BTK antibody (C-Term)
Quick Overview for BTK antibody (C-Term) (ABIN2855016)
Target
See all BTK AntibodiesReactivity
Host
Clonality
Conjugate
Application
-
-
Binding Specificity
- C-Term
-
Cross-Reactivity
- Cow (Bovine), Chicken, Pig (Porcine), Rat (Rattus)
-
Cross-Reactivity (Details)
- Chicken (86 %), Pig (99 %), Rat (98 %), Bovine (98 %)
-
Characteristics
-
Rabbit Polyclonal antibody to BTK (Bruton agammaglobulinemia tyrosine kinase)
BTK antibody [C1C3] -
Purification
- Purified by antigen-affinity chromatography.
-
Immunogen
- Recombinant protein encompassing a sequence within the C-terminus region of human BTK. The exact sequence is proprietary.
-
Isotype
- IgG
-
-
-
-
Application Notes
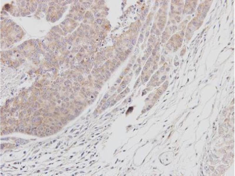
- Suggested dilution Reference IHC (Formalin-fixed paraffin-embedded sections) 1:100-1:1000* Western blot 1:500-1:3000* Not tested in other applications. *Optimal dilutions/concentrations should be determined by the researcher.Suggested dilutionReferenceIHC (Formalin-fixed paraffin-embedded sections)1:100-1:1000* Western blot1:500-1:3000*
-
Comment
-
Positive Control: Molt-4
-
Restrictions
- For Research Use only
-
-
-
Format
- Liquid
-
Concentration
- 0.62 mg/mL
-
Buffer
- 0.1M Tris, 0.1M Glycine, 10 % Glycerol ( pH 7). 0.01 % Thimerosal was added as a preservative.
-
Preservative
- Thimerosal (Merthiolate)
-
Precaution of Use
- This product contains Thimerosal (Merthiolate): a POISONOUS AND HAZARDOUS SUBSTANCE which should be handled by trained staff only.
-
Storage
- -20 °C
-
Storage Comment
- Keep as concentrated solution. Aliquot and store at -20°C or below. Avoid multiple freeze-thaw cycles.
-
-
- BTK (Bruton Agammaglobulinemia tyrosine Kinase (BTK))
-
Alternative Name
- BTK
-
Background
-
The protein encoded by this gene plays a crucial role in B-cell development. Mutations in this gene cause X-linked agammaglobulinemia type 1, which is an immunodeficiency characterized by the failure to produce mature B lymphocytes, and associated with a failure of Ig heavy chain rearrangement.
Cellular Localization: Cytoplasm , Membrane, Peripheral membrane protein , Nucleus , Cytoplasm , Membrane , Nucleus -
Molecular Weight
- 76 kDa
-
Gene ID
- 695
-
Pathways
- Fc-epsilon Receptor Signaling Pathway, Hormone Transport, Activation of Innate immune Response, Regulation of Leukocyte Mediated Immunity, Production of Molecular Mediator of Immune Response, Toll-Like Receptors Cascades, BCR Signaling
Target
-