Phone:
+1 877 302 8632
Fax:
+1 888 205 9894 (Toll-free)
E-Mail:
orders@antibodies-online.com

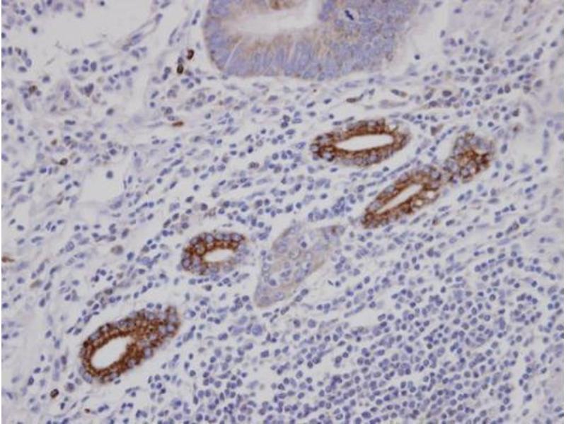
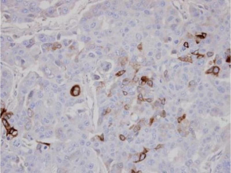
AKAP10 antibody (C-Term)

The Rabbit Polyclonal anti-AKAP10 antibody (ABIN2856375) specifically detects AKAP10 in IF, IHC (p) and ICC. The antibody is reactive with Human samples.
Catalog No. ABIN2856375
$564.19
Plus shipping costs $50.00
100 μL
Shipping to: United States
Delivery in 3 to 5 Business Days

Quick Overview for AKAP10 antibody (C-Term) (ABIN2856375)

Target

See all AKAP10 Antibodies
AKAP10 (A Kinase (PRKA) Anchor Protein 10 (AKAP10))

Reactivity

  • 24
  • 14
  • 13
  • 2
  • 1
  • 1
  • 1
  • 1
  • 1
Human

Host

  • 21
  • 2
  • 2
Rabbit

Clonality

  • 22
  • 2
Polyclonal

Conjugate

  • 18
  • 1
  • 1
  • 1
  • 1
  • 1
  • 1
  • 1
This AKAP10 antibody is un-conjugated

Application

  • 16
  • 11
  • 10
  • 4
  • 3
  • 1
  • 1
Immunofluorescence (IF), Immunohistochemistry (Paraffin-embedded Sections) (IHC (p)), Immunocytochemistry (ICC)
  • Binding Specificity

    • 3
    • 3
    • 2
    • 1
    • 1
    • 1
    • 1
    • 1
    • 1
    • 1
    • 1
    • 1
    C-Term

    Cross-Reactivity

    Mouse (Murine), Rat (Rattus)

    Cross-Reactivity (Details)

    Mouse (85 %), Rat (85 %)

    Characteristics

    Rabbit Polyclonal antibody to AKAP10 (A kinase (PRKA) anchor protein 10)
    AKAP10 antibody [C3], C-term

    Purification

    Purified by antigen-affinity chromatography.

    Immunogen

    Carrier-protein conjugated synthetic peptide encompassing a sequence within the C-terminus region of human AKAP10. The exact sequence is proprietary.

    Isotype

    IgG
  • Application Notes

    Suggested dilution Reference ICC/IF 1:100-1:1000* IHC (Formalin-fixed paraffin-embedded sections) 1:100-1:1000* Not tested in other applications. *Optimal dilutions/concentrations should be determined by the researcher.Suggested dilutionReferenceICC/IF1:100-1:1000* IHC (Formalin-fixed paraffin-embedded sections)1:100-1:1000*

    Comment

    Positive Control: Synthetic peptide: 1:8,000

    Restrictions

    For Research Use only
  • Format

    Liquid

    Concentration

    0.35 mg/mL

    Buffer

    0.1M Tris, 0.1M Glycine, 10 % Glycerol ( pH 7). 0.01 % Thimerosal was added as a preservative.

    Preservative

    Thimerosal (Merthiolate)

    Precaution of Use

    This product contains Thimerosal (Merthiolate): a POISONOUS AND HAZARDOUS SUBSTANCE which should be handled by trained staff only.

    Storage

    -20 °C

    Storage Comment

    Keep as concentrated solution. Aliquot and store at -20°C or below. Avoid multiple freeze-thaw cycles.
  • Target

    AKAP10 (A Kinase (PRKA) Anchor Protein 10 (AKAP10))

    Alternative Name

    AKAP10

    Background

    The A-kinase anchor proteins (AKAPs) are a group of structurally diverse proteins, which have the common function of binding to the regulatory subunit of protein kinase A (PKA) and confining the holoenzyme to discrete locations within the cell. This gene encodes a member of the AKAP family. The encoded protein interacts with both the type I and type II regulatory subunits of PKA, therefore, it is a dual-specific AKAP. This protein is highly enriched in mitochondria. It contains RGS (regulator of G protein signalling) domains, in addition to a PKA-RII subunit-binding domain. The mitochondrial localization and the presence of RGS domains may have important implications for the function of this protein in PKA and G protein signal transduction.

    Cellular Localization: Mitochondrion , Membrane , Cytoplasm

    Molecular Weight

    74 kDa

    Gene ID

    11216

    Pathways

    Regulation of G-Protein Coupled Receptor Protein Signaling
You are here:
Chat with us!