Phone:
+1 877 302 8632
Fax:
+1 888 205 9894 (Toll-free)
E-Mail:
orders@antibodies-online.com

RGS antibody (N-Term)

The Rabbit Polyclonal anti-RGS antibody is suitable to detect RGS in samples from Human, Mouse, Rat, Horse, Dog, Cow and Rabbit. It has been validated for WB and IHC.
Catalog No. ABIN2792222
$429.69
Plus shipping costs $50.00
Shipping to: United States
Delivery in 2 to 4 Business Days

Quick Overview for RGS antibody (N-Term) (ABIN2792222)

Target

See all RGS Antibodies
RGS (Regulator of G-Protein Signaling 9 (RGS))

Reactivity

  • 26
  • 8
  • 7
  • 3
  • 3
  • 3
  • 2
  • 1
  • 1
  • 1
Human, Mouse, Rat, Horse, Dog, Cow, Rabbit

Host

  • 28
Rabbit

Clonality

  • 27
  • 1
Polyclonal

Conjugate

  • 22
  • 2
  • 1
  • 1
  • 1
  • 1
This RGS antibody is un-conjugated

Application

  • 27
  • 19
  • 13
  • 5
  • 4
  • 3
  • 2
  • 1
Western Blotting (WB), Immunohistochemistry (IHC)
  • Binding Specificity

    • 9
    • 6
    • 2
    • 2
    • 2
    • 2
    • 1
    • 1
    • 1
    • 1
    N-Term

    Sequence

    MYYQQALMRS TVKSSVSLGG IVKYSEQFSS NDAIMSGCLP SNPWITDDTQ

    Predicted Reactivity

    Cow: 100%, Dog: 100%, Horse: 100%, Human: 100%, Mouse: 100%, Rabbit: 100%, Rat: 100%

    Characteristics

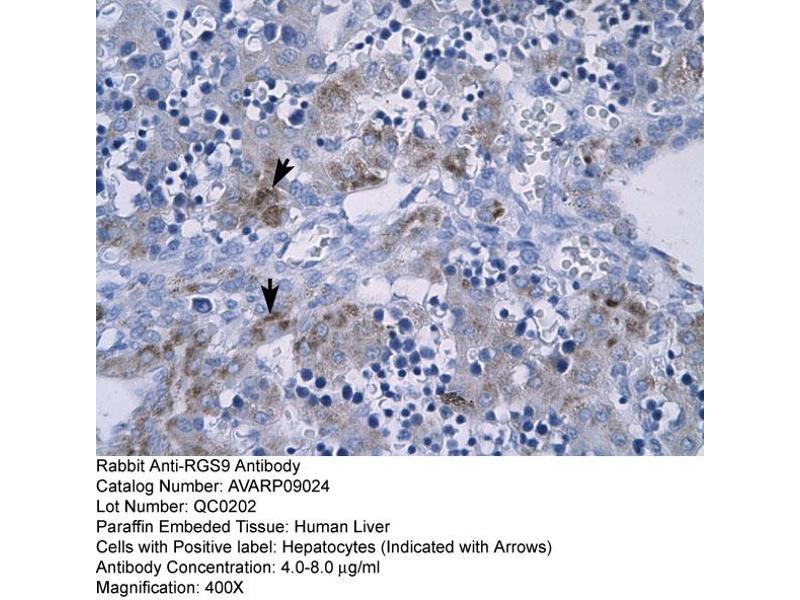
    This is a rabbit polyclonal antibody against RGS9. It was validated on Western Blot and immunohistochemistry.

    Purification

    Protein A purified

    Immunogen

    The immunogen is a synthetic peptide directed towards the N terminal region of human RGS9
  • Application Notes

    Optimal working dilutions should be determined experimentally by the investigator.

    Comment

    Antigen size: 443 AA

    Restrictions

    For Research Use only
  • Format

    Liquid

    Concentration

    Lot specific

    Buffer

    Liquid. Purified antibody supplied in 1x PBS buffer with 0.09 % (w/v) sodium azide and 2 % sucrose.

    Preservative

    Sodium azide

    Precaution of Use

    This product contains Sodium azide: a POISONOUS AND HAZARDOUS SUBSTANCE which should be handled by trained staff only.

    Handling Advice

    Avoid repeated freeze-thaw cycles.

    Storage

    -20 °C

    Storage Comment

    For short term use, store at 2-8°C up to 1 week. For long term storage, store at -20°C in small aliquots to prevent freeze-thaw cycles.
  • Target

    RGS (Regulator of G-Protein Signaling 9 (RGS))

    Alternative Name

    RGS9

    Background

    RGS9 is a member of the RGS family of signaling proteins that suppress the activity of G proteins by promoting their deactivation.
    Alias Symbols: PERRS, RGS9L
    Protein Interaction Partner: ADRB2, Dlg4, UBC, RGS7BP, RGS9BP, GNB5, GNAO1, GNAT1, GUCY2D,
    Protein Size: 443

    Molecular Weight

    49 kDa

    Gene ID

    8787

    NCBI Accession

    NM_003835, NP_003826

    UniProt

    O75916

    Pathways

    Myometrial Relaxation and Contraction, Regulation of G-Protein Coupled Receptor Protein Signaling, Phototransduction
You are here:
Chat with us!