Phone:
+1 877 302 8632
Fax:
+1 888 205 9894 (Toll-free)
E-Mail:
orders@antibodies-online.com

DLX2 antibody (C-Term)

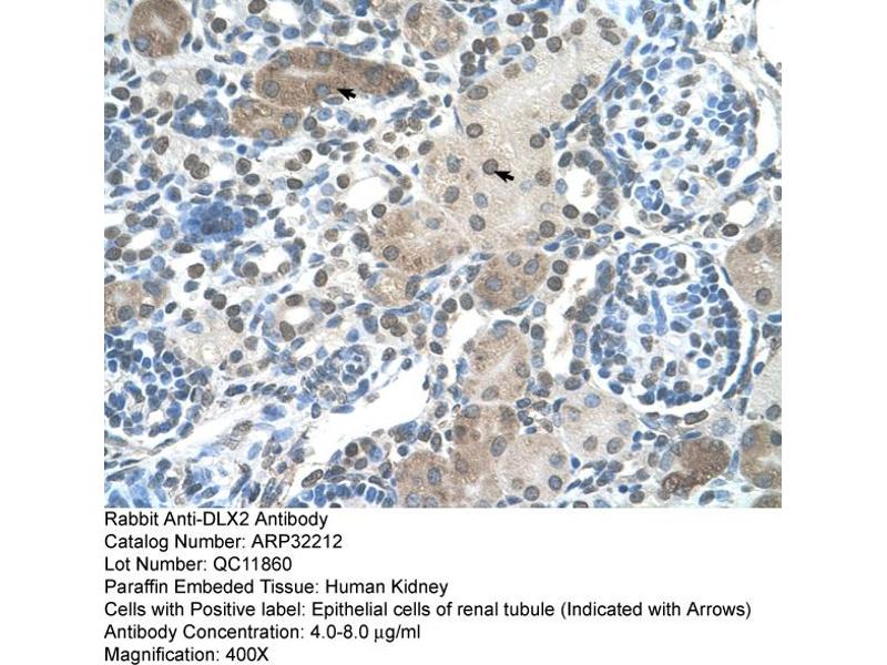
The Rabbit Polyclonal anti-DLX2 antibody (ABIN2779507) specifically detects DLX2 in WB and IHC. The antibody is reactive with Human, Mouse, Rat, Cow, Dog and Guinea Pig samples.
Catalog No. ABIN2779507
$429.69
Plus shipping costs $50.00
Shipping to: United States
Delivery in 2 to 4 Business Days

Quick Overview for DLX2 antibody (C-Term) (ABIN2779507)

Target

See all DLX2 Antibodies
DLX2 (Distal-Less Homeobox Protein 2 (DLX2))

Reactivity

  • 34
  • 16
  • 14
  • 3
  • 3
  • 3
  • 1
  • 1
  • 1
Human, Mouse, Rat, Cow, Dog, Guinea Pig

Host

  • 28
  • 6
  • 1
Rabbit

Clonality

  • 29
  • 6
Polyclonal

Conjugate

  • 23
  • 2
  • 1
  • 1
  • 1
  • 1
  • 1
  • 1
  • 1
  • 1
  • 1
  • 1
This DLX2 antibody is un-conjugated

Application

  • 27
  • 18
  • 9
  • 7
  • 2
  • 2
  • 2
  • 1
  • 1
Western Blotting (WB), Immunohistochemistry (IHC)
  • Binding Specificity

    • 7
    • 2
    • 2
    • 2
    • 2
    • 2
    • 1
    • 1
    • 1
    • 1
    • 1
    C-Term

    Sequence

    PASWDFGVPQ RMAGGGGPGS GGSGAGSSGS SPSSAASAFL GNYPWYHQTS

    Predicted Reactivity

    Cow: 100%, Dog: 100%, Guinea Pig: 100%, Human: 100%, Mouse: 100%, Rat: 100%

    Characteristics

    This is a rabbit polyclonal antibody against DLX2. It was validated on Western Blot and immunohistochemistry.

    Purification

    Protein A purified

    Immunogen

    The immunogen is a synthetic peptide directed towards the C terminal region of human DLX2
  • Application Notes

    Optimal working dilutions should be determined experimentally by the investigator.

    Comment

    Antigen size: 244 AA

    Restrictions

    For Research Use only
  • Format

    Liquid

    Concentration

    Lot specific

    Buffer

    Liquid. Purified antibody supplied in 1x PBS buffer with 0.09 % (w/v) sodium azide and 2 % sucrose.

    Preservative

    Sodium azide

    Precaution of Use

    This product contains Sodium azide: a POISONOUS AND HAZARDOUS SUBSTANCE which should be handled by trained staff only.

    Handling Advice

    Avoid repeated freeze-thaw cycles.

    Storage

    -20 °C

    Storage Comment

    For short term use, store at 2-8°C up to 1 week. For long term storage, store at -20°C in small aliquots to prevent freeze-thaw cycles.
  • Target

    DLX2 (Distal-Less Homeobox Protein 2 (DLX2))

    Alternative Name

    DLX2

    Background

    Many vertebrate homeo box-containing genes have been identified on the basis of their sequence similarity with Drosophila developmental genes. Members of the Dlx gene family contain a homeobox that is related to that of Distal-less (Dll), a gene expressed in the head and limbs of the developing fruit fly. The Distal-less (Dlx) family of genes comprises at least 6 different members, DLX1-DLX6. The DLX proteins are postulated to play a role in forebrain and craniofacial development.
    Alias Symbols: TES-1, TES1
    Protein Interaction Partner: GRN, PARK2, AVP, MVP, BZRAP1, DGCR6, PIK3R1, SUMO3, UBC, NCOA2, DIP2A, MSX2, MSX1, HOXC8, DLX5, DLX2, XRCC6,
    Protein Size: 244

    Molecular Weight

    27 kDa

    Gene ID

    1746

    NCBI Accession

    NM_004405

    UniProt

    Q07687
You are here:
Chat with us!