HSD3B2 antibody
Quick Overview for HSD3B2 antibody (ABIN2855488)
Target
See all HSD3B2 AntibodiesReactivity
Host
Clonality
Conjugate
Application
-
-
Cross-Reactivity
- Human, Mouse
-
Characteristics
-
Rabbit Polyclonal antibody to HSD3B2 (hydroxy-delta-5-steroid dehydrogenase, 3 beta- and steroid delta-isomerase 2)
HSD3B2 antibody [N3C3] -
Purification
- Purified by antigen-affinity chromatography.
-
Immunogen
- Recombinant protein encompassing a sequence within the center region of human HSD3B2. The exact sequence is proprietary.
-
Isotype
- IgG
-
-
-
-
Application Notes
- WB: 1:500-1:3000. ICC/IF: 1:100-1:1000. IHC-P: 1:100-1:1000. Optimal dilutions/concentrations should be determined by the researcher. Not tested in other applications.
-
Comment
-
Validation: Orthogonal
-
Restrictions
- For Research Use only
-
-
-
Format
- Liquid
-
Concentration
- 1.24 mg/mL
-
Buffer
- 1XPBS ( pH 7), 20 % Glycerol, 0.025 % ProClin 300
-
Preservative
- ProClin
-
Precaution of Use
- This product contains ProClin: a POISONOUS AND HAZARDOUS SUBSTANCE which should be handled by trained staff only.
-
Storage
- 4 °C,-20 °C
-
Storage Comment
- Store as concentrated solution. Centrifuge briefly prior to opening vial. For short-term storage (1-2 weeks), store at 4°C. For long-term storage, aliquot and store at -20°C or below. Avoid multiple freeze-thaw cycles.
-
-
-
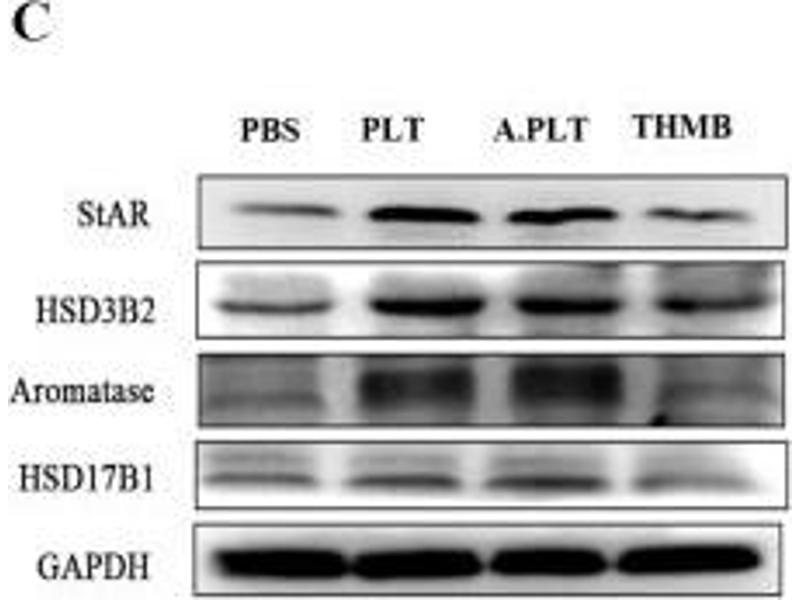
: "Platelets induce increased estrogen production through NF-κB and TGF-β1 signaling pathways in endometriotic stromal cells." in: Scientific reports, Vol. 10, Issue 1, pp. 1281, (2020) (PubMed).
-
-
- HSD3B2 (Hydroxy-delta-5-Steroid Dehydrogenase, 3 beta- and Steroid delta-Isomerase 2 (HSD3B2))
-
Alternative Name
- hydroxy-delta-5-steroid dehydrogenase, 3 beta- and steroid delta-isomerase 2
-
Background
-
The protein encoded by this gene is a bifunctional enzyme that catalyzes the oxidative conversion of delta(5)-ene-3-beta-hydroxy steroid, and the oxidative conversion of ketosteroids. It plays a crucial role in the biosynthesis of all classes of hormonal steroids. This gene is predominantly expressed in the adrenals and the gonads. Mutations in this gene are associated with 3-beta-hydroxysteroid dehydrogenase, type II, deficiency. Alternatively spliced transcript variants have been found for this gene.
Cellular Localization: Endoplasmic reticulum membrane , Mitochondrion membrane -
Molecular Weight
- 42 kDa
-
Gene ID
- 3284
-
UniProt
- P26439
-
Pathways
- Metabolism of Steroid Hormones and Vitamin D, Steroid Hormone Biosynthesis
Target
-