GALNT7 antibody (Center)
Quick Overview for GALNT7 antibody (Center) (ABIN2856251)
Target
See all GALNT7 AntibodiesReactivity
Host
Clonality
Conjugate
Application
-
-
Binding Specificity
- Center
-
Cross-Reactivity
- Rat (Rattus), Zebrafish (Danio rerio), Xenopus tropicalis
-
Cross-Reactivity (Details)
- Rat (96 %), Zebrafish (82 %), Xenopus tropicalis (82 %)
-
Characteristics
-
Rabbit Polyclonal antibody to GALNT7 (UDP-N-acetyl-alpha-D-galactosamine:polypeptide N-acetylgalactosaminyltransferase 7 (GalNAc-T7))
GALNT7 antibody [N1C2] -
Purification
- Purified by antigen-affinity chromatography.
-
Immunogen
- Recombinant protein encompassing a sequence within the center region of human GALNT7. The exact sequence is proprietary.
-
Isotype
- IgG
-
-
-
-
Application Notes
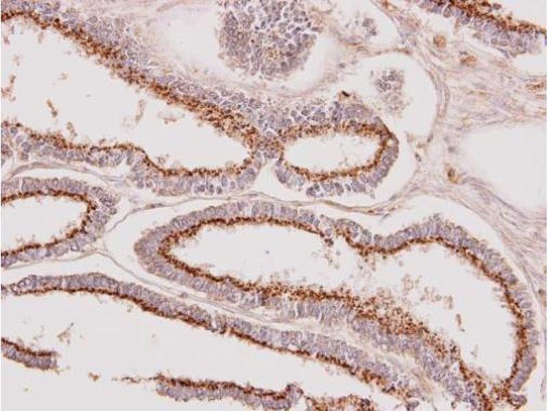
- Suggested dilution Reference ICC/IF 1:100-1:1000* IHC (Formalin-fixed paraffin-embedded sections) 1:100-1:1000* Western blot 1:5000-1:20000* Not tested in other applications. *Optimal dilutions/concentrations should be determined by the researcher.Suggested dilutionReferenceICC/IF1:100-1:1000* IHC (Formalin-fixed paraffin-embedded sections)1:100-1:1000* Western blot1:5000-1:20000*
-
Comment
-
Positive Control: 293T , A431 , H1299 , HeLaS3 , HepG2 , Molt-4 , Raji , mouse brain
-
Restrictions
- For Research Use only
-
-
-
Format
- Liquid
-
Concentration
- 1 mg/mL
-
Buffer
- 0.1M Tris, 0.1M Glycine, 10 % Glycerol ( pH 7). 0.01 % Thimerosal was added as a preservative.
-
Preservative
- Thimerosal (Merthiolate)
-
Precaution of Use
- This product contains Thimerosal (Merthiolate): a POISONOUS AND HAZARDOUS SUBSTANCE which should be handled by trained staff only.
-
Storage
- -20 °C
-
Storage Comment
- Keep as concentrated solution. Aliquot and store at -20°C or below. Avoid multiple freeze-thaw cycles.
-
-
- GALNT7 (UDP-N-Acetyl-alpha-D-Galactosamine:polypeptide N-Acetylgalactosaminyltransferase 7 (GalNAc-T7) (GALNT7))
-
Alternative Name
- GALNT7
-
Background
-
This gene encodes GalNAc transferase 7, a member of the GalNAc-transferase family. The enzyme encoded by this gene controls the initiation step of mucin-type O-linked protein glycosylation and transfer of N-acetylgalactosamine to serine and threonine amino acid residues. This enzyme is a type II transmembrane protein and shares common sequence motifs with other family members. Unlike other family members, this enzyme shows exclusive specificity for partially GalNAc-glycosylated acceptor substrates and shows no activity with non-glycosylated peptides. This protein may function as a follow-up enzyme in the initiation step of O-glycosylation.
Cellular Localization: Golgi apparatus membrane, Single-pass type II membrane protein -
Molecular Weight
- 75 kDa
-
Gene ID
- 51809
Target
-