×
For best experience we recommend to activate Javascript in your browser.
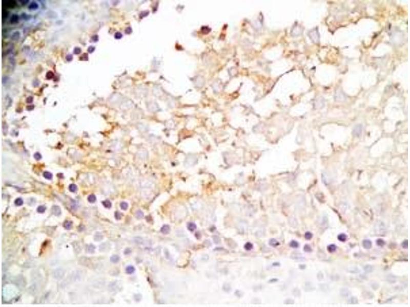
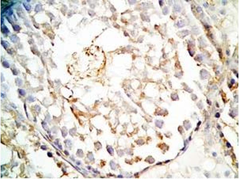
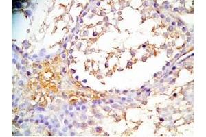
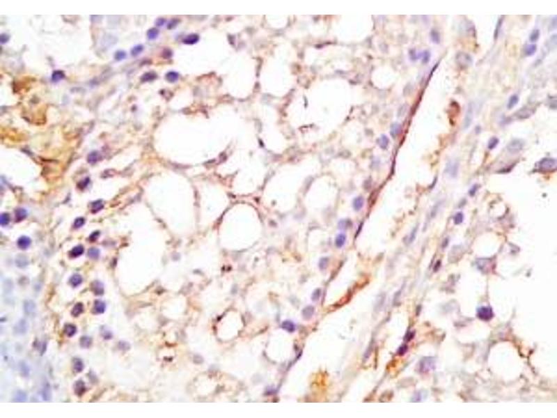
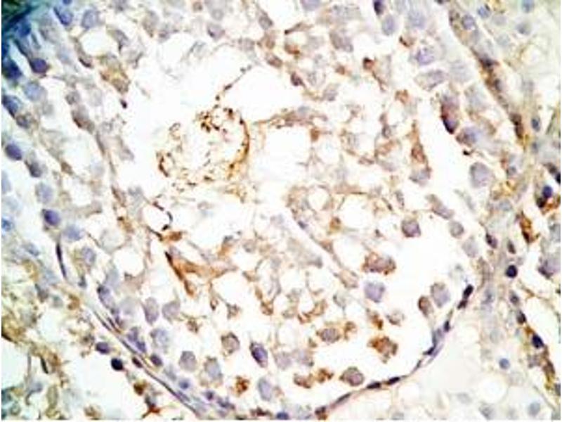
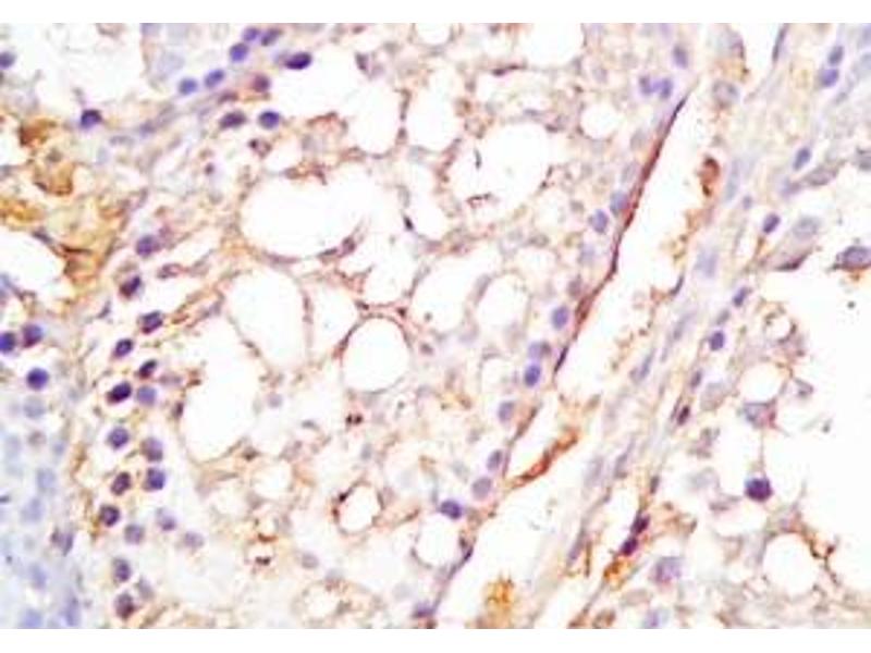
INSL6 antibody (Preproprotein)
The Rabbit Polyclonal anti-INSL6 antibody (ABIN2873065) specifically detects INSL6 in IHC.
The antibody is reactive with Human samples.
Catalog No. ABIN2873065
Contact our Customer Service for availability and price in your country.
Contact Info
Quick Overview for INSL6 antibody (Preproprotein) (ABIN2873065)
Target
See all INSL6 Antibodies
INSL6
(Insulin-Like 6 (INSL6))
Reactivity
All reactivities for INSL6 antibodies
Human
Host
All hosts for INSL6 antibodies
Rabbit
Clonality
All clonalities for INSL6 antibodies
Polyclonal
Conjugate
All conjugates for INSL6 antibodies
This INSL6 antibody is un-conjugated
Application
All applications for INSL6 antibodies
Immunohistochemistry (IHC)
Product Details anti-INSL6 Antibody
(hide)
Binding Specificity
All epitopes for INSL6 antibodies
AA 55-118, Preproprotein
Purification
unpurified serum
Immunogen
5-10 mg of > 70% pure peptide conjugated to KLH.
Alternatives
(show)
Application Details
(hide)
Application Notes
Optimal working dilution should be determined by the investigator.
Restrictions
For Research Use only
Handling
(hide)
Format
Liquid
Storage
4 °C,-20 °C
Storage Comment
Store antibodies at 2-4°C before and at -20°C after rehydration. The product is stable for approximately 3-6 weeks after rehydration at -20°C or below.
Target Details for INSL6
(hide)
Target
INSL6
(Insulin-Like 6 (INSL6))
Alternative Name
INSL 6
Pathways
Hormone Activity
Recently viewed
(hide)
You are here:
Homepage
anti-INSL6 antibody (Preproprotein) (ABIN2873065)
Chat with us , powered by LiveChat