Phone:
+1 877 302 8632
Fax:
+1 888 205 9894 (Toll-free)
E-Mail:
orders@antibodies-online.com

EHF antibody (N-Term)

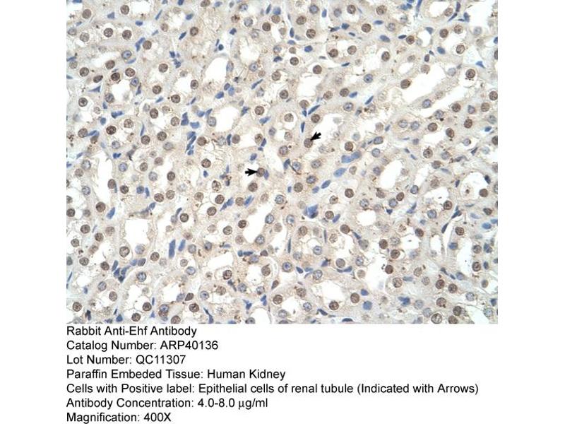
Cited in 1 publication. The Rabbit Polyclonal anti-EHF antibody (ABIN2778625) specifically detects EHF in WB and IHC. The antibody is reactive with Human, Mouse, Rat, Dog, Cow, Rabbit, Horse, Guinea Pig and Sheep samples.
Catalog No. ABIN2778625
$483.54
Plus shipping costs $50.00
Shipping to: United States
Delivery in 2 to 4 Business Days

Quick Overview for EHF antibody (N-Term) (ABIN2778625)

Target

See all EHF Antibodies
EHF (Ets Homologous Factor (EHF))

Reactivity

  • 14
  • 8
  • 4
  • 4
  • 3
  • 3
  • 2
  • 2
  • 1
  • 1
  • 1
  • 1
  • 1
Human, Mouse, Rat, Dog, Cow, Rabbit, Horse, Guinea Pig, Sheep

Host

  • 12
  • 4
Rabbit

Clonality

  • 14
  • 2
Polyclonal

Conjugate

  • 16
This EHF antibody is un-conjugated

Application

  • 14
  • 8
  • 6
  • 3
  • 1
  • 1
Western Blotting (WB), Immunohistochemistry (IHC)
  • Binding Specificity

    • 4
    • 2
    • 1
    • 1
    • 1
    • 1
    • 1
    • 1
    • 1
    N-Term

    Sequence

    SCIPFQEFDI SGEHLCSMSL QEFTRAAGSA GQLLYSNLQH LKWNGQCSSD

    Predicted Reactivity

    Cow: 93%, Dog: 93%, Guinea Pig: 93%, Horse: 93%, Human: 93%, Mouse: 100%, Rabbit: 93%, Rat: 100%, Sheep: 93%

    Characteristics

    This is a rabbit polyclonal antibody against Ehf. It was validated on Western Blot and immunohistochemistry.

    Purification

    Affinity Purified

    Immunogen

    The immunogen is a synthetic peptide directed towards the N terminal region of mouse Ehf
  • Application Notes

    Optimal working dilutions should be determined experimentally by the investigator.

    Comment

    Antigen size: 300 AA

    Restrictions

    For Research Use only
  • Format

    Liquid

    Concentration

    Lot specific

    Buffer

    Liquid. Purified antibody supplied in 1x PBS buffer with 0.09 % (w/v) sodium azide and 2 % sucrose.

    Preservative

    Sodium azide

    Precaution of Use

    This product contains Sodium azide: a POISONOUS AND HAZARDOUS SUBSTANCE which should be handled by trained staff only.

    Handling Advice

    Avoid repeated freeze-thaw cycles.

    Storage

    -20 °C

    Storage Comment

    For short term use, store at 2-8°C up to 1 week. For long term storage, store at -20°C in small aliquots to prevent freeze-thaw cycles.
  • He, Pan, Hu, Albarracin, Wu, Dai: "Profile of Ets gene expression in human breast carcinoma." in: Cancer biology & therapy, Vol. 6, Issue 1, pp. 76-82, (2007) (PubMed).

  • Target

    EHF (Ets Homologous Factor (EHF))

    Alternative Name

    Ehf

    Background

    Ehf is a transcriptional activator that may play a role in regulating epithelial cell differentiation and proliferation. It may act as a repressor for a specific subset of ETS/AP-1-responsive genes, and as a modulator of the nuclear response to mitogen-activated protein kinase signaling cascades. It binds to DNA sequences containing the consensus nucleotide core sequence GGAA and involved in regulation of TNFRSF10B/DR5 expression through Ets-binding sequences on the TNFRSF10B/DR5 promoter
    Alias Symbols: 9030625L19Rik, AU019492
    Protein Interaction Partner: Nfkbiz,
    Protein Size: 300

    Molecular Weight

    33 kDa

    Gene ID

    13661

    NCBI Accession

    NM_007914, NP_031940

    UniProt

    Q9NZC4
You are here:
Chat with us!