Phone:
+1 877 302 8632
Fax:
+1 888 205 9894 (Toll-free)
E-Mail:
orders@antibodies-online.com

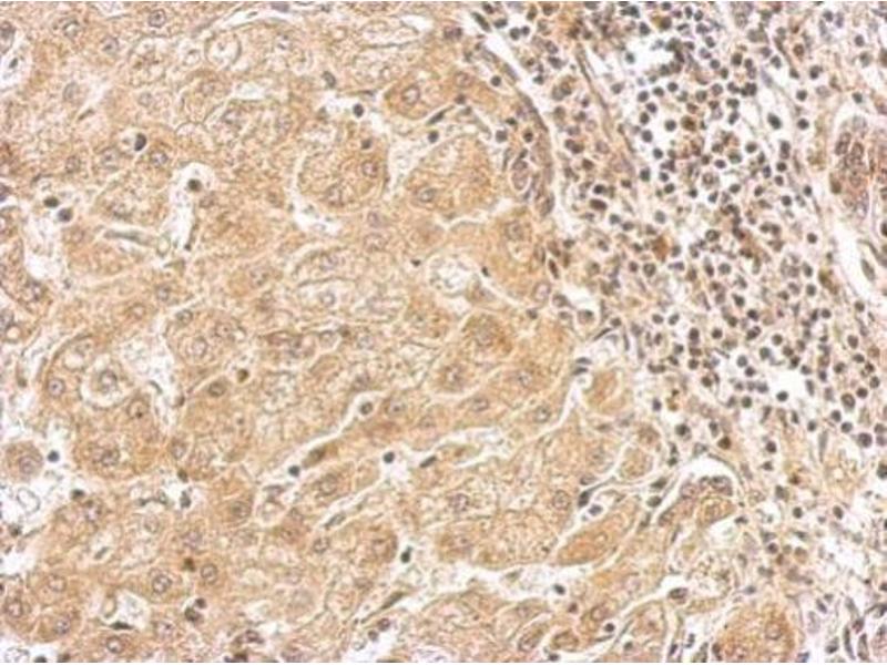
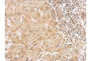
NAGLU antibody (Center)

This Rabbit Polyclonal antibody specifically detects NAGLU in WB, ICC, IF and IHC (p). It exhibits reactivity toward Human.
Catalog No. ABIN2856115
$564.19
Plus shipping costs $50.00
100 μL
Shipping to: United States
Delivery in 3 to 5 Business Days

Quick Overview for NAGLU antibody (Center) (ABIN2856115)

Target

See all NAGLU Antibodies
NAGLU (N-Acetylglucosaminidase, alpha (NAGLU))

Reactivity

  • 11
  • 7
  • 6
  • 1
  • 1
  • 1
Human

Host

  • 15
  • 4
Rabbit

Clonality

  • 16
  • 3
Polyclonal

Conjugate

  • 15
  • 2
  • 2
This NAGLU antibody is un-conjugated

Application

  • 18
  • 6
  • 5
  • 4
  • 4
Western Blotting (WB), Immunocytochemistry (ICC), Immunofluorescence (IF), Immunohistochemistry (Paraffin-embedded Sections) (IHC (p))
  • Binding Specificity

    • 3
    • 3
    • 3
    • 2
    • 1
    • 1
    • 1
    • 1
    • 1
    Center

    Characteristics

    Rabbit Polyclonal antibody to NAGLU (N-acetylglucosaminidase, alpha)
    NAGLU antibody

    Purification

    Purified by antigen-affinity chromatography.

    Immunogen

    Recombinant protein encompassing a sequence within the center region of human NAGLU. The exact sequence is proprietary.

    Isotype

    IgG
  • Application Notes

    Suggested dilution Reference ICC/IF 1:100-1:1000* IHC (Formalin-fixed paraffin-embedded sections) 1:100-1:1000* Western blot 1:500-1:3000* Not tested in other applications. *Optimal dilutions/concentrations should be determined by the researcher.Suggested dilutionReferenceICC/IF1:100-1:1000* IHC (Formalin-fixed paraffin-embedded sections)1:100-1:1000* Western blot1:500-1:3000*

    Comment

    Positive Control: H1299 , HeLaS3 , HepG2

    Restrictions

    For Research Use only
  • Format

    Liquid

    Concentration

    1 mg/mL

    Buffer

    0.1M Tris, 0.1M Glycine, 10 % Glycerol ( pH 7). 0.01 % Thimerosal was added as a preservative.

    Preservative

    Thimerosal (Merthiolate)

    Precaution of Use

    This product contains Thimerosal (Merthiolate): a POISONOUS AND HAZARDOUS SUBSTANCE which should be handled by trained staff only.

    Storage

    -20 °C

    Storage Comment

    Keep as concentrated solution. Aliquot and store at -20°C or below. Avoid multiple freeze-thaw cycles.
  • Target

    NAGLU (N-Acetylglucosaminidase, alpha (NAGLU))

    Alternative Name

    NAGLU

    Background

    This gene encodes an enzyme that degrades heparan sulfate by hydrolysis of terminal N-acetyl-D-glucosamine residues in N-acetyl-alpha-D-glucosaminides. Defects in this gene are the cause of mucopolysaccharidosis type IIIB (MPS-IIIB), also known as Sanfilippo syndrome B. This disease is characterized by the lysosomal accumulation and urinary excretion of heparan sulfate.

    Molecular Weight

    82 kDa

    Gene ID

    4669

    Pathways

    Glycosaminoglycan Metabolic Process
You are here:
Chat with us!