Phone:
+1 877 302 8632
Fax:
+1 888 205 9894 (Toll-free)
E-Mail:
orders@antibodies-online.com

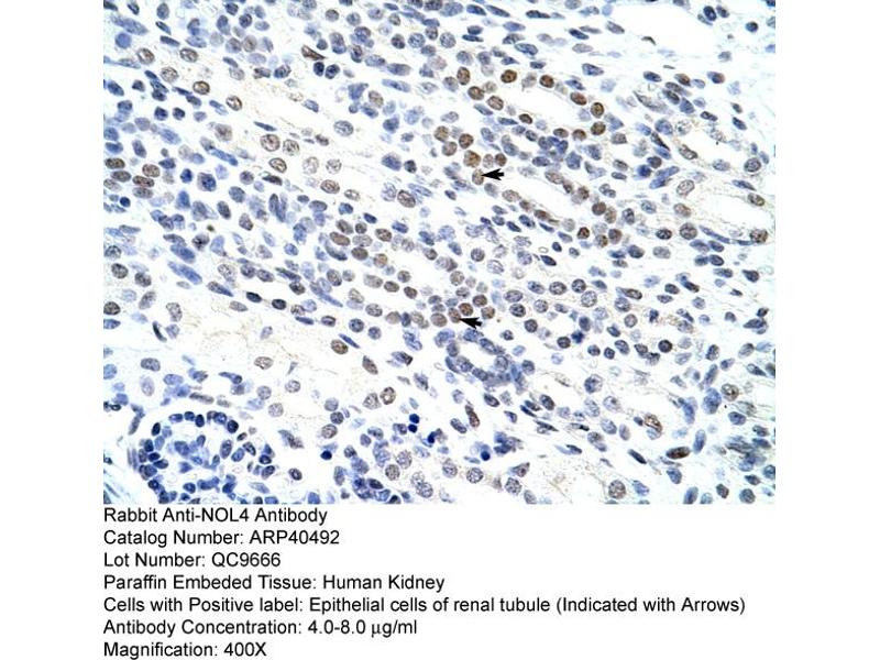
NOL4 antibody (N-Term)

This Rabbit Polyclonal antibody specifically detects NOL4 in WB and IHC. It exhibits reactivity toward Human, Mouse, Rat, Cow, Dog, Guinea Pig, Horse and Rabbit.
Catalog No. ABIN2778870
$483.54
Plus shipping costs $50.00
Shipping to: United States
Delivery in 2 to 4 Business Days

Quick Overview for NOL4 antibody (N-Term) (ABIN2778870)

Target

See all NOL4 Antibodies
NOL4 (Nucleolar Protein 4 (NOL4))

Reactivity

Human, Mouse, Rat, Cow, Dog, Guinea Pig, Horse, Rabbit

Host

  • 15
  • 1
Rabbit

Clonality

  • 15
  • 1
Polyclonal

Conjugate

  • 11
  • 1
  • 1
  • 1
  • 1
  • 1
This NOL4 antibody is un-conjugated

Application

  • 16
  • 11
  • 3
  • 2
  • 1
Western Blotting (WB), Immunohistochemistry (IHC)
  • Binding Specificity

    • 8
    • 2
    • 1
    • 1
    • 1
    • 1
    • 1
    • 1
    N-Term

    Sequence

    SSNLEERMQS PQNLHGQQDD DSAAESFNGN ETLGHSSIAS GGTHSREMGD

    Predicted Reactivity

    Cow: 93%, Dog: 93%, Guinea Pig: 93%, Horse: 93%, Human: 100%, Mouse: 86%, Rabbit: 93%, Rat: 93%

    Characteristics

    This is a rabbit polyclonal antibody against NOL4. It was validated on Western Blot and immunohistochemistry.

    Purification

    Affinity Purified

    Immunogen

    The immunogen is a synthetic peptide directed towards the N terminal region of human NOL4
  • Application Notes

    Optimal working dilutions should be determined experimentally by the investigator.

    Comment

    Antigen size: 422 AA

    Restrictions

    For Research Use only
  • Format

    Liquid

    Concentration

    Lot specific

    Buffer

    Liquid. Purified antibody supplied in 1x PBS buffer with 0.09 % (w/v) sodium azide and 2 % sucrose.

    Preservative

    Sodium azide

    Precaution of Use

    This product contains Sodium azide: a POISONOUS AND HAZARDOUS SUBSTANCE which should be handled by trained staff only.

    Handling Advice

    Avoid repeated freeze-thaw cycles.

    Storage

    -20 °C

    Storage Comment

    For short term use, store at 2-8°C up to 1 week. For long term storage, store at -20°C in small aliquots to prevent freeze-thaw cycles.
  • Target

    NOL4 (Nucleolar Protein 4 (NOL4))

    Alternative Name

    NOL4

    Background

    WNT9B is a member of the WNT family. They are secreted signaling proteins. These proteins have been implicated in oncogenesis and in several developmental processes, including regulation of cell fate and patterning during embryogenesis.
    Alias Symbols: NOLP, CT125, HRIHFB2255
    Protein Interaction Partner: FAM9B, SNAPC5, CTBP2, CTBP1, CHMP2A, MAPK6, PRMT1, MAGEA11,
    Protein Size: 422

    Molecular Weight

    46 kDa

    Gene ID

    8715

    NCBI Accession

    NM_001198546
You are here:
Chat with us!