Phone:
+1 877 302 8632
Fax:
+1 888 205 9894 (Toll-free)
E-Mail:
orders@antibodies-online.com

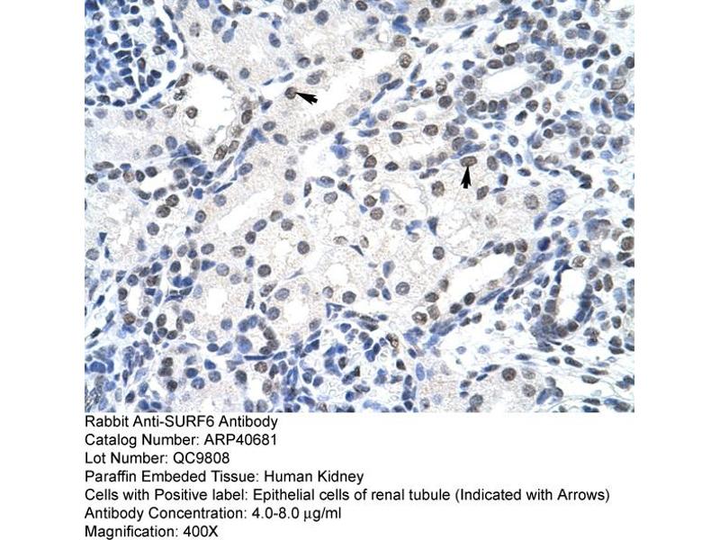
SURF6 antibody (Middle Region)

This Rabbit Polyclonal antibody specifically detects SURF6 in WB and IHC. It exhibits reactivity toward Human, Mouse, Rat, Cow, Guinea Pig and Horse.
Catalog No. ABIN2779007
$429.69
Plus shipping costs $50.00
Shipping to: United States
Delivery in 2 to 4 Business Days

Quick Overview for SURF6 antibody (Middle Region) (ABIN2779007)

Target

See all SURF6 Antibodies
SURF6 (Surfeit 6 (SURF6))

Reactivity

  • 14
  • 3
  • 3
  • 2
  • 1
  • 1
  • 1
  • 1
Human, Mouse, Rat, Cow, Guinea Pig, Horse

Host

  • 13
  • 1
Rabbit

Clonality

  • 14
Polyclonal

Conjugate

  • 9
  • 1
  • 1
  • 1
  • 1
  • 1
This SURF6 antibody is un-conjugated

Application

  • 14
  • 7
  • 2
  • 1
  • 1
  • 1
Western Blotting (WB), Immunohistochemistry (IHC)
  • Binding Specificity

    • 7
    • 3
    • 1
    • 1
    • 1
    • 1
    Middle Region

    Sequence

    EPREPPGLIF NKVEVSEDEP ASKAQRRKEK RQRVKGNLTP LTGRNYRQLL

    Predicted Reactivity

    Cow: 86%, Guinea Pig: 86%, Horse: 100%, Human: 100%, Mouse: 86%, Rat: 93%

    Characteristics

    This is a rabbit polyclonal antibody against SURF6. It was validated on Western Blot and immunohistochemistry.

    Purification

    Protein A purified

    Immunogen

    The immunogen is a synthetic peptide directed towards the middle region of human SURF6
  • Application Notes

    Optimal working dilutions should be determined experimentally by the investigator.

    Comment

    Antigen size: 361 AA

    Restrictions

    For Research Use only
  • Format

    Liquid

    Concentration

    Lot specific

    Buffer

    Liquid. Purified antibody supplied in 1x PBS buffer with 0.09 % (w/v) sodium azide and 2 % sucrose.

    Preservative

    Sodium azide

    Precaution of Use

    This product contains Sodium azide: a POISONOUS AND HAZARDOUS SUBSTANCE which should be handled by trained staff only.

    Handling Advice

    Avoid repeated freeze-thaw cycles.

    Storage

    -20 °C

    Storage Comment

    For short term use, store at 2-8°C up to 1 week. For long term storage, store at -20°C in small aliquots to prevent freeze-thaw cycles.
  • Target

    SURF6 (Surfeit 6 (SURF6))

    Alternative Name

    SURF6

    Background

    This gene is located in the surfeit gene cluster, a group of very tightly linked genes that do not share sequence similarity. The gene demonstrates features of a housekeeping gene, being ubiquitously expressed, and the encoded protein has been localized to the nucleolus. The protein includes motifs found in both the mouse and fish orthologs, which suggests a putative function as a nucleolar-matrix protein with nucleic acid-binding properties, based on characteristics determined in mouse.This gene is located in the surfeit gene cluster, a group of very tightly linked genes that do not share sequence similarity. The gene demonstrates features of a housekeeping gene, being ubiquitously expressed, and the encoded protein has been localized to the nucleolus. The protein includes motifs found in both the mouse and fish orthologs, which suggests a putative function as a nucleolar-matrix protein with nucleic acid-binding properties, based on characteristics determined in mouse.
    Alias Symbols: RRP14
    Protein Interaction Partner: UBC, LIN28A, CSNK2A1, SIRT7,
    Protein Size: 361

    Molecular Weight

    40 kDa

    Gene ID

    6838

    NCBI Accession

    NM_006753, NP_006744

    UniProt

    O75683

    Pathways

    Ribonucleoprotein Complex Subunit Organization, Ribosome Assembly
You are here:
Chat with us!