Phone:
+1 877 302 8632
Fax:
+1 888 205 9894 (Toll-free)
E-Mail:
orders@antibodies-online.com

UBXD2 antibody (Middle Region)

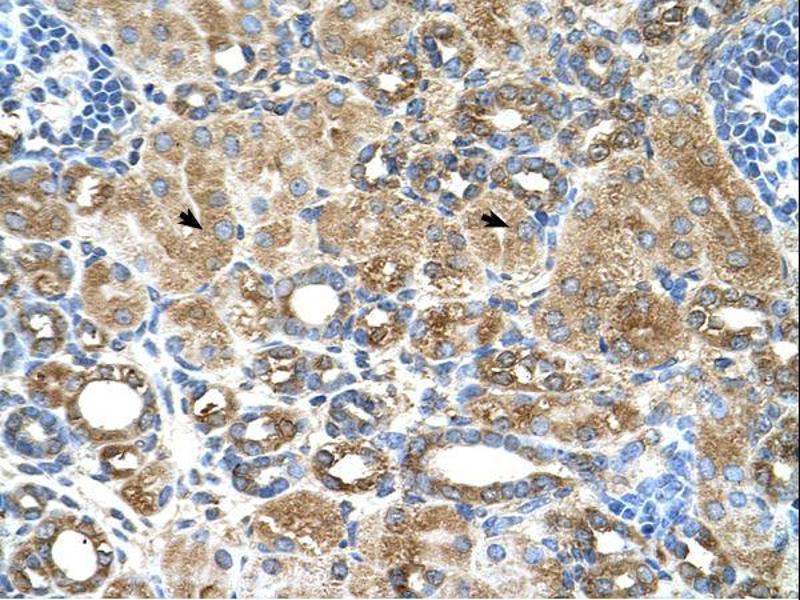
The Rabbit Polyclonal anti-UBXD2 antibody is suitable to detect UBXD2 in samples from Human, Mouse, Rat, Dog, Cow, Goat, Guinea Pig, Horse, Rabbit and Zebrafish (Danio rerio). It has been validated for WB and IHC.
Catalog No. ABIN2783052
$429.69
Plus shipping costs $50.00
Shipping to: United States
Delivery in 2 to 4 Business Days

Quick Overview for UBXD2 antibody (Middle Region) (ABIN2783052)

Target

See all UBXD2 (UBXN4) Antibodies
UBXD2 (UBXN4) (UBX Domain Protein 4 (UBXN4))

Reactivity

  • 23
  • 20
  • 20
  • 3
  • 2
  • 1
  • 1
  • 1
  • 1
  • 1
  • 1
  • 1
  • 1
  • 1
  • 1
  • 1
Human, Mouse, Rat, Dog, Cow, Goat, Guinea Pig, Horse, Rabbit, Zebrafish (Danio rerio)

Host

  • 23
Rabbit

Clonality

  • 23
Polyclonal

Conjugate

  • 9
  • 1
  • 1
  • 1
  • 1
  • 1
  • 1
  • 1
  • 1
  • 1
  • 1
  • 1
  • 1
  • 1
  • 1
This UBXD2 antibody is un-conjugated

Application

  • 22
  • 13
  • 13
  • 5
  • 4
  • 3
  • 3
  • 1
  • 1
Western Blotting (WB), Immunohistochemistry (IHC)
  • Binding Specificity

    • 15
    • 2
    • 1
    • 1
    • 1
    • 1
    Middle Region

    Sequence

    KQAEMEVKRE SYARERSTVA RIQFRLPDGS SFTNQFPSDA PLEEARQFAA

    Predicted Reactivity

    Cow: 100%, Dog: 100%, Goat: 100%, Guinea Pig: 100%, Horse: 100%, Human: 100%, Mouse: 100%, Rabbit: 100%, Rat: 100%, Zebrafish: 92%

    Characteristics

    This is a rabbit polyclonal antibody against UBXD2. It was validated on Western Blot and immunohistochemistry.

    Purification

    Protein A purified

    Immunogen

    The immunogen is a synthetic peptide directed towards the middle region of human UBXD2
  • Application Notes

    Optimal working dilutions should be determined experimentally by the investigator.

    Comment

    Antigen size: 508 AA

    Restrictions

    For Research Use only
  • Format

    Liquid

    Concentration

    Lot specific

    Buffer

    Liquid. Purified antibody supplied in 1x PBS buffer with 0.09 % (w/v) sodium azide and 2 % sucrose.

    Preservative

    Sodium azide

    Precaution of Use

    This product contains Sodium azide: a POISONOUS AND HAZARDOUS SUBSTANCE which should be handled by trained staff only.

    Handling Advice

    Avoid repeated freeze-thaw cycles.

    Storage

    -20 °C

    Storage Comment

    For short term use, store at 2-8°C up to 1 week. For long term storage, store at -20°C in small aliquots to prevent freeze-thaw cycles.
  • Target

    UBXD2 (UBXN4) (UBX Domain Protein 4 (UBXN4))

    Alternative Name

    UBXD2

    Background

    UBXD2 is an integral membrane protein of the endoplasmic reticulum (ER) that binds valosin-containing protein and promotes ER-associated protein degradation.
    Alias Symbols: FLJ23318, KIAA0242, UBXDC1, erasin, UBXD2
    Protein Interaction Partner: UBQLN1, UBC, VCP, CANX, AMFR, DERL1, SEL1L, ELAVL1, TOM1L1,
    Protein Size: 508

    Molecular Weight

    57 kDa

    Gene ID

    23190

    NCBI Accession

    NM_014607, NP_055422

    UniProt

    Q92575
You are here:
Blank Blank Blank Blank
Blank Blank Blank Blank
Chat with us!