Phone:
+1 877 302 8632
Fax:
+1 888 205 9894 (Toll-free)
E-Mail:
orders@antibodies-online.com

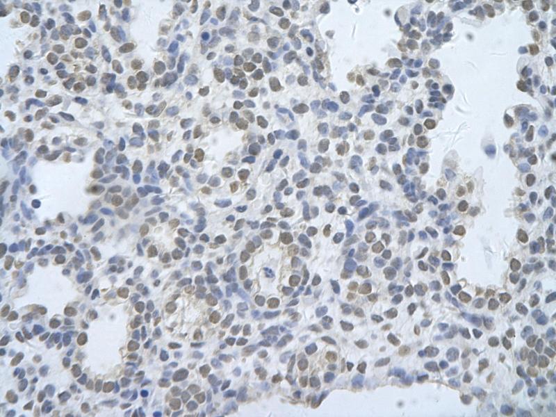
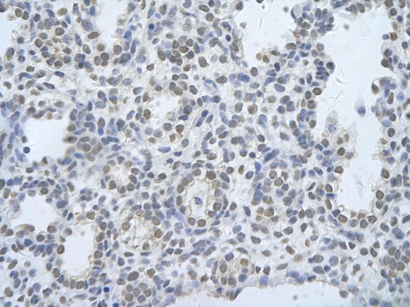
CELF2 antibody (N-Term)

The Rabbit Polyclonal anti-CELF2 antibody (ABIN2778745) specifically detects CELF2 in WB and IHC. The antibody is reactive with Human, Mouse, Rat, Zebrafish (Danio rerio), Cow, Dog, Guinea Pig, Horse and Rabbit samples.
Catalog No. ABIN2778745
$429.69
Plus shipping costs $50.00
Shipping to: United States
Delivery in 2 to 4 Business Days

Quick Overview for CELF2 antibody (N-Term) (ABIN2778745)

Target

See all CELF2 Antibodies
CELF2 (CUGBP, Elav-Like Family Member 2 (CELF2))

Reactivity

  • 47
  • 18
  • 16
  • 5
  • 4
  • 2
  • 2
  • 2
  • 2
  • 2
  • 2
  • 2
  • 2
Human, Mouse, Rat, Zebrafish (Danio rerio), Cow, Dog, Guinea Pig, Horse, Rabbit

Host

  • 45
  • 2
Rabbit

Clonality

  • 35
  • 12
Polyclonal

Conjugate

  • 23
  • 3
  • 3
  • 2
  • 2
  • 2
  • 2
  • 2
  • 2
  • 2
  • 1
  • 1
  • 1
  • 1
This CELF2 antibody is un-conjugated

Application

  • 34
  • 16
  • 14
  • 11
  • 11
  • 4
  • 4
  • 2
  • 1
Western Blotting (WB), Immunohistochemistry (IHC)
  • Binding Specificity

    • 8
    • 5
    • 5
    • 2
    • 1
    • 1
    • 1
    • 1
    • 1
    • 1
    N-Term

    Sequence

    VYQINVLRDR SQNPPQSKGC CFVTFYTRKA ALEAQNALHN IKTLPGMHHP

    Predicted Reactivity

    Cow: 100%, Dog: 100%, Guinea Pig: 100%, Horse: 100%, Human: 100%, Mouse: 100%, Rabbit: 100%, Rat: 100%, Zebrafish: 100%

    Characteristics

    This is a rabbit polyclonal antibody against CUGBP2. It was validated on Western Blot and immunohistochemistry.

    Purification

    Protein A purified

    Immunogen

    The immunogen is a synthetic peptide directed towards the N terminal region of human CUGBP2
  • Application Notes

    Optimal working dilutions should be determined experimentally by the investigator.

    Comment

    Antigen size: 509 AA

    Restrictions

    For Research Use only
  • Format

    Liquid

    Concentration

    Lot specific

    Buffer

    Liquid. Purified antibody supplied in 1x PBS buffer with 0.09 % (w/v) sodium azide and 2 % sucrose.

    Preservative

    Sodium azide

    Precaution of Use

    This product contains Sodium azide: a POISONOUS AND HAZARDOUS SUBSTANCE which should be handled by trained staff only.

    Handling Advice

    Avoid repeated freeze-thaw cycles.

    Storage

    -20 °C

    Storage Comment

    For short term use, store at 2-8°C up to 1 week. For long term storage, store at -20°C in small aliquots to prevent freeze-thaw cycles.
  • Target

    CELF2 (CUGBP, Elav-Like Family Member 2 (CELF2))

    Alternative Name

    CUGBP2

    Background

    Members of the CELF/BRUNOL protein family contain two N-terminal RNA recognition motif (RRM) domains, one C-terminal RRM domain, and a divergent segment of 160-230 aa between the second and third RRM domains. Members of this protein family regulate pre-mRNA alternative splicing and may also be involved in mRNA editing, and translation.Members of the CELF/BRUNOL protein family contain two N-terminal RNA recognition motif (RRM) domains, one C-terminal RRM domain, and a divergent segment of 160-230 aa between the second and third RRM domains. Members of this protein family regulate pre-mRNA alternative splicing and may also be involved in mRNA editing, and translation. Alternative splicing results in multiple transcript variants encoding different isoforms.
    Alias Symbols: ETR3, ETR-3, NAPOR, CUGBP2, BRUNOL3
    Protein Interaction Partner: PTGS2, ELAVL1, UBC, FN1, APP, PCBP1, A1CF, APOBEC1, Apob,
    Protein Size: 509

    Molecular Weight

    56 kDa

    Gene ID

    10659

    NCBI Accession

    NM_006561, NP_006552

    UniProt

    Q96RQ6

    Pathways

    Ribonucleoprotein Complex Subunit Organization
You are here:
Chat with us!