Phone:
+1 877 302 8632
Fax:
+1 888 205 9894 (Toll-free)
E-Mail:
orders@antibodies-online.com

FLJ22167 (N-Term) antibody

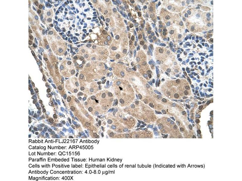
The Rabbit Polyclonal anti-FLJ22167 antibody (ABIN2782095) specifically detects FLJ22167 in WB and IHC. The antibody is reactive with Human, Dog, Mouse, Rat, Cow, Guinea Pig, Horse, Rabbit and Zebrafish (Danio rerio) samples.
Catalog No. ABIN2782095
$429.69
Plus shipping costs $50.00
Shipping to: United States
Delivery in 2 to 4 Business Days

Quick Overview for FLJ22167 (N-Term) antibody (ABIN2782095)

Target

FLJ22167

Reactivity

Human, Dog, Mouse, Rat, Cow, Guinea Pig, Horse, Rabbit, Zebrafish (Danio rerio)

Host

  • 3
  • 1
Rabbit

Clonality

  • 4
Polyclonal

Conjugate

  • 4
Un-conjugated

Application

  • 4
  • 3
  • 1
  • 1
Western Blotting (WB), Immunohistochemistry (IHC)
  • Binding Specificity

    • 1
    • 1
    N-Term

    Sequence

    CHEAPRARSA RAGLPNRLPT ALFNSGFWLK RSSYEEQPTV RFQHQVLLVA

    Predicted Reactivity

    Cow: 100%, Dog: 100%, Guinea Pig: 100%, Horse: 93%, Human: 100%, Mouse: 93%, Rabbit: 100%, Rat: 100%, Zebrafish: 79%

    Characteristics

    This is a rabbit polyclonal antibody against FLJ22167. It was validated on Western Blot and immunohistochemistry.

    Purification

    Protein A purified

    Immunogen

    The immunogen is a synthetic peptide directed towards the N terminal region of human FLJ22167
  • Application Notes

    Optimal working dilutions should be determined experimentally by the investigator.

    Comment

    Antigen size: 316 AA

    Restrictions

    For Research Use only
  • Format

    Liquid

    Concentration

    Lot specific

    Buffer

    Liquid. Purified antibody supplied in 1x PBS buffer with 0.09 % (w/v) sodium azide and 2 % sucrose.

    Preservative

    Sodium azide

    Precaution of Use

    This product contains Sodium azide: a POISONOUS AND HAZARDOUS SUBSTANCE which should be handled by trained staff only.

    Handling Advice

    Avoid repeated freeze-thaw cycles.

    Storage

    -20 °C

    Storage Comment

    For short term use, store at 2-8°C up to 1 week. For long term storage, store at -20°C in small aliquots to prevent freeze-thaw cycles.
  • Target

    FLJ22167

    Background

    The function remains unknown.
    Alias Symbols: ALYE870, PRO1886, FLJ22167
    Protein Interaction Partner: NOTCH2NL, KRT40, UBC, KRT31, FBXO6,
    Protein Size: 316

    Molecular Weight

    36 kDa

    Gene ID

    79583

    NCBI Accession

    NM_001077418, NP_001070886

    UniProt

    Q9H6L2
You are here:
Chat with us!