LONRF1 antibody (N-Term)
Quick Overview for LONRF1 antibody (N-Term) (ABIN2781256)
Target
Reactivity
Host
Clonality
Conjugate
Application
-
-
Binding Specificity
- N-Term
-
Sequence
- MSSPAVARTS PGGSREMAPA PQGRGRFWEV GGGSGHRLER AAAESERWEL
-
Predicted Reactivity
- Human: 100%, Mouse: 86%, Rat: 86%
-
Characteristics
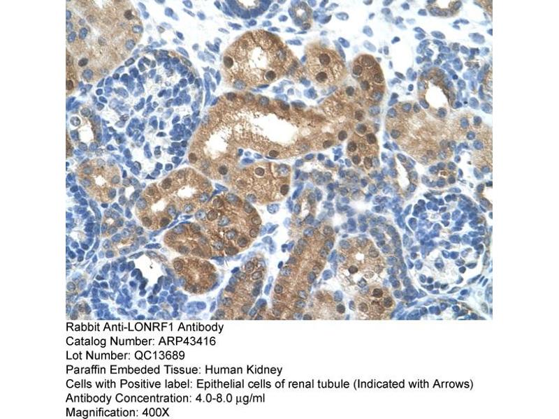
- This is a rabbit polyclonal antibody against LONRF1. It was validated on Western Blot and immunohistochemistry.
-
Purification
- Protein A purified
-
Immunogen
- The immunogen is a synthetic peptide directed towards the N terminal region of human LONRF1
-
-
-
-
Application Notes
- Optimal working dilutions should be determined experimentally by the investigator.
-
Comment
-
Antigen size: 416 AA
-
Restrictions
- For Research Use only
-
-
-
Format
- Liquid
-
Concentration
- Lot specific
-
Buffer
- Liquid. Purified antibody supplied in 1x PBS buffer with 0.09 % (w/v) sodium azide and 2 % sucrose.
-
Preservative
- Sodium azide
-
Precaution of Use
- This product contains Sodium azide: a POISONOUS AND HAZARDOUS SUBSTANCE which should be handled by trained staff only.
-
Handling Advice
- Avoid repeated freeze-thaw cycles.
-
Storage
- -20 °C
-
Storage Comment
- For short term use, store at 2-8°C up to 1 week. For long term storage, store at -20°C in small aliquots to prevent freeze-thaw cycles.
-
-
- LONRF1 (LON Peptidase N-terminal Domain and Ring Finger 1 (LONRF1))
-
Alternative Name
- LONRF1
-
Background
-
The function remains unknown.
Alias Symbols: FLJ23749, RNF191
Protein Interaction Partner: IQCF2, CCDC36, TRIM42, KRTAP13-1, LONRF1, LHX4, EFHC2, ATG9A, GORASP1, WDYHV1, KCTD9, ADAMTSL4, GORASP2, IKZF2, RBPMS, KAT5, SPRY2, CALCOCO2, UBE2L6, STX11, STAU1, PLSCR1, KRT31, NR4A1, SFN, CRX, BYSL, XIAP, ALAS1, BRCA1, USP2, UCHL3, TRIM9,
Protein Size: 416 -
Molecular Weight
- 46 kDa
-
Gene ID
- 91694
-
NCBI Accession
- NM_152271, NP_689484
-
UniProt
- Q17RB8
Target
-