Phone:
+1 877 302 8632
Fax:
+1 888 205 9894 (Toll-free)
E-Mail:
orders@antibodies-online.com

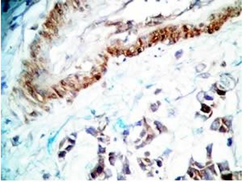
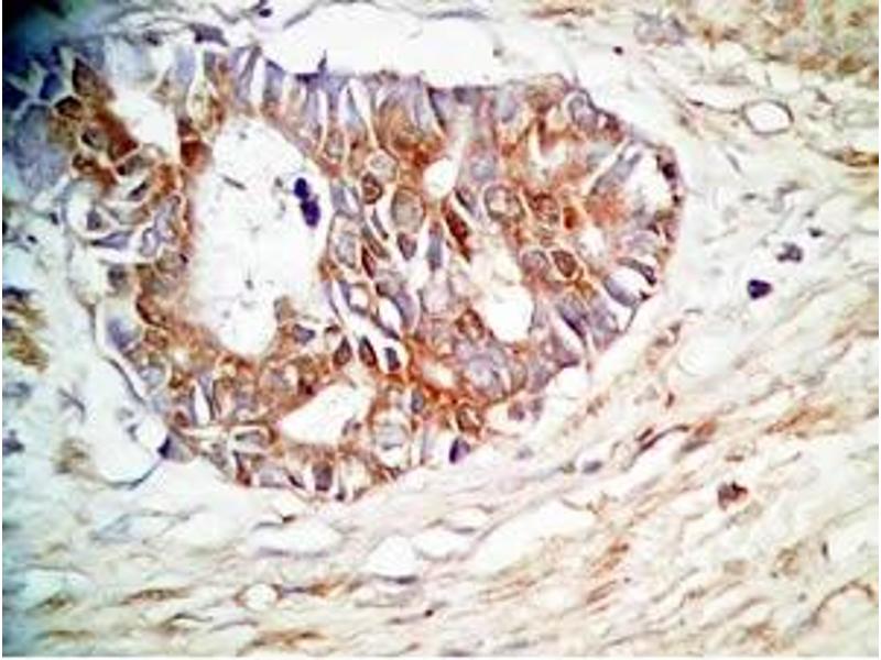
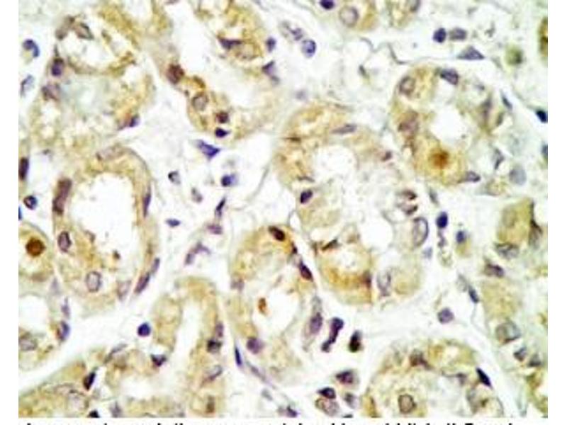
Spexin antibody (Preproprotein)

The Rabbit Polyclonal anti-Spexin antibody is suitable to detect Spexin in samples from Human. It has been validated for IHC.
Catalog No. ABIN2873103
Shipping to: United States
Contact our Customer Service for availability and price in your country. Contact Info

Quick Overview for Spexin antibody (Preproprotein) (ABIN2873103)

Target

Spexin (SPX)

Reactivity

  • 5
  • 1
  • 1
Human

Host

  • 5
Rabbit

Clonality

  • 5
Polyclonal

Conjugate

  • 3
  • 2
This Spexin antibody is un-conjugated

Application

Immunohistochemistry (IHC)
  • Binding Specificity

    AA 36-58, Preproprotein

    Purification

    unpurified serum

    Immunogen

    5-10 mg of > 70% pure peptide conjugated to KLH.
  • Application Notes

    Optimal working dilution should be determined by the investigator.

    Restrictions

    For Research Use only
  • Format

    Liquid

    Storage

    4 °C,-20 °C

    Storage Comment

    Store antibodies at 2-4°C before and at -20°C after rehydration. The product is stable for approximately 3-6 weeks after rehydration at -20°C or below.
  • Target

    Spexin (SPX)

    Alternative Name

    Spexin
You are here:
Chat with us!