Phone:
+1 877 302 8632
Fax:
+1 888 205 9894 (Toll-free)
E-Mail:
orders@antibodies-online.com

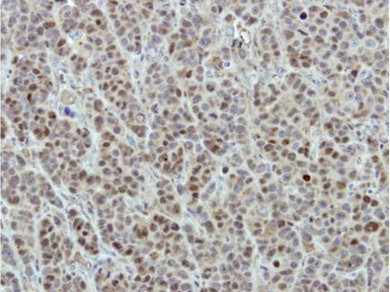
DDX56 antibody (Center)

The Rabbit Polyclonal anti-DDX56 antibody (ABIN2856999) specifically detects DDX56 in WB, IHC (p), IF and ICC. The antibody is reactive with Human and Mouse samples.
Catalog No. ABIN2856999
$564.19
Plus shipping costs $50.00
100 μL
Shipping to: United States
Delivery in 3 to 5 Business Days

Quick Overview for DDX56 antibody (Center) (ABIN2856999)

Target

See all DDX56 Antibodies
DDX56 (DEAD (Asp-Glu-Ala-Asp) Box Polypeptide 56 (DDX56))

Reactivity

  • 31
  • 2
  • 1
Human, Mouse

Host

  • 24
  • 7
Rabbit

Clonality

  • 26
  • 5
Polyclonal

Conjugate

  • 26
  • 1
  • 1
  • 1
  • 1
  • 1
This DDX56 antibody is un-conjugated

Application

  • 31
  • 11
  • 7
  • 7
  • 6
  • 4
  • 3
  • 2
  • 1
  • 1
Western Blotting (WB), Immunohistochemistry (Paraffin-embedded Sections) (IHC (p)), Immunofluorescence (IF), Immunocytochemistry (ICC)
You are here:
Chat with us!