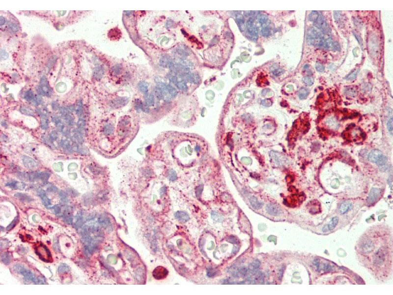
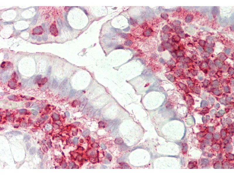
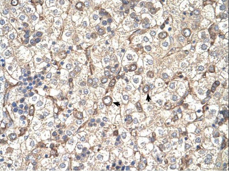
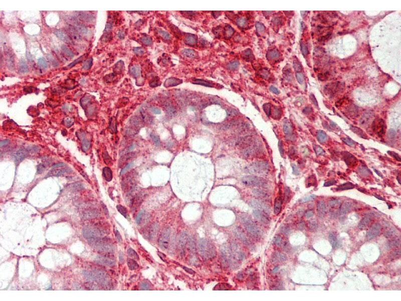
ST3GAL4 antibody (Middle Region)
Quick Overview for ST3GAL4 antibody (Middle Region) (ABIN2782704)
Target
See all ST3GAL4 AntibodiesReactivity
Host
Clonality
Conjugate
Application
-
-
Binding Specificity
- Middle Region
-
Sequence
- FDPKVENNPD TLLVLVAFKA MDFHWIETIL SDKKRVRKGF WKQPPLIWDV
-
Predicted Reactivity
- Cow: 93%, Dog: 100%, Guinea Pig: 86%, Horse: 100%, Human: 100%, Mouse: 100%, Pig: 93%, Rabbit: 93%, Rat: 100%, Sheep: 93%
-
Characteristics
- This is a rabbit polyclonal antibody against ST3GAL4. It was validated on Western Blot and immunohistochemistry.
-
Purification
- Affinity Purified
-
Immunogen
- The immunogen is a synthetic peptide directed towards the middle region of human ST3GAL4
-
-
-
-
Application Notes
- Optimal working dilutions should be determined experimentally by the investigator.
-
Comment
-
Antigen size: 329 AA
-
Restrictions
- For Research Use only
-
-
-
Format
- Liquid
-
Concentration
- Lot specific
-
Buffer
- Liquid. Purified antibody supplied in 1x PBS buffer with 0.09 % (w/v) sodium azide and 2 % sucrose.
-
Preservative
- Sodium azide
-
Precaution of Use
- This product contains Sodium azide: a POISONOUS AND HAZARDOUS SUBSTANCE which should be handled by trained staff only.
-
Handling Advice
- Avoid repeated freeze-thaw cycles.
-
Storage
- -20 °C
-
Storage Comment
- For short term use, store at 2-8°C up to 1 week. For long term storage, store at -20°C in small aliquots to prevent freeze-thaw cycles.
-
-
- ST3GAL4 (ST3 beta-Galactoside alpha-2,3-Sialyltransferase 4 (ST3GAL4))
-
Alternative Name
- ST3GAL4
-
Background
-
Synthesis of alpha-2,3-linked sialic acid to Gal(beta-1,3)GalNAc is mediated by at least 3 distinct beta-galactoside alpha-2,3-sialyltransferases (EC 2.4.99.4), including ST3GAL4. In contrast, only a single gene encodes the beta-galactoside alpha-2,6-sialyltransferase, ST6GAL1.
Alias Symbols: CGS23, FLJ11867, NANTA3, SAT3, SIAT4, SIAT4C, ST3Gal IV, ST3GalIV, STZ
Protein Interaction Partner: UBC, ARHGDIA, CD8B,
Protein Size: 329 -
Molecular Weight
- 37 kDa
-
Gene ID
- 6484
-
NCBI Accession
- NM_006278, NP_006269
-
UniProt
- Q6IBE6
-
Pathways
- Glycosaminoglycan Metabolic Process
Target
-