Phone:
+1 877 302 8632
Fax:
+1 888 205 9894 (Toll-free)
E-Mail:
orders@antibodies-online.com

CSNK1A1L antibody

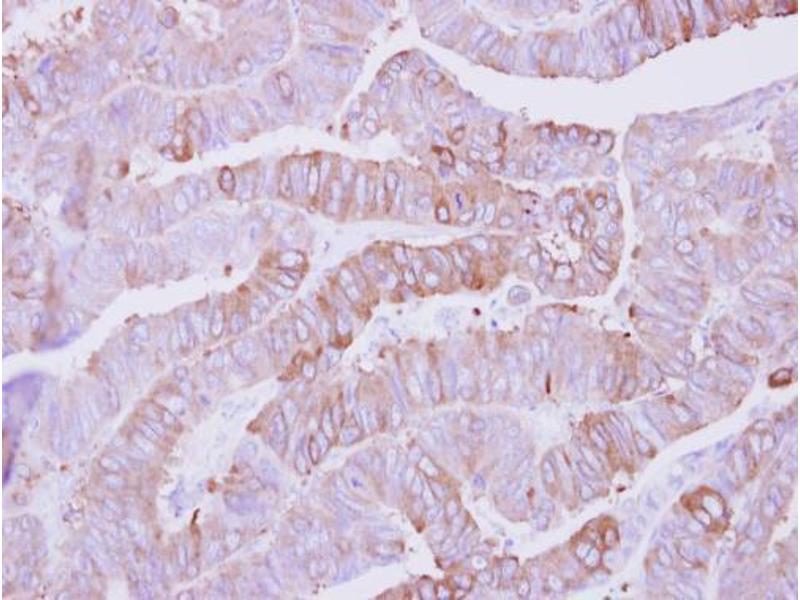
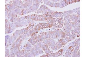
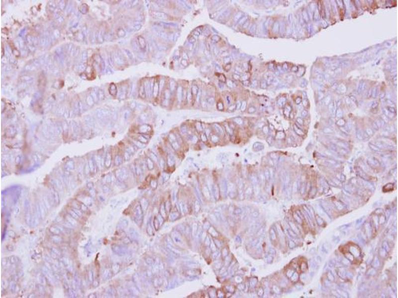
The Rabbit Polyclonal anti-CSNK1A1L antibody (ABIN2856129) specifically detects CSNK1A1L in WB, IF, IHC (p), ICC and IHC (wm). The antibody is reactive with Human samples.
Catalog No. ABIN2856129
$564.19
Plus shipping costs $50.00
100 μL
Shipping to: United States
Delivery in 3 to 5 Business Days

Quick Overview for CSNK1A1L antibody (ABIN2856129)

Target

See all CSNK1A1L Antibodies
CSNK1A1L (Casein Kinase 1, alpha 1-Like (CSNK1A1L))

Reactivity

  • 31
  • 5
  • 5
  • 1
  • 1
  • 1
  • 1
  • 1
Human

Host

  • 29
  • 2
Rabbit

Clonality

  • 31
Polyclonal

Conjugate

  • 11
  • 1
  • 1
  • 1
  • 1
  • 1
  • 1
  • 1
  • 1
  • 1
  • 1
  • 1
  • 1
  • 1
  • 1
  • 1
  • 1
  • 1
  • 1
  • 1
  • 1
This CSNK1A1L antibody is un-conjugated

Application

  • 21
  • 13
  • 13
  • 9
  • 5
  • 4
  • 4
  • 3
  • 1
Western Blotting (WB), Immunofluorescence (IF), Immunohistochemistry (Paraffin-embedded Sections) (IHC (p)), Immunocytochemistry (ICC), Immunohistochemistry (Whole Mount) (IHC (wm))
  • Cross-Reactivity

    Human, Rat, Zebrafish (Danio rerio)

    Characteristics

    Rabbit Polyclonal antibody to Casein Kinase 1 alpha 1L (casein kinase 1, alpha 1-like)
    Casein Kinase 1 alpha 1L antibody

    Purification

    Purified by antigen-affinity chromatography.

    Immunogen

    Recombinant protein encompassing a sequence within the center region of human Casein Kinase 1 alpha 1L. The exact sequence is proprietary.

    Isotype

    IgG
  • Application Notes

    WB: 1:500-1:3000. ICC/IF: 1:100-1:1000. IHC-P: 1:100-1:1000. Optimal dilutions/concentrations should be determined by the researcher. Not tested in other applications.

    Comment

    Positive Control: A549 , rat thymus

    Restrictions

    For Research Use only
  • Format

    Liquid

    Concentration

    0.53 mg/mL

    Buffer

    1XPBS ( pH 7), 1 % BSA, 20 % Glycerol, 0.01 % Thimerosal

    Preservative

    Thimerosal (Merthiolate)

    Precaution of Use

    This product contains Thimerosal (Merthiolate): a POISONOUS AND HAZARDOUS SUBSTANCE which should be handled by trained staff only.

    Storage

    4 °C,-20 °C

    Storage Comment

    Store as concentrated solution. Centrifuge briefly prior to opening vial. For short-term storage (1-2 weeks), store at 4°C. For long-term storage, aliquot and store at -20°C or below. Avoid multiple freeze-thaw cycles.
  • Target

    CSNK1A1L (Casein Kinase 1, alpha 1-Like (CSNK1A1L))

    Alternative Name

    casein kinase 1 alpha 1 like

    Background

    Casein kinases are operationally defined by their preferential utilization of acidic proteins such as caseins as substrates. It can phosphorylate a large number of proteins. Participates in Wnt signaling.

    Cellular Localization: Cytoplasm

    Molecular Weight

    39 kDa

    Gene ID

    122011

    UniProt

    Q8N752
You are here:
Chat with us!