guinea Pig samples.
Catalog No. ABIN2778582
$483.54
Plus shipping costs $50.00
Shipping to: United States
Delivery in 2 to 4 Business Days

Quick Overview for HKR1 antibody (C-Term) (ABIN2778582)

Target

See all HKR1 Antibodies
HKR1 (HKR1, GLI-Kruppel Zinc Finger Family Member (HKR1))

Reactivity

  • 30
  • 4
  • 4
  • 4
  • 3
  • 3
  • 2
  • 1
  • 1
  • 1
  • 1
  • 1
Human, Cow, Horse, Mouse, Rat, Dog, Pig, Rabbit, Guinea Pig

Host

  • 29
  • 1
Rabbit

Clonality

  • 29
  • 1
Polyclonal

Conjugate

  • 18
  • 2
  • 1
  • 1
  • 1
  • 1
  • 1
  • 1
  • 1
  • 1
  • 1
  • 1
This HKR1 antibody is un-conjugated

Application

  • 23
  • 11
  • 6
  • 5
  • 2
  • 1
  • 1
Western Blotting (WB), Immunohistochemistry (IHC)
  • Binding Specificity

    • 8
    • 5
    • 2
    • 2
    • 1
    • 1
    • 1
    • 1
    • 1
    • 1
    • 1
    C-Term

    Sequence

    RECGQGFSRQ SHLIRHQRTH SGEKPYICRK CGRGFSRKSN LIRHQRTHSG

    Predicted Reactivity

    Cow: 100%, Dog: 100%, Guinea Pig: 92%, Horse: 100%, Human: 100%, Mouse: 100%, Pig: 100%, Rabbit: 86%, Rat: 100%

    Characteristics

    This is a rabbit polyclonal antibody against HKR1. It was validated on Western Blot and immunohistochemistry.

    Purification

    Affinity Purified

    Immunogen

    The immunogen is a synthetic peptide directed towards the C terminal region of human HKR1
  • Application Notes

    Optimal working dilutions should be determined experimentally by the investigator.

    Comment

    Antigen size: 659 AA

    Restrictions

    For Research Use only
  • Format

    Liquid

    Concentration

    Lot specific

    Buffer

    Liquid. Purified antibody supplied in 1x PBS buffer with 0.09 % (w/v) sodium azide and 2 % sucrose.

    Preservative

    Sodium azide

    Precaution of Use

    This product contains Sodium azide: a POISONOUS AND HAZARDOUS SUBSTANCE which should be handled by trained staff only.

    Handling Advice

    Avoid repeated freeze-thaw cycles.

    Storage

    -20 °C

    Storage Comment

    For short term use, store at 2-8°C up to 1 week. For long term storage, store at -20°C in small aliquots to prevent freeze-thaw cycles.
  • Suzuki, Yoshitomo-Nakagawa, Maruyama, Suyama, Sugano: "Construction and characterization of a full length-enriched and a 5'-end-enriched cDNA library." in: Gene, Vol. 200, Issue 1-2, pp. 149-56, (1997) (PubMed).

  • Target

    HKR1 (HKR1, GLI-Kruppel Zinc Finger Family Member (HKR1))

    Alternative Name

    HKR1

    Background

    HKR1 is one of the GLI-Kruppel family of human genes. Members of this family have similar H-C links, i.e., a conserved stretch of 9 amino acids connecting the C-terminal histidine of one finger to the N-terminal cysteine of the next. On the basis of amino acid sequence and intron-exon organization, the genes could be placed into one of two subgroups: the GLI subgroup (with the consensus finger amino acid sequence [Y/F]XCX3GCX3[F/Y]X5LX2HX3-4H[T/S]GEKP) or the Kr subgroup (with the consensus finger amino acid sequence [Y/F]XCX2CX3FX5LX2HXRXHTGEKP).
    Alias Symbols: ZNF875
    Protein Interaction Partner: CDK11A,
    Protein Size: 659

    Molecular Weight

    75 kDa

    Gene ID

    284459

    NCBI Accession

    NM_181786, NP_861451

    UniProt

    Q6PJD0
You are here:
Chat with us!