Phone:
+1 877 302 8632
Fax:
+1 888 205 9894 (Toll-free)
E-Mail:
orders@antibodies-online.com

PAIP1 antibody (C-Term)

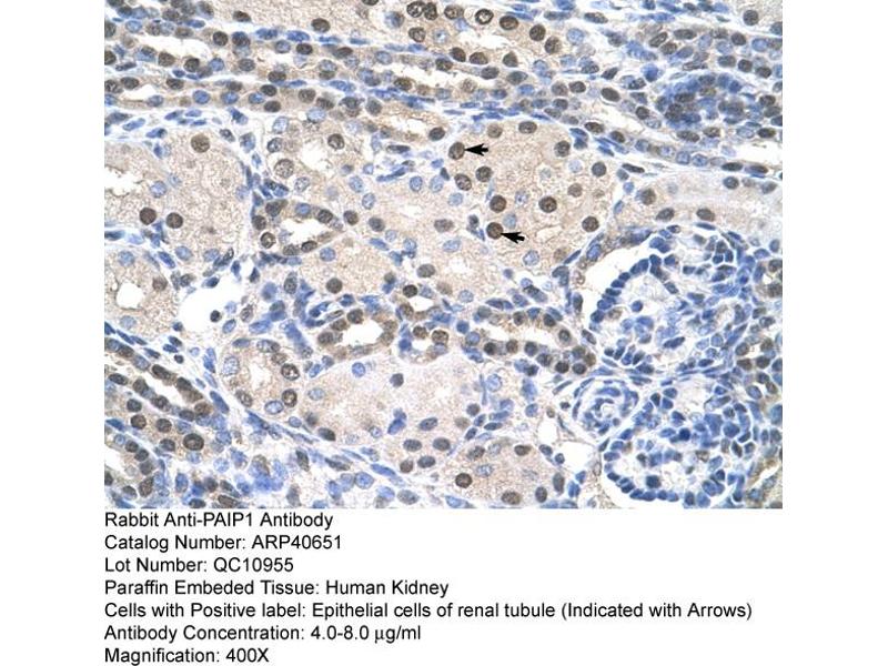
The Rabbit Polyclonal anti-PAIP1 antibody (ABIN2778988) specifically detects PAIP1 in WB and IHC. The antibody is reactive with Human, Mouse, Rat, Cow, Horse, Guinea Pig and Rabbit samples.
Catalog No. ABIN2778988
$429.69
Plus shipping costs $50.00
Shipping to: United States
Delivery in 2 to 4 Business Days

Quick Overview for PAIP1 antibody (C-Term) (ABIN2778988)

Target

See all PAIP1 Antibodies
PAIP1 (Poly(A) Binding Protein Interacting Protein 1 (PAIP1))

Reactivity

  • 40
  • 19
  • 16
  • 5
  • 3
  • 3
  • 3
  • 2
  • 2
  • 2
Human, Mouse, Rat, Cow, Horse, Guinea Pig, Rabbit

Host

  • 37
  • 3
Rabbit

Clonality

  • 27
  • 13
Polyclonal

Conjugate

  • 26
  • 2
  • 1
  • 1
  • 1
  • 1
  • 1
  • 1
  • 1
  • 1
  • 1
  • 1
  • 1
  • 1
This PAIP1 antibody is un-conjugated

Application

  • 38
  • 19
  • 16
  • 11
  • 10
  • 5
  • 2
  • 2
  • 1
Western Blotting (WB), Immunohistochemistry (IHC)
  • Binding Specificity

    • 9
    • 4
    • 3
    • 2
    • 1
    • 1
    • 1
    • 1
    • 1
    C-Term

    Sequence

    EPTFYTSDGV PFTAADPDYQ EKYQELLERE DFFPDYEENG TDLSGAGDPY

    Predicted Reactivity

    Cow: 100%, Guinea Pig: 100%, Horse: 100%, Human: 100%, Mouse: 100%, Rabbit: 100%, Rat: 100%

    Characteristics

    This is a rabbit polyclonal antibody against PAIP1. It was validated on Western Blot and immunohistochemistry.

    Purification

    Protein A purified

    Immunogen

    The immunogen is a synthetic peptide directed towards the C terminal region of human PAIP1
  • Application Notes

    Optimal working dilutions should be determined experimentally by the investigator.

    Comment

    Antigen size: 400 AA

    Restrictions

    For Research Use only
  • Format

    Liquid

    Concentration

    Lot specific

    Buffer

    Liquid. Purified antibody supplied in 1x PBS buffer with 0.09 % (w/v) sodium azide and 2 % sucrose.

    Preservative

    Sodium azide

    Precaution of Use

    This product contains Sodium azide: a POISONOUS AND HAZARDOUS SUBSTANCE which should be handled by trained staff only.

    Handling Advice

    Avoid repeated freeze-thaw cycles.

    Storage

    -20 °C

    Storage Comment

    For short term use, store at 2-8°C up to 1 week. For long term storage, store at -20°C in small aliquots to prevent freeze-thaw cycles.
  • Target

    PAIP1 (Poly(A) Binding Protein Interacting Protein 1 (PAIP1))

    Alternative Name

    PAIP1

    Background

    PAIP1 interacts with poly(A)-binding protein and with the cap-binding complex eIF4A. It is involved in translational initiation and protein biosynthesis. Overexpression of this gene in COS7 cells stimulates translation.The protein encoded by this gene interacts with poly(A)-binding protein and with the cap-binding complex eIF4A. It is involved in translational initiation and protein biosynthesis. Overexpression of this gene in COS7 cells stimulates translation. Alternative splicing occurs at this locus and three transcript variants encoding three distinct isoforms have been identified.
    Protein Interaction Partner: PABPC1, WWP2, UBC, BMI1, PDCD4, ADSL, CBX6, UPF2, NUBP2, CAND1, UBR5, CUL3, SYNCRIP, CSDE1, HNRNPD, USP12, EIF4A1,
    Protein Size: 400

    Molecular Weight

    44 kDa

    Gene ID

    10605

    NCBI Accession

    NM_182789, NP_877590
You are here:
Chat with us!