Zinc Finger and SCAN Domain Containing 31 (ZSCAN31) (Center) antibody
Quick Overview for Zinc Finger and SCAN Domain Containing 31 (ZSCAN31) (Center) antibody (ABIN2855619)
Target
See all Zinc Finger and SCAN Domain Containing 31 (ZSCAN31) AntibodiesReactivity
Host
Clonality
Conjugate
Application
-
-
Binding Specificity
- Center
-
Characteristics
-
Rabbit Polyclonal antibody to ZNF323 (zinc finger protein 323)
ZNF323 antibody [N1C3] -
Purification
- Purified by antigen-affinity chromatography.
-
Immunogen
- Recombinant protein encompassing a sequence within the center region of human ZNF323. The exact sequence is proprietary.
-
Isotype
- IgG
-
-
-
-
Application Notes
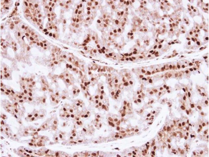
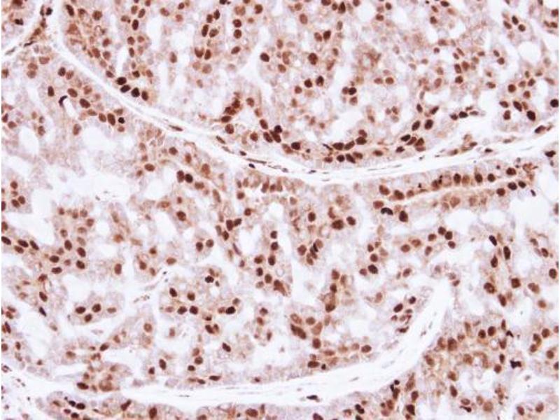
- Suggested dilution Reference IHC (Formalin-fixed paraffin-embedded sections) 1:100-1:1000* Western blot 1:1000-1:10000* Not tested in other applications. *Optimal dilutions/concentrations should be determined by the researcher.Suggested dilutionReferenceIHC (Formalin-fixed paraffin-embedded sections)1:100-1:1000* Western blot1:1000-1:10000*
-
Comment
-
Positive Control: HeLa
-
Restrictions
- For Research Use only
-
-
-
Format
- Liquid
-
Concentration
- 1 mg/mL
-
Buffer
- 1XPBS, 1 % BSA, 20 % Glycerol ( pH 7). 0.01 % Thimerosal was added as a preservative.
-
Preservative
- Thimerosal (Merthiolate)
-
Precaution of Use
- This product contains Thimerosal (Merthiolate): a POISONOUS AND HAZARDOUS SUBSTANCE which should be handled by trained staff only.
-
Storage
- -20 °C
-
Storage Comment
- Keep as concentrated solution. Aliquot and store at -20°C or below. Avoid multiple freeze-thaw cycles.
-
-
- Zinc Finger and SCAN Domain Containing 31 (ZSCAN31)
-
Alternative Name
- ZNF323
-
Background
-
ZNF323 is a member of the subfamily of C2H2 Kruppel-like zinc finger transcription factors that have a SCAN box domain (Pi et al., 2002 [PubMed 12147252]).[supplied by OMIM]
Cellular Localization: Nucleus -
Molecular Weight
- 47 kDa
-
Gene ID
- 64288
Target
-