Phone:
+1 877 302 8632
Fax:
+1 888 205 9894 (Toll-free)
E-Mail:
orders@antibodies-online.com

LHX1 antibody (C-Term)

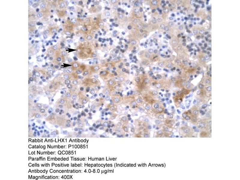
The Rabbit Polyclonal anti-LHX1 antibody (ABIN2792615) specifically detects LHX1 in WB and IHC. The antibody is reactive with Human, Mouse, Rat, Cow and Zebrafish (Danio rerio) samples.
Catalog No. ABIN2792615
$429.69
Plus shipping costs $50.00
Shipping to: United States
Delivery in 2 to 4 Business Days

Quick Overview for LHX1 antibody (C-Term) (ABIN2792615)

Target

See all LHX1 Antibodies
LHX1 (LIM Homeobox 1 (LHX1))

Reactivity

  • 32
  • 15
  • 11
  • 5
  • 3
  • 3
  • 3
  • 3
  • 2
  • 2
  • 2
  • 2
  • 2
  • 1
  • 1
  • 1
Human, Mouse, Rat, Cow, Zebrafish (Danio rerio)

Host

  • 23
  • 9
Rabbit

Clonality

  • 24
  • 8
Polyclonal

Conjugate

  • 32
This LHX1 antibody is un-conjugated

Application

  • 29
  • 17
  • 12
  • 10
  • 5
  • 4
  • 3
  • 1
  • 1
  • 1
Western Blotting (WB), Immunohistochemistry (IHC)
  • Binding Specificity

    • 4
    • 4
    • 4
    • 3
    • 2
    • 2
    • 2
    • 2
    • 1
    • 1
    • 1
    • 1
    • 1
    • 1
    • 1
    C-Term

    Sequence

    PEPSLPGPLH SMSAEVFGPS PPFSSLSVNG GASYGNHLSH PPEMNEAAVW

    Cross-Reactivity

    Cow (Bovine), Dog (Canine), Chicken, Human, Mouse (Murine), Rabbit, Rat (Rattus)

    Predicted Reactivity

    Cow: 100%, Human: 100%, Mouse: 100%, Rat: 100%, Zebrafish: 85%

    Characteristics

    This is a rabbit polyclonal antibody against LHX1. It was validated on Western Blot and immunohistochemistry.

    Purification

    Protein A purified

    Immunogen

    The immunogen is a synthetic peptide directed towards the C terminal region of human LHX1
  • Application Notes

    WB Suggested Anti-LHX1 Antibody Titration: 0.4 µg/mL
    Positive Control: HepG2 cell lysate.
    Optimal working dilutions should be determined experimentally by the investigator.

    Comment

    Antigen size: 406 AA

    Restrictions

    For Research Use only
  • Format

    Liquid

    Concentration

    Lot specific

    Buffer

    Liquid. Purified antibody supplied in 1x PBS buffer with 0.09 % (w/v) sodium azide and 2 % sucrose.

    Preservative

    Sodium azide

    Precaution of Use

    This product contains Sodium azide: a POISONOUS AND HAZARDOUS SUBSTANCE which should be handled by trained staff only.

    Handling Advice

    Avoid repeated freeze-thaw cycles.

    Storage

    -20 °C

    Storage Comment

    For short term use, store at 2-8°C up to 1 week. For long term storage, store at -20°C in small aliquots to prevent freeze-thaw cycles.
  • Target

    LHX1 (LIM Homeobox 1 (LHX1))

    Alternative Name

    LHX1

    Background

    LHX1 is a member of a large protein family which contains the LIM domain, a unique cysteine-rich zinc-binding domain. It may function as a transcriptional regulator and be involved in control of differentiation and development of neural and lymphoid cells. A similar protein in mice is an essential regulator of the vertebrate head organizer.
    Alias Symbols: LIM1, LIM-1
    Protein Interaction Partner: ISL1, RLIM, LHX3, OTX2, FOXA2,
    Protein Size: 406

    Molecular Weight

    45 kDa

    Gene ID

    3975

    NCBI Accession

    NM_005568, NP_005559

    UniProt

    P48742
You are here:
Chat with us!