×
For best experience we recommend to activate Javascript in your browser.
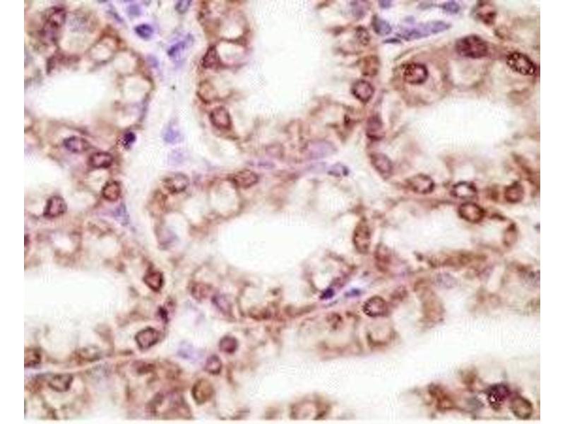
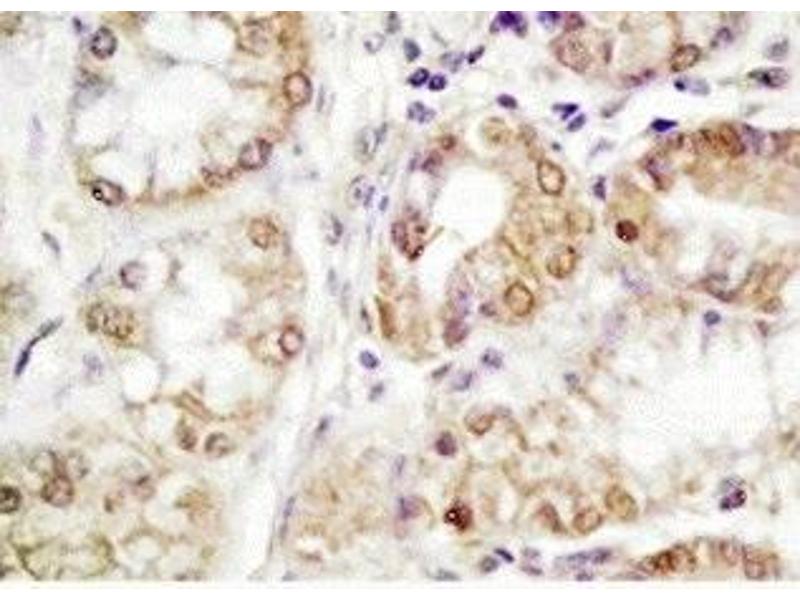
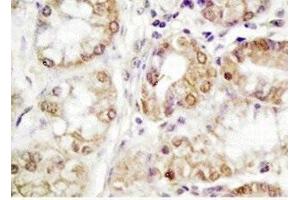
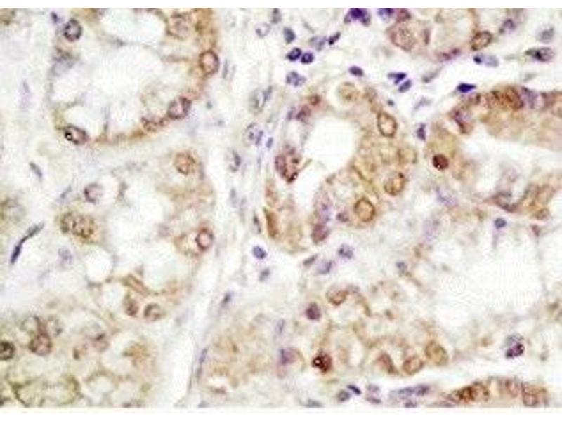
MBOAT4 antibody (AA 181-199)
The Rabbit Polyclonal anti-MBOAT4 antibody (ABIN2873089) specifically detects MBOAT4 in IHC.
The antibody is reactive with Human samples.
Catalog No. ABIN2873089
Contact our Customer Service for availability and price in your country.
Contact Info
Quick Overview for MBOAT4 antibody (AA 181-199) (ABIN2873089)
Target
See all MBOAT4 Antibodies
MBOAT4
(Membrane Bound O-Acyltransferase Domain Containing 4 (MBOAT4))
Reactivity
All reactivities for MBOAT4 antibodies
Human
Host
All hosts for MBOAT4 antibodies
Rabbit
Clonality
All clonalities for MBOAT4 antibodies
Polyclonal
Conjugate
All conjugates for MBOAT4 antibodies
This MBOAT4 antibody is un-conjugated
Application
All applications for MBOAT4 antibodies
Immunohistochemistry (IHC)
Product Details anti-MBOAT4 Antibody
(hide)
Binding Specificity
All epitopes for MBOAT4 antibodies
AA 181-199
Purification
unpurified serum
Immunogen
5-10 mg of > 70% pure peptide conjugated to KLH.
Alternatives
(show)
Application Details
(hide)
Application Notes
Optimal working dilution should be determined by the investigator.
Restrictions
For Research Use only
Handling
(hide)
Format
Liquid
Storage
4 °C,-20 °C
Storage Comment
Store antibodies at 2-4°C before and at -20°C after rehydration. The product is stable for approximately 3-6 weeks after rehydration at -20°C or below.
Target Details for MBOAT4
(hide)
Target
MBOAT4
(Membrane Bound O-Acyltransferase Domain Containing 4 (MBOAT4))
Alternative Name
Ghrelin O-Acyltransferase (GOAT)
Pathways
Peptide Hormone Metabolism
Recently viewed
(hide)
You are here:
Homepage
anti-MBOAT4 antibody (AA 181-199) (ABIN2873089)
Chat with us , powered by LiveChat