EIF3F antibody
Quick Overview for EIF3F antibody (ABIN2855242)
Target
See all EIF3F AntibodiesReactivity
Host
Clonality
Conjugate
Application
-
-
Cross-Reactivity
- Human, Mouse
-
Characteristics
-
Rabbit Polyclonal antibody to EIF3F (eukaryotic translation initiation factor 3, subunit F)
EIF3F antibody [N1C3] -
Purification
- Purified by antigen-affinity chromatography.
-
Immunogen
- Recombinant protein encompassing a sequence within the center region of human EIF3F. The exact sequence is proprietary.
-
Isotype
- IgG
-
-
-
-
Application Notes
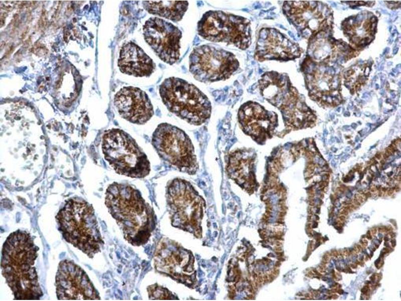
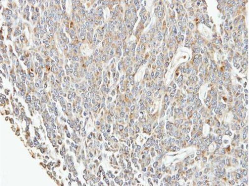
- WB: 1:500-1:3000. ICC/IF: 1:100-1:1000. IHC-P: 1:100-1:1000. Optimal dilutions/concentrations should be determined by the researcher. Not tested in other applications.
-
Comment
-
Positive Control: A431
-
Restrictions
- For Research Use only
-
-
-
Format
- Liquid
-
Concentration
- 0.39 mg/mL
-
Buffer
- 1XPBS ( pH 7), 1 % BSA, 20 % Glycerol, 0.01 % Thimerosal
-
Preservative
- Thimerosal (Merthiolate)
-
Precaution of Use
- This product contains Thimerosal (Merthiolate): a POISONOUS AND HAZARDOUS SUBSTANCE which should be handled by trained staff only.
-
Storage
- 4 °C,-20 °C
-
Storage Comment
- Store as concentrated solution. Centrifuge briefly prior to opening vial. For short-term storage (1-2 weeks), store at 4°C. For long-term storage, aliquot and store at -20°C or below. Avoid multiple freeze-thaw cycles.
-
-
- EIF3F (Eukaryotic Translation Initiation Factor 3 Subunit F (EIF3F))
-
Alternative Name
- eukaryotic translation initiation factor 3 subunit F
-
Background
-
Component of the eukaryotic translation initiation factor 3 (eIF-3) complex, which is required for several steps in the initiation of protein synthesis. The eIF-3 complex associates with the 40S ribosome and facilitates the recruitment of eIF-1, eIF-1A, eIF-2:GTP:methionyl-tRNAi and eIF-5 to form the 43S preinitiation complex (43S PIC). The eIF-3 complex stimulates mRNA recruitment to the 43S PIC and scanning of the mRNA for AUG recognition. The eIF-3 complex is also required for disassembly and recycling of posttermination ribosomal complexes and subsequently prevents premature joining of the 40S and 60S ribosomal subunits prior to initiation.
Cellular Localization: Cytoplasm -
Molecular Weight
- 38 kDa
-
Gene ID
- 8665
-
UniProt
- O00303
-
Pathways
- Ribonucleoprotein Complex Subunit Organization
Target
-