HNRNPF antibody
Quick Overview for HNRNPF antibody (ABIN2856959)
Target
See all HNRNPF AntibodiesReactivity
Host
Clonality
Conjugate
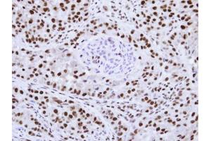
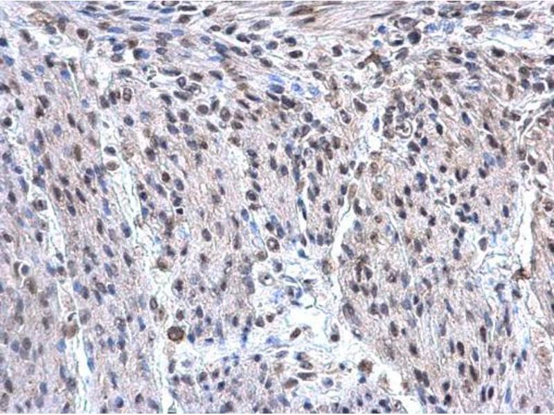
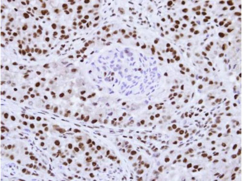
Application
Grade
-
-
Specificity
- Knockdown/Knockout validation was supported by references (PMID:26990993)
-
Cross-Reactivity
- Human, Mouse
-
Characteristics
-
Rabbit polyclonal antibody to hnRNP F (heterogeneous nuclear ribonucleoprotein F)
hnRNP F antibody [N1N3] -
Purification
- Purified by antigen-affinity chromatography.
-
Immunogen
- Recombinant protein encompassing a sequence within the center region of human hnRNP F. The exact sequence is proprietary.
-
Isotype
- IgG
-
-
-
-
Application Notes
- WB: 1:500-1:3000. ICC/IF: 1:100-1:1000. IHC-P: 1:100-1:1000. IP: 1:100-1:500. Optimal dilutions/concentrations should be determined by the researcher. Not tested in other applications.
-
Comment
-
Validatio: KO/KD, Orthogonal
-
Restrictions
- For Research Use only
-
-
-
Format
- Liquid
-
Concentration
- 1.45 mg/mL
-
Buffer
- 1XPBS pH 7, 20 % Glycerol, 0.025 % ProClin 300
-
Preservative
- ProClin
-
Precaution of Use
- This product contains ProClin: a POISONOUS AND HAZARDOUS SUBSTANCE which should be handled by trained staff only.
-
Storage
- 4 °C,-20 °C
-
Storage Comment
- Store as concentrated solution. Centrifuge briefly prior to opening vial. For short-term storage (1-2 weeks), store at 4°C. For long-term storage, aliquot and store at -20°C or below. Avoid multiple freeze-thaw cycles.
-
-
- HNRNPF (Heterogeneous Nuclear Ribonucleoprotein F (HNRNPF))
-
Alternative Name
- heterogeneous nuclear ribonucleoprotein F
-
Molecular Weight
- 46 kDa
-
Gene ID
- 3185
-
UniProt
- P52597
Target
-