Phone:
+1 877 302 8632
Fax:
+1 888 205 9894 (Toll-free)
E-Mail:
orders@antibodies-online.com

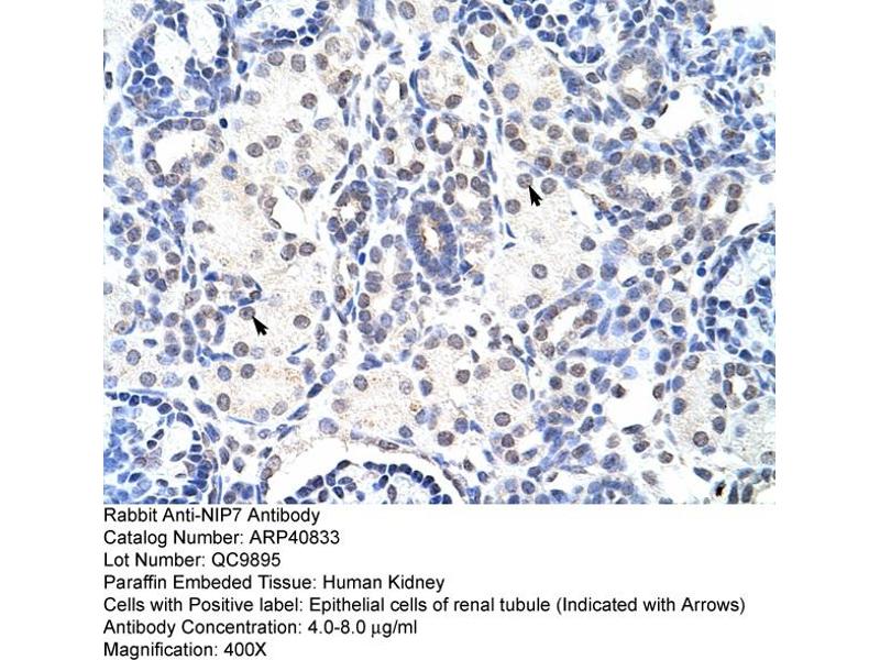
NIP7 antibody (C-Term)

Cited in 1 publication. The Rabbit Polyclonal anti-NIP7 antibody (ABIN2779096) specifically detects NIP7 in WB and IHC. The antibody is reactive with Human, Mouse, Rat, Cow, Dog, Pig, Horse, Rabbit, Zebrafish (Danio rerio), Guinea Pig and Saccharomyces cerevisiae samples.
Catalog No. ABIN2779096
$429.69
Plus shipping costs $50.00
Shipping to: United States
Delivery in 2 to 4 Business Days

Quick Overview for NIP7 antibody (C-Term) (ABIN2779096)

Target

See all NIP7 Antibodies
NIP7 (Nuclear Import 7 Homolog (NIP7))

Reactivity

  • 33
  • 14
  • 7
  • 4
  • 4
  • 4
  • 3
  • 3
  • 2
  • 2
  • 1
  • 1
  • 1
Human, Mouse, Rat, Cow, Dog, Pig, Horse, Rabbit, Zebrafish (Danio rerio), Guinea Pig, Saccharomyces cerevisiae

Host

  • 31
  • 2
Rabbit

Clonality

  • 32
  • 1
Polyclonal

Conjugate

  • 24
  • 3
  • 2
  • 2
  • 1
  • 1
This NIP7 antibody is un-conjugated

Application

  • 27
  • 17
  • 5
  • 5
  • 4
  • 3
  • 2
  • 1
  • 1
Western Blotting (WB), Immunohistochemistry (IHC)
  • Binding Specificity

    • 8
    • 7
    • 5
    • 2
    • 2
    • 1
    • 1
    C-Term

    Sequence

    VVVYSMADIP LGFGVAAKST QDCRKVDPMA IVVFHQADIG EYVRHEETLT

    Predicted Reactivity

    Cow: 100%, Dog: 100%, Guinea Pig: 93%, Horse: 100%, Human: 100%, Mouse: 100%, Pig: 100%, Rabbit: 93%, Rat: 93%, Yeast: 79%, Zebrafish: 79%

    Characteristics

    This is a rabbit polyclonal antibody against NIP7. It was validated on Western Blot and immunohistochemistry.

    Purification

    Protein A purified

    Immunogen

    The immunogen is a synthetic peptide directed towards the C terminal region of human NIP7
  • Application Notes

    Optimal working dilutions should be determined experimentally by the investigator.

    Comment

    Antigen size: 180 AA

    Restrictions

    For Research Use only
  • Format

    Liquid

    Concentration

    Lot specific

    Buffer

    Liquid. Purified antibody supplied in 1x PBS buffer with 0.09 % (w/v) sodium azide and 2 % sucrose.

    Preservative

    Sodium azide

    Precaution of Use

    This product contains Sodium azide: a POISONOUS AND HAZARDOUS SUBSTANCE which should be handled by trained staff only.

    Handling Advice

    Avoid repeated freeze-thaw cycles.

    Storage

    -20 °C

    Storage Comment

    For short term use, store at 2-8°C up to 1 week. For long term storage, store at -20°C in small aliquots to prevent freeze-thaw cycles.
  • Zinzalla, Stracka, Oppliger, Hall: "Activation of mTORC2 by association with the ribosome." in: Cell, Vol. 144, Issue 5, pp. 757-68, (2011) (PubMed).

  • Target

    NIP7 (Nuclear Import 7 Homolog (NIP7))

    Alternative Name

    NIP7

    Background

    NIP7 contains 1PUA domain and belongs to the NIP7 family. It may play a role in 60S ribosomal subunit synthesis.
    Alias Symbols: KD93, CGI-37, HSPC031
    Protein Interaction Partner: LZTS2, NECAB2, NIP7, CRX, SOX2, UBC, ELAVL1, NOL8, ZBED1,
    Protein Size: 180

    Molecular Weight

    20 kDa

    Gene ID

    51388

    NCBI Accession

    NM_016101, NP_057185

    UniProt

    Q9Y221

    Pathways

    Ribonucleoprotein Complex Subunit Organization, Ribosome Assembly
You are here:
Chat with us!