Phone:
+1 877 302 8632
Fax:
+1 888 205 9894 (Toll-free)
E-Mail:
orders@antibodies-online.com

DAZ4 antibody (N-Term)

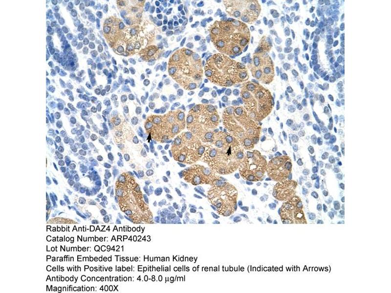
This Rabbit Polyclonal antibody specifically detects DAZ4 in WB and IHC. It exhibits reactivity toward Human, Mouse, Rat, Dog, Cow, Horse, Goat, Guinea Pig, Rabbit and Pig.
Catalog No. ABIN2778697
$483.54
Plus shipping costs $50.00
Shipping to: United States
Delivery in 2 to 4 Business Days

Quick Overview for DAZ4 antibody (N-Term) (ABIN2778697)

Target

See all DAZ4 Antibodies
DAZ4 (Deleted In Azoospermia 4 (DAZ4))

Reactivity

Human, Mouse, Rat, Dog, Cow, Horse, Goat, Guinea Pig, Rabbit, Pig

Host

  • 38
  • 1
Rabbit

Clonality

  • 39
Polyclonal

Conjugate

  • 13
  • 3
  • 2
  • 2
  • 1
  • 1
  • 1
  • 1
  • 1
  • 1
  • 1
  • 1
  • 1
  • 1
  • 1
  • 1
  • 1
  • 1
  • 1
  • 1
  • 1
  • 1
  • 1
This DAZ4 antibody is un-conjugated

Application

  • 31
  • 13
  • 13
  • 13
  • 11
  • 6
  • 3
  • 1
  • 1
Western Blotting (WB), Immunohistochemistry (IHC)
  • Binding Specificity

    • 15
    • 7
    • 2
    • 2
    • 1
    • 1
    • 1
    • 1
    • 1
    N-Term

    Sequence

    MSAANPETPN STISREASTQ SSSAAASQGW VLPEGKIVPN TVFVGGIDAR

    Predicted Reactivity

    Cow: 100%, Dog: 100%, Goat: 93%, Guinea Pig: 93%, Horse: 100%, Human: 100%, Mouse: 100%, Pig: 100%, Rabbit: 92%, Rat: 100%

    Characteristics

    This is a rabbit polyclonal antibody against DAZ4. It was validated on Western Blot and immunohistochemistry.

    Purification

    Affinity Purified

    Immunogen

    The immunogen is a synthetic peptide directed towards the N terminal region of human DAZ4
  • Application Notes

    Optimal working dilutions should be determined experimentally by the investigator.

    Comment

    Antigen size: 331 AA

    Restrictions

    For Research Use only
  • Format

    Liquid

    Concentration

    Lot specific

    Buffer

    Liquid. Purified antibody supplied in 1x PBS buffer with 0.09 % (w/v) sodium azide and 2 % sucrose.

    Preservative

    Sodium azide

    Precaution of Use

    This product contains Sodium azide: a POISONOUS AND HAZARDOUS SUBSTANCE which should be handled by trained staff only.

    Handling Advice

    Avoid repeated freeze-thaw cycles.

    Storage

    -20 °C

    Storage Comment

    For short term use, store at 2-8°C up to 1 week. For long term storage, store at -20°C in small aliquots to prevent freeze-thaw cycles.
  • Target

    DAZ4 (Deleted In Azoospermia 4 (DAZ4))

    Alternative Name

    DAZ4

    Background

    This gene is a member of the DAZ gene family and is a candidate for the human Y-chromosomal azoospermia factor (AZF). This RNA-binding protein is important for spermatogenesis.
    Alias Symbols: pDP1680, pDP1681
    Protein Interaction Partner: UBC, DZIP1, PUM2, DAZL, BOLL, QKI,
    Protein Size: 331

    Molecular Weight

    36 kDa

    Gene ID

    57135

    NCBI Accession

    NM_001005375

    UniProt

    Q86SG3
You are here:
Chat with us!